Les résines composites utilisées en méthode directe… en toute simplicité

  • Par
  • Publié le . Paru dans Biomatériaux Cliniques n°2 - 30 octobre 2019
Information dentaire

Dans cette nouvelle rubrique « Tout simplement », des spécialistes reconnus présenteront des articles délivrant l'essentiel d'une thématique, sans concession à la rigueur scientifique. Pour la première de cette rubrique, Éric Mortier et Rémy Balthazard ont relevé le défi d’une synthèse sur les résines composites directes, en toute simplicité. Leurs travaux de recherche, portent sur les propriétés physico-chimiques des différents matériaux de restauration utilisés en méthode directe en odontologie, les résines composites en particulier.

Afin d’utiliser de manière optimale les résines composites en méthode directe, le praticien doit être guidé dans ses choix de manière éclairée. De la connaissance de la nature des éléments constituants d’une résine composite (phases dispersante et dispersée, agent de couplage) ainsi que des mécanismes et des conséquences de la photo-polymérisation (contraction de prise et contrainte de contraction) découle les intérêts cliniques (économie tissulaire, propriétés mécaniques et optiques), mais aussi les limites des différentes classes de résine composite et la justification des techniques opératoires à mettre en œuvre (champ opératoire, appositions incrémentielles, aides optiques).

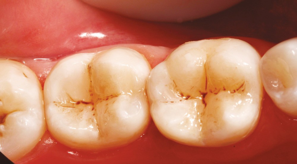
L’odontologie conservatrice a connu au cours des dernières décennies une réelle révolution avec l’introduction dans nos pratiques quotidiennes et quasi-routinières de l’usage des résines composites en méthode directe. Deux articles récents parus dans BMC [1, 2] décrivent de façon détaillée la composition, la structure et les classifications de cette grande famille de matériaux. Il nous a toutefois semblé intéressant de revenir, avec une approche en toute simplicité, sur les éléments constitutifs des résines composites, sur leur réaction de prise, sur leurs intérêts et indications cliniques, mais aussi sur leurs limites et contre-indications.

Qu’est-ce qu’une résine composite ?

Les résines composites sont des matériaux complexes constitués d’une phase dispersante (la matrice résineuse ou organique), d’une phase dispersée (les charges) et d’un agent de couplage (molécules bifonctionnelles à la fois organophiles et minéralophiles) permettant d’associer ces deux phases. Le terme « composite » est employé pour signifier que le matériau est composé d’au moins deux constituants dont les qualités se complètent et qui lui permettent d’acquérir des propriétés supplémentaires que chaque élément seul…

Cet article est réservé aux abonnés.
Pour lire la suite :

Vous êtes abonné.e ? Connectez-vous
Mot de passe
oublié ?

Vous pouvez également :

Acheter l'article En version numérique
Acheter le numéro À l'unité

Thèmes abordés

Sur le même sujet

Biomatériaux

Article réservé à nos abonnés À l’occasion de l’interdiction du cobalt-chrome en odontologie : la biocompatibilité en odontologie
(partie 2, clinique)

« Il faut toujours prendre le maximum de risques avec le maximum de précautions. » Rudyard Kipling Première partie de...
Biomatériaux

Article réservé à nos abonnés Classification clinique et modulaire des résines composites : la comprendre par l’image

Au cours des dernières années, la dentisterie restauratrice a connu une évolution marquée vers la simplification des procédures cliniques et...
Biomatériaux

Article réservé à nos abonnés Les colles universelles : comment classer cette colle aujourd’hui ? Est-ce le gold-standard de demain ?

Les colles ou résines de collage ont joué un rôle déterminant dans le passage d’une dentisterie fondée sur des principes...
Biomatériaux

Article réservé à nos abonnés Disilicate de lithium : microsabler ou ne pas microsabler, telle est la question ?

Technique incontournable en dentisterie, le microsablage facilite le nettoyage et la préparation des surfaces avant collage. Mais, appliqué au disilicate...
Biomatériaux

Article réservé à nos abonnés Analyse par Résonance Magnétique Nucléaire de l’interaction entre un ciment verre ionomère et la zircone

L’emploi des ciments comme matériaux d’assemblage de la zircone a été approuvé depuis plusieurs années [1]. Dans les cas où...
Biomatériaux

Article réservé à nos abonnés Les zircones : une nouvelle option pour la réalisation des inlays/onlays/overlays ?

Les inlays, onlays et overlays (IOOv) sont des restaurations partielles postérieures indirectes qui s’inscrivent pleinement dans le concept du gradient...