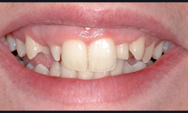
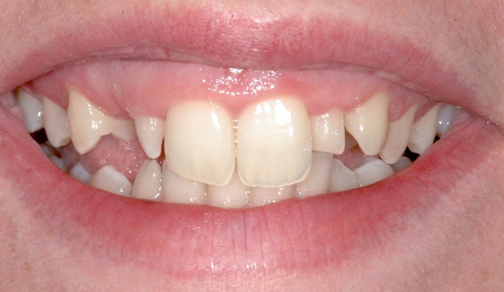
L’analyse esthétique du sourire constitue une étape déterminante dans la planification d’un traitement du secteur antérieur. L’équilibre entre la composante blanche (dentaire) et la composante rose (gingivale) est un facteur clé du succès thérapeutique. Lorsque cet équilibre est rompu – dents trop courtes, excès de gencive visible ou asymétrie –, une chirurgie plastique parodontale d’élongation coronaire peut s’avérer nécessaire (fig. 1). L’intégration du flux numérique offre aujourd’hui au praticien la possibilité d’aborder cette procédure avec une grande précision, tant au niveau du diagnostic que de l’exécution chirurgicale.
Analyse esthétique du secteur antérieur
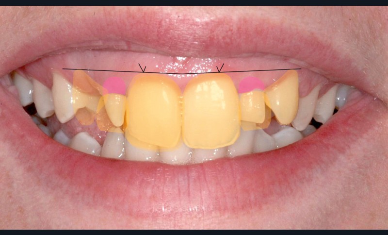
Dans le sourire, la gencive occupe l’espace compris entre le bord inférieur de la lèvre supérieure et le collet des dents.
Elle doit présenter certaines caractéristiques pour renforcer l’harmonie du sourire :
- elle doit être saine : rose pâle avec un aspect piqueté en peau d’orange. La papille interdentaire doit remplir l’espace interproximal entre les zones de contact de deux dents adjacentes et le septum interdentaire [1] ;
- elle doit mettre en valeur l’alignement des collets : les collets des incisives centrales doivent présenter une symétrie quasi parfaite. Ces dents étant les plus proches de la ligne médiane verticale, toute asymétrie créerait un stress visuel majeur, altérant l’esthétique antérieure. Les canines présentent généralement un collet de même hauteur que les incisives centrales (ou légèrement plus apical). On peut alors tracer la « ligne des collets », qui doit impérativement être parallèle aux lignes remarquables horizontales que sont la ligne bi-commissurale et la ligne bi-pupillaire ;
- le niveau de la gencive marginale des dents maxillaires antérieures tend à suivre la forme de la lèvre supérieure ;
- les bords incisifs des dents…


