Objectifs esthétiques et fonctionnels
Nous décrirons ici des techniques de recouvrement et de renforcement du parodonte sans aucune incision de décharge, avec des tracés d’incisions et une séquence de dissection particuliers afin d’obtenir des résultats satisfaisants dans le traitement des récessions gingivales multiples, tant en termes d’esthétique que de renforcement tissulaire.
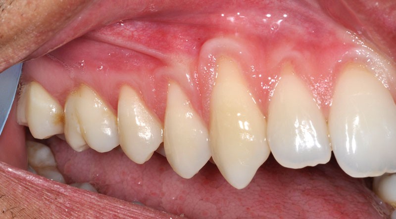
Examen clinique
Le patient de 25 ans consulte pour des doléances esthétiques : « Les gencives se retirent. » Lors de l’entretien médical, il dit se brosser les dents 3 fois par jour, avec une brosse à dents médium. L’examen clinique révèle un parodonte de type IV de Maynard et Wilson [8], des récessions gingivales touchant l’ensemble des arcades dentaires ainsi qu’une absence de plaque et de tartre (fig. 1 et 2).
Diagnostic parodontal
Aucune perte d’attache interproximale n’étant mise en évidence, un diagnostic clinique de récessions de type I (RT1) de Cairo est posé [3]. Le pronostic de recouvrement est donc favorable.
D’un point de vue étiologique, ces atteintes sont imputables à l’association entre un parodonte fin et festonné [7] (facteur anatomique prédisposant) et un brossage horizontal rigoureux et traumatogène [4] (facteur déclenchant).
Objectif thérapeutique
L’objectif thérapeutique pour répondre à la demande de notre patient est donc triple :
– corriger la technique de contrôle mécanique de plaque ;
– recouvrir les récessions (esthétique) ;
– renforcer le parodonte (fonctionnel).
Solutions thérapeutiques
L’enseignement d’une technique de brossage non iatrogène, ou technique du « rouleau », est donc tout d’abord proposé : la tête de la brosse à dents a une position oblique en direction apicale, ses brins étant à la fois dans le sulcus et à la surface des dents. Après une pression initiale sur la gencive marginale, la tête est…



