On distingue quatre types d’atteintes amélaires : les white spot lesions (WSL) ou leucomes, les fluoroses, les hypominéralisations traumatiques et la MIH (hypominéralisation molaire-incisive).
Les white spot lesions (WSL)
Examen clinique
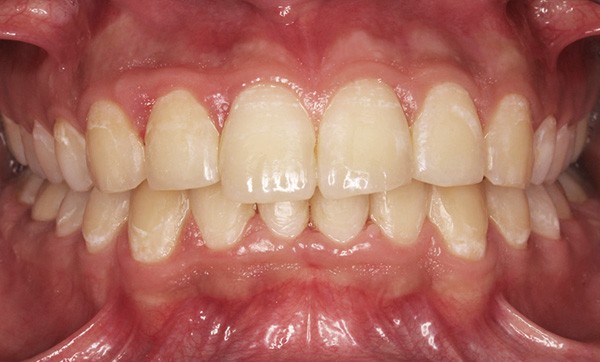
Les WSL sont les premiers signes de la lésion carieuse visibles à l’œil nu. La surface amélaire apparaît rugueuse, poreuse et opaque. L’émail présente des microreliefs (périkymaties). Grâce à la structure acellulaire, avasculaire et non innervée de l’émail, il n’y a pas de symptomatologie associée. On retrouve ces lésions au niveau des sites d’accumulation de la plaque bactérienne : le tiers cervical vestibulaire (fig. 1) et autour des attaches lors du traitement multi-attaches.
Cette observation visuelle peut paraître subjective, et c’est pourquoi Ekstrand a proposé un système international de détection et d’évaluation de la carie (ICDAS) (tabl. I) [1].
La différence entre les indices de réfraction de l’émail sain (IR = 1,62) et l’émail déminéralisé (IR = 1,33) est responsable de l’aspect blanc/opaque de ces lésions (fig. 2a et b) [2,3].
Afin de mettre en évidence ces lésions, il faut au préalable sécher la dent avec la soufflette (test de la soufflette) pour augmenter la différence entre les deux indices de réfraction. {{Fig1}}
En effet, une fois la dent séchée, l’indice de réfraction de l’émail déminéralisé passe à une valeur de 1.
Le diagnostic initial doit être posé avant de débuter le traitement orthodontique. Il sera la clé du succès pour le traitement futur de ces taches [2]. Avant tout traitement orthodontique, il faudra réaliser un diagnostic précis ainsi qu’un référencement de ces lésions grâce à des photographies normalisées. Ces clichés permettront de réaliser des études comparatives au cours du traitement. Ils représentent également un support d’aide pédagogique pour motiver…
