La « stamp technique », ou tampon occlusal, est une technique très intéressante à maîtriser lors de séances de restaurations directes. La première étude décrivant cette technique que nous avons retrouvée date du milieu des années 1990 [1]. Depuis, les matériaux et les principes ont évolué pour aboutir à un procédé très fiable en pratique quotidienne [2-5].
Cas clinique
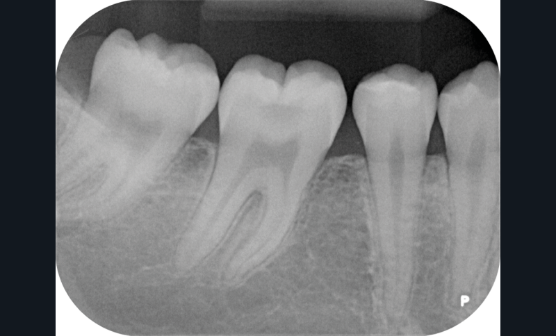
Nous détaillons la technique à travers le cas d’une jeune fille de 18 ans présentant des lésions carieuses sur quatre dents (fig. 1 à 14).
Conclusion
Il est tout à fait possible d’utiliser cette technique lorsque la cavité a atteint une paroi proximale. Il suffit alors de recréer d’abord le mur proximal manquant en résine composite, puis d’ajuster le tampon pour qu’il n’interfère pas avec ce dernier. La cavité de classe II se transforme alors en cavité de classe I [7].
Cette technique de tampon occlusal est indiquée lorsque la face occlusale de la dent à reconstruire est fonctionnelle. Elle évite les multiples incréments occlusaux de résine composite. En contrepartie, elle demande un peu d’entraînement, notamment pour bien replacer le tampon et doser correctement la quantité de résine composite à appliquer avant de tamponner la face occlusale. Néanmoins, une fois maîtrisée, elle est rapide et offre une grande reproductibilité de la situation occlusale de départ en s’évitant les potentielles retouches fastidieuses de fin de séance.














