Selon l’académie américaine de parodontologie, l’éruption passive est définie comme une exposition dentaire secondaire à la migration de la gencive marginale coronairement ou au même niveau de la jonction amélo-cémentaire [3]. Le traitement de l’éruption passive incomplète passe par une thérapeutique étiologique, suivie d’une thérapeutique chirurgicale. Le but de cet article est d’illustrer, à travers un cas clinique, la prise en charge de l’éruption passive incomplète chez une jeune patiente de 24 ans.
Cas clinique
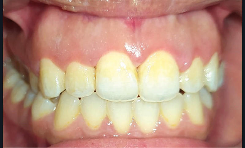
Une jeune patiente de 24 ans, en bon état de santé générale, se présente au service de parodontologie pour une correction du sourire gingival. L’examen clinique extra-buccal met en évidence un sourire gingival avec exposition de toute la gencive, et une hyperlaxité des lèvres. L’examen clinique intra-buccal révèle des dents antérieures carrées d’apparence courte et une bande de gencive kératinisée supérieure à 2 mm (fig. 1). Le sondage osseux montre que la jonction amélo-cémentaire se situe à 2 mm du rebord osseux, confirmé par une radiographie rétro-alvéolaire. Le diagnostic d’éruption passive incomplète est posé.
Le traitement consiste en une thérapeutique étiologique, à savoir : une motivation à l’hygiène bucco-dentaire et un débridement parodontal. Après une réévaluation parodontale à 15 jours, une thérapeutique chirurgicale est planifiée. Ainsi, une gingivectomie à biseau interne est réalisée (fig. 2). La réévaluation post-chirurgicale à 2 mois montre un allongement de la couronne clinique au niveau des dents concernées et une réduction de la hauteur de la gencive exposée lors du sourire (fig. 3).
Discussion
L’éruption passive est une phase normale de l’éruption dentaire durant laquelle le rebord gingival migre en direction apicale jusqu’à sa position normale [4]. Dans le cas contraire, la dent reste partiellement…


