Présentation du cas (fig. 1 à 9)
Madame J, âgée de 49 ans, nous est adressée par son occlusodontiste pour une prise en charge orthodontique. Elle décrit une gêne occlusale depuis quinze ans avec ces mots : « problème de nerf végétatif causé par le mauvais arrangement des dents », « blocage, mauvaise circulation du sang, insomnie et scoliose liée à la mauvaise position des dents », « occlusion qui entraine des spasmes faciaux qui sont aussi liés aux ondes électromagnétiques qui limitent la circulation du sang » [1].
Elle n’a aucune doléance d’ordre esthétique. Elle est traitée par antidépresseurs depuis quinze ans.
Mme J. a consulté plusieurs orthodontistes auparavant, qui lui ont dit ne pas connaître le problème, et un chirurgien qui lui a conseillé une avancée maxillaire chirurgicale. Son occlusodontiste traitant estime que la patiente présente une compression articulaire d’origine dentaire pouvant être améliorée si elle retrouve un calage occlusal, un centrage et des guidages satisfaisants [2].
La patiente présente par ailleurs une parodontite chronique modérée stabilisée (Stade 3, grade C selon la classficaiton de Chicago 2018) et bénéficie d’une maintenance trimestrielle chez son parodontiste, qui nous donne son accord pour le traitement orthodontique moyennant un suivi très régulier.
Examen clinique
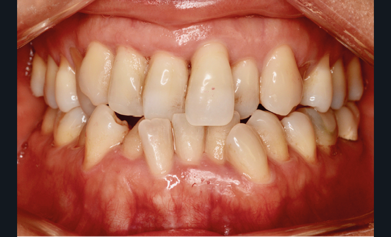
Mme J. présente une face longue, un profil droit avec un angle naso-labial fermé, une birétrocheilie et un menton bien dessiné. La ligne du sourire est basse, avec un sourire denté exposant peu les dents maxillaires, mais avec un parallélisme entre la lèvre inférieure et les bords libres des incisives maxillaires assez harmonieux.
Sur le plan squelettique, on retrouve une classe III de Ballard par hypomaxillie, dans un schéma facial hyperdivergent.
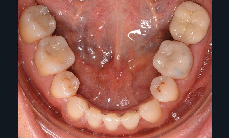
Sur le plan dentaire, la patiente est en classe III droite et gauche, canine et molaire de 6 mm, avec une occlusion inversée antérieure localisée à 11, 12 et 22. Elle présente une dysharmonie dents-arcades sévère, une agénésie d’une incisive mandibulaire est à signaler, et les troisièmes molaires ont été extraites à l’âge de 21 ans.
Au niveau fonctionnel, on note un bruxisme statique avec contact permanent entre les dents maxillaires et mandibulaires. La patiente présente des prématurités en relation centrée sur les incisives, le guidage en propulsion est perturbé et des interférences multiples sont retrouvées en latéralités droite et gauche.
Objectifs
Nos objectifs sont, sans modifier les rapports squelettiques, de remettre notre patiente dans un contexte occlusal plus favorable à la santé de ses articulations temporo-mandibulaires, en rétablissant un calage occlusal satisfaisant, une correspondance de l’intercuspidation maximale avec l’occlusion de relation centrée, un guide incisif correct et des protections canines en latéralités sans interférence travaillante ou non-travaillante.
De plus, nous souhaitons, avec la patiente, corriger son encombrement dentaire afin d’améliorer le pronostic parodontal et l’esthétique du sourire.
Traitement (fig. 10 à 20)
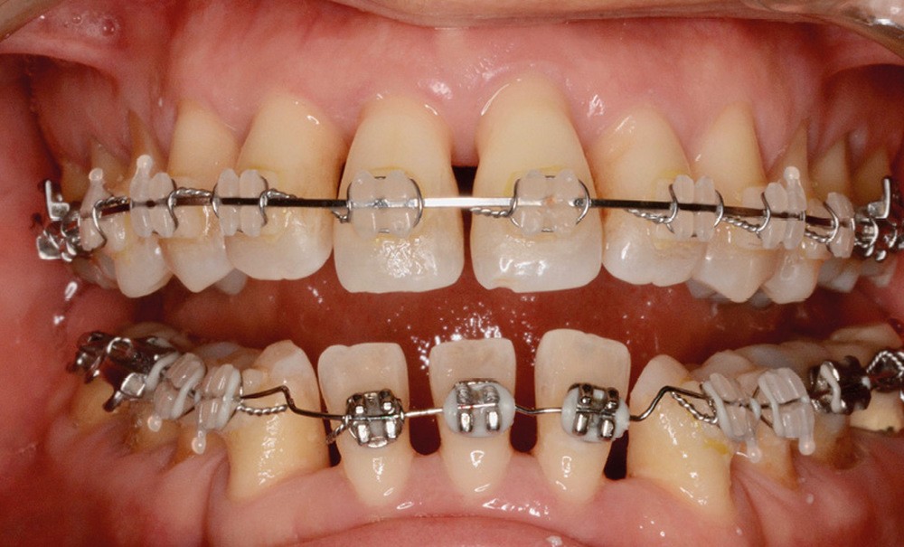
Un traitement en technique vestibulaire par appareillage multi-attaches .022 x .028 inch (prescription selon Roth) est entrepris, avec avulsion de prémolaires (15, 25, 34, 44).
La patiente ne supportant aucune cale occlusale, le collage de l’arcade mandibulaire est séquentiel afin de ne placer aucune attache en interférence occlusale. Le recul canin mandibulaire se fait grâce à des arcs sectionnels à boucle en Titane-Molybdène (TMA) .017 x .025 (fig. 10).
L’alignement et le nivellement maxillaires sont conduits en arc droit, et la mésialisation molaire réalisée en glissement, soutenue par des élastiques inter-arcades de classe III.
Le nivellement mandibulaire par ingresssion des incisives est mené via des arcs acier à la déformation avant de pouvoir recoller les brackets incisifs dans une position permettant de terminer le traitement en arc droit (fig. 11).
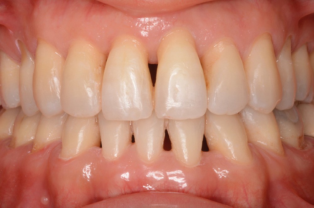
Une contention collée de 13 à 23 et de 33 à 43 (chaînette en alliage précieux Ortho-flextech), ainsi qu’une gouttière thermoformée maxillaire sont mises en place. Le suivi parodontal est trimestriel.
Conclusion
Notre traitement a permis de répondre à la demande de la patiente [3] en réduisant la compression articulaire dont elle souffrait, atténuant par la même occasion ses symptômes, tout en améliorant nettement son pronostic parodontal et dentaire sur le long terme. Mme J. est très satisfaite du résultat obtenu.




















Commentaires