L’amélogenèse imparfaite (AI) constitue un ensemble de pathologies génétiques rares affectant la formation de l’émail, avec une prévalence estimée à 1/14 000 [1]. Les phénotypes hypoplasique, hypomature et hypominéralisé diffèrent par la nature du défaut amélaire [2]. Plus de 70 gènes impliqués dans des formes isolées ou syndromiques ont été identifiés [3]. Les conséquences esthétiques, fonctionnelles et psychosociales nécessitent une prise en charge globale, souvent pluridisciplinaire. La réhabilitation prothétique doit tenir compte des particularités tissulaires, des contraintes occlusales et du comportement mécanique des matériaux.
Le cas suivant présente la réhabilitation d’une patiente atteinte d’une AI hypoplasique sévère, dans un contexte clinique et social contraint.
Cas clinique
Présentation de la patiente
Une jeune femme de 18 ans est adressée après l’arrêt d’un traitement d’orthodontie en raison de décollages répétés et d’un refus d’intervention orthognathique. Les moyens financiers sont limités et les contraintes de déplacement importantes. Le tableau clinique évoque une mutation FAM20A [4] potentiellement liée à un syndrome émail-rein [5] ; un bilan génétique est prescrit.
État initial
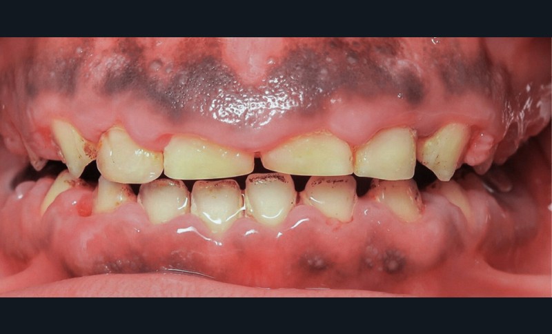
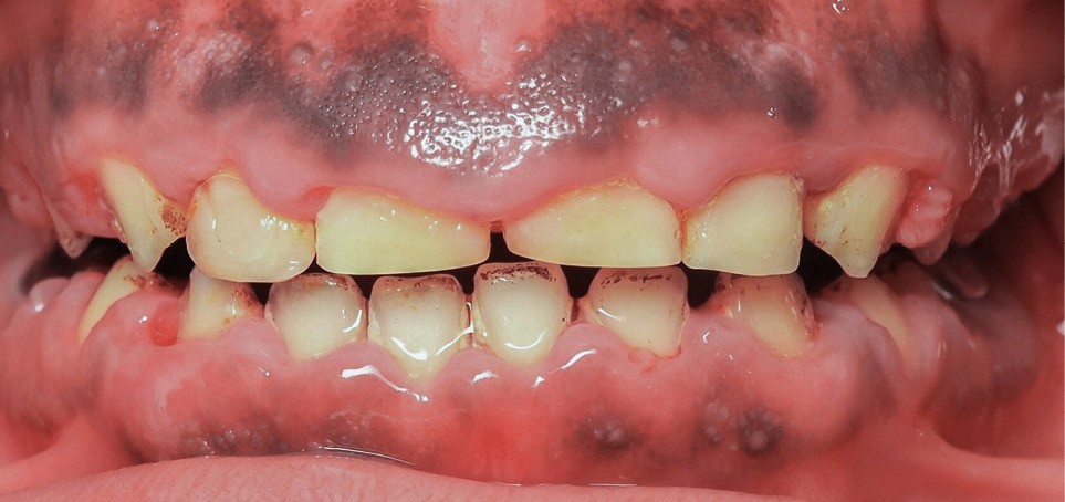
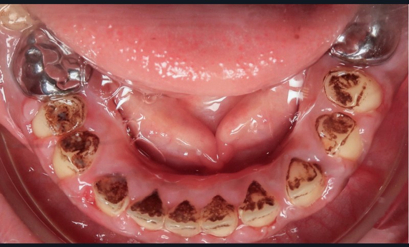
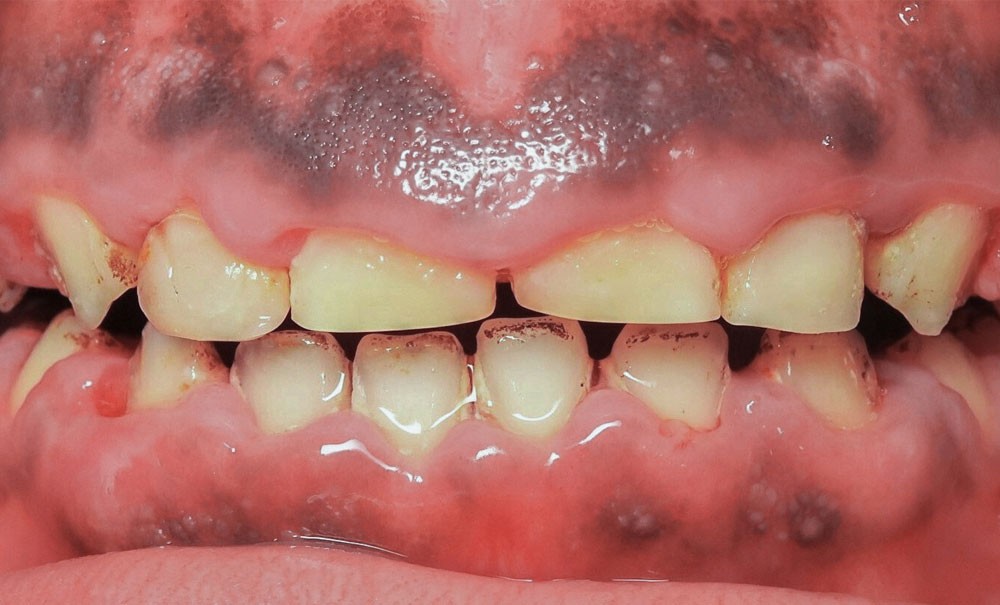
L’examen exobuccal met en évidence un profil dolichofacial et des anomalies majeures de structure dentaire (fig. 1). L’examen intrabuccal (fig. 2) montre :
- une hypoplasie sévère de l’émail ;
- une hyperplasie gingivale inflammatoire ;
- des hauteurs coronaires très réduites ;
- des couronnes pédodontiques sur les premières molaires permanentes ;
- des caries sur 17 et 27 ;
- des défauts d’éruption des quatre deuxièmes molaires permanentes ;
- de nombreux diastèmes et l’absence des dents de sagesse.
La radiographie montre une lésion inflammatoire périapicale d’origine endodontique sur la 26 et l’agénésie des dents 18, 28, 38 et 48.



