À la une
Vie de la professionPremière étape franchie avec succès ! La proposition de loi « créant la profession d’assistant en santé bucco-dentaire » a été adoptée à l’unanimité le 30 octobre lors de son passage devant la Commission des affaires sociales du Sénat. Prochaine étape : l’examen en séance publique du 6 novembre. Deux changements notables ont été apportés : l’accès à ce nouveau…
Édition abonnés
Actualité
 
			La dynamique des soins dentaires se poursuit en 2025 selon Malakoff Humanis
 
			 
			Fraudes sociales : un projet de loi qui interroge sur le secret médical
Formation
				
										Utilisation du guide à étages en implantologie 
 Principes et précautions				
			
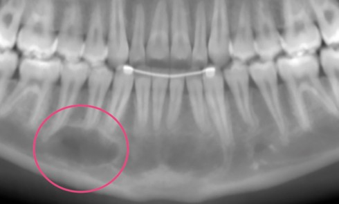
Focus sur le kyste osseux solitaire
Quelles manifestations cliniques doivent alerter le praticien ? Le plus souvent asymptomatique (fig. 2). Les dents en regard de la...Du plan axio-orbitaire (PAO) au plan Natural Head Posture (NHP)
« Le plaisir le plus noble est la joie de comprendre » Leonardo Da Vinci De l’anthropométrie à...Classification clinique et modulaire des résines composites : la comprendre par l’image
Au cours des dernières années, la dentisterie restauratrice a connu une évolution marquée vers la simplification des procédures cliniques et...Production des aligneurs au cabinet
Le flux de production au cabinet Le flux de travail (fig. 1) commence par une empreinte optique réalisée à l’aide d’un...Greffe osseuse guidée dans la gestion des échecs implantaires
Du projet prothétique à la reconstruction osseuse guidée Un positionnement implantaire inadapté peut compromettre le rendu esthétique et empêcher une...Vidéos
Les conseils de Jennifer et Sabine – Episode 2 : L’éclaircissement dentaire
Durée : 04:15 minDurée de l'introduction : 00:50s Comment répondre aux attentes d’éclaircissement des patients tout en les orientant vers des solutions adaptées,…
Les conseils de Jennifer et Sabine – Episode 1 : La gingivite
Durée : 04:36 minDurée de l'introduction : 00:50s Et si les bons mots suffisaient à transformer la routine d’hygiène bucco-dentaire de vos patients…
Célébrons la science et le recul clinique ensemble !
Durée : 1:30 Avec plus de 100 ans d’expertise et pionnier dans de nombreux domaines de la dentisterie,…Dossiers
							
								
								Mini-série PAD : 
les conseils de Jennifer et Sabine 
Assistantes dentaires en action
							
						
						Et si les bons mots suffisaient à transformer la routine d’hygiène bucco-dentaire de vos patients en un soin efficace et intuitif ? Transformer les habitudes d’hygiène bucco-dentaire de vos patients n’est pas toujours simple. Pourtant, les assistant(e)s dentaires ont un…
Les podcasts de l’Id
Les podcasts de l'Id Les vacances sont là, avec l’envie de lever le pied… sans forcément mettre son cerveau sur pause. Pour continuer à découvrir, approfondir, réfléchir, découvrez notre série d’articles podcastés, issus de nos revues. On y parle implantologie, laboratoires…
Europerio 2025 : Flash Infos ID / PIO
Du 14 au 17 mai, 10 000 participants de 107 pays se sont réunis à Vienne pour célébrer la parodontologie et l’implantologie. Avec plus de 100 sessions, le congrès organisé par l’European Federation of Periodontology (EFP) a permis de présenter…
Gestion et organisation du cabinet
En collaboration avec l'Information Dentaire, la Binhas Global Dental School vous propose un espace entièrement dédié à la gestion et l'organisation de votre cabinet dentaire. Retrouvez tous nos conseils, recommandations et ressources (infographies, livres blancs, vidéos...) pour gagner en sérénité,…
Webinars
La bouche victime ou vectrice des maladies infectieuses
Comme l’actualité le démontre de façon criante, les maladies infectieuses sont un problème de santé publique majeur. La bouche peut en être victime ou vectrice. L’odontologiste a donc un rôle essentiel à jouer pour les prévenir, mais aussi les dépister…
Maladies parodontales, diabète et convention
Le lien bidirectionnel entre les maladies parodontales et le diabète est déjà bien établi. Le diabète est un vrai problème de santé publique et le nombre de personnes atteintes ne cesse d’augmenter au niveau mondial. Le patient diabétique a trois…
Librairie
 
		Honoraires et Nomenclatures 9e édition
Sabek Mark 
		Prothèse implantaire biomimétique unitaire et partielle
Marwan Daas, Édouard Cristofarien collaboration avec Gil Tirlet et Jean-Pierre Attal
 
		 
		Kiosque
 
										 
										 
										 
										 
										Profession Assistant(e) Dentaire
La revue de référence des assistant(e)s dentaires5 numéros par an
 
										 
											 
											 
			 
			 
			 
			 
			 
			 
			 
			 
			 
				 
								 
				 
								 
				 
								 
				 
								
 
												


 
												
 
												
 
									 
													 
									