1. Vue vestibulaire de l’ancienne restauration en composite. Une visualisation de la teinte de base est effectuée.
2. Après une prise d’empreinte à l’alginate, la réalisation d’une cire de diagnostic (« wax up ») est demandée, permettant de rétablir la morphologie de 11. À partir de cette cire de diagnostic, une clé en silicone est faite, permettant l’obtention d’un masque d’essayage (« mock up ») réalisé directement en bouche.
3. Ce masque a deux objectifs : permettre au patient de visualiser le projet esthétique proposé et guider la pénétration contrôlée lors de la préparation de la facette. Ainsi la pénétration contrôlée à travers le masque garantit une préservation tissulaire maximale car la préparation reste limitée aux besoins de l’épaisseur de la future céramique.
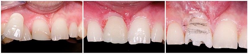
4. Afin de réaliser un meilleur enregistrement par l’empreinte et pour une meilleure visibilité des limites de la préparation, un polissage est nécessaire. Il se fait à l’aide des roues spirales diamantées 3MTM Sof-LexTM qui permettent un accès direct et facile à toute la surface de la préparation.
5. Préparation après polissage avec une meilleure visualisation de la limite.
6. Une photographie avec flash déporté est réalisée pour enregistrer et transmettre au laboratoire l’état de surface des dents voisines.
7. Une fois la préparation terminée, l’empreinte se fait en « wash technic ». Pour cela, le porte-empreinte est rempli avec un matériau silicone de haute viscosité, 3MTM ImprintTM 4 PentaTM Putty. La technique utilisée consiste à recouvrir ce matériau par un film alimentaire pour la première empreinte, créant ainsi une zone d’espacement homogène.
8. L’utilisation de 3MTM ImprintTM 4 PentaTM Putty permet une bonne stabilité dimensionnelle. Le retrait…


