Parodontite

Article réservé à nos abonnés L’administration locale de statine comme adjuvant du traitement parodontal : revue systématique de la littérature

RÉSUMÉ Objectifs La parodontite est une maladie inflammatoire d’origine bactérienne responsable de la destruction des tissus de soutien dentaires. Le traitement...
Parodontologie

Article réservé à nos abonnés Le traitement parodontal et les affections de longue durée (ALD)

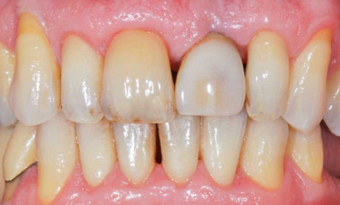
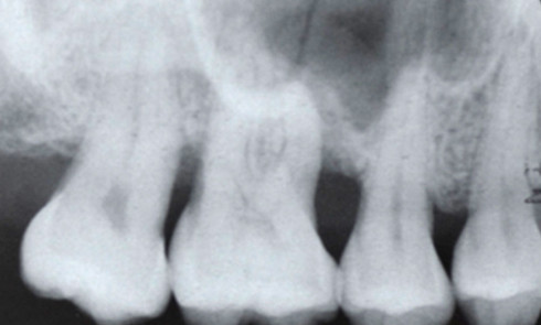
Cliniquement, la parodontite se manifeste par une atteinte du parodonte superficiel et profond : gencive œdématiée avec saignement provoqué au...

Article réservé à nos abonnés L’épitranscriptomique comme nouvelle source de biomarqueurs de la parodontite : revue de la littérature

Le point clé Les modifications de l’ARN, et en particulier m6A, pourraient être de potentiels biomarqueurs diagnostiques et de réponse au traitement...
Médecine

Article réservé à nos abonnés Les neutrophiles : agents doubles dans la parodontite

IDENTITÉ Nom : Neutrophile Date de description : 1882, Elie Metchnikoff (« Microphages ») Parenté : Granulocytes, Famille des leucocytes Surnom :...
Médecine

Article réservé à nos abonnés Le virus Epstein-Barr

L’objectif de cette rubrique est de rédiger la carte d’identité d’un habitant du parodonte. La rubrique comportera l’identité de l’habitant...
Parodontologie

Article réservé à nos abonnés L’étiopathogénie des maladies parodontales. Un aperçu historique des modèles, de l’infection focale à la dysbiose et aux voies de l’inflammation

RÉSUMÉ La parodontite est une maladie inflammatoire chronique multifactorielle associée à un biofilm bactérien dysbiotique et caractérisée par la destruction...
Médecine

Article réservé à nos abonnés Comment les troubles respiratoires du sommeil peuvent impacter la santé orale

Les troubles du sommeil en relation avec la respiration Dans la récente révision de la Classification internationale des troubles du sommeil établie...
Parodontologie

Article réservé à nos abonnés Recommandations de traitement des 4 types de parodontites de stade IV

Pour rappel La parodontite de stade IV est une parodontite sévère avec perte potentielle de toutes les dents [1]. Le stade IV...
ODF

Article réservé à nos abonnés Spécificités de la contention en cas de parodontite

Les parodontites sont des pathologies d’origine bactérienne, aggravées par de nombreux facteurs (tabac, génétique, hygiène…) [1] et conduisant à une...
Parodontologie

Article réservé à nos abonnés Quelles interactions entre parodontites et santé digestive ?

L’axe oro-intestinal est un domaine émergent en médecine parodontale et l’interaction entre la parodontite et les maladies inflammatoires chroniques de...