Quelles manifestations cliniques doivent alerter le praticien ?
- Le kyste naso-palatin est souvent asymptomatique et découvert fortuitement.
- Les symptômes, lorsqu’ils existent, sont le plus souvent en rapport avec une tuméfaction palatine rétro-incisive (fig. 2) ou des douleurs amenant le patient à consulter.
- Il peut occasionnellement se surinfecter et/ou se drainer directement dans la cavité buccale.
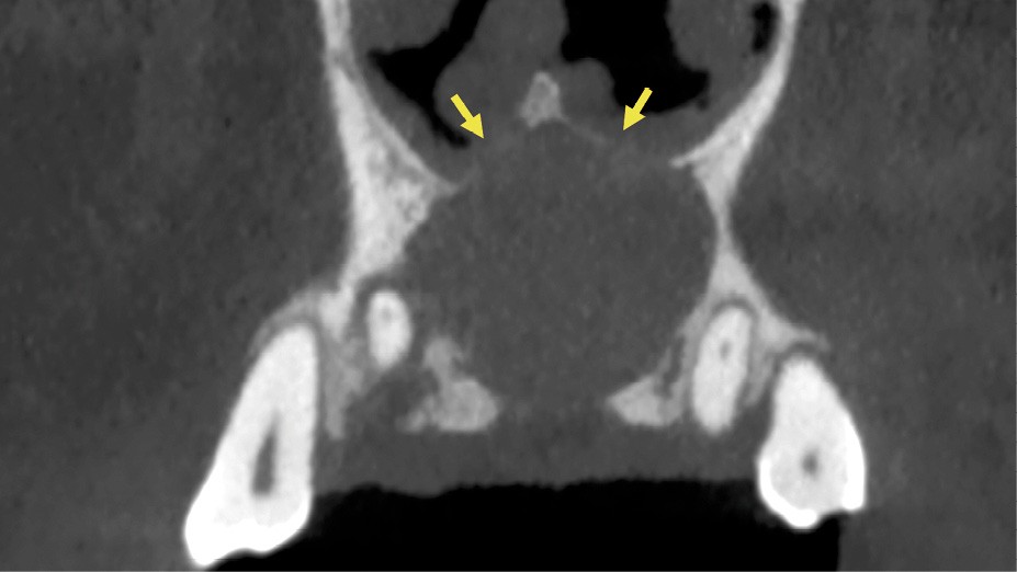
Caractéristiques radiologiques en 7 points clés
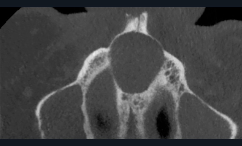
- Centré sur la ligne médiane de la portion antérieure du palais.
- Lésion ostéolytique radio-claire.
- Homogène et bien délimitée.
- Uni-loculaire (fig. 3), pouvant présenter un aspect caractéristique de « cœur de carte à jouer ».
- Diamètre moyen des lésions de 2 cm.
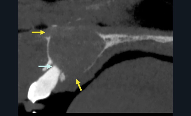
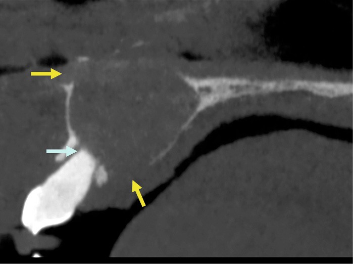
- Lorsque le kyste devient volumineux : possibilité de fenestrer la corticale palatine et/ou vestibulaire. Il peut également se développer dans les fosses nasales ou être associé à des résorptions radiculaires (moins de 25% des cas) (fig. 4).
- Plus rarement, extension latérale jusqu’aux prémolaires de façon asymétrique (fig. 5).
Quels sont les pièges diagnostiques à éviter ?
- Un canal incisif de grande taille constitue le diagnostic différentiel le plus fréquent. Le diamètre moyen du canal incisif est de 3 mm. Une petite image radio-claire asymptomatique inférieure ou égale à 6 mm doit être considérée comme normale et faire l’objet uniquement d’une surveillance radiologique.
- Le kyste naso-palatin est aussi souvent confondu avec un kyste radiculo-dentaire en rapport avec les incisives. Les critères du diagnostic différentiel en faveur d’un kyste naso-palatin sont :
- la préservation de la vitalité pulpaire,
- l’image radiologique non centrée sur l’apex des dents.
Comment poser un diagnostic ?
Le diagnostic repose essentiellement sur l’aspect clinique et…






