8e Grand Prix en orthodontie « Enfants/adolescents de moins de 16 ans » L’Orthodontie et Orthoplus s’associent
Troisième lauréat : Marilou Callède, Ryme Labassy
Présentation du cas clinique
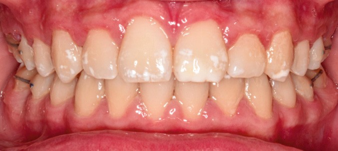
Fares, 13 ans, est adressé par son dentiste pour un bilan orthodontique dans le cadre d’une Hypominéralisation Molaire-Incisive (MIH). L’enfant est en bonne santé générale.
La MIH est une anomalie qualitative de l’émail affectant une à quatre premières molaires permanentes, souvent associée aux incisives. Elle se manifeste par des opacités bien délimitées, de teinte blanche à brunâtre, avec une fragilité amélaire pouvant entraîner des pertes de substance post-éruptives, une hypersensibilité et une susceptibilité accrue aux caries.
L’étiologie est multifactorielle et partiellement élucidée. Trois formes sont décrites : légère (opacités sans perte de substance), modérée (opacités pigmentées et sensibilité) et sévère (perte tissulaire, effondrement post-éruptif, restaurations atypiques ou extractions) [1].
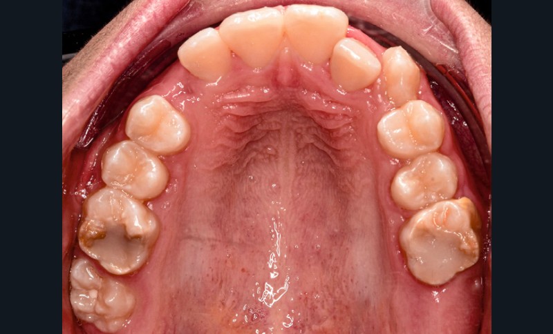
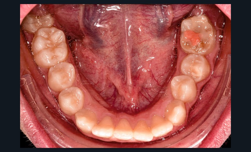
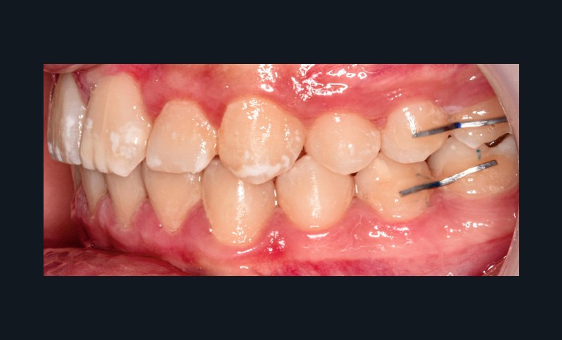
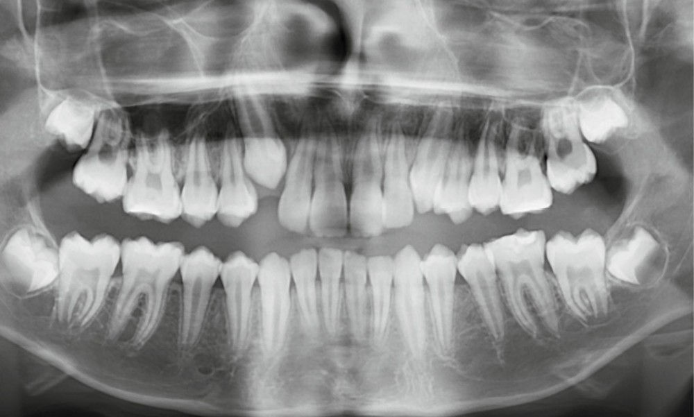
L’examen clinique montre une MIH sévère sur 16, 26, 36 et 46, et modérée sur 11 et 21.
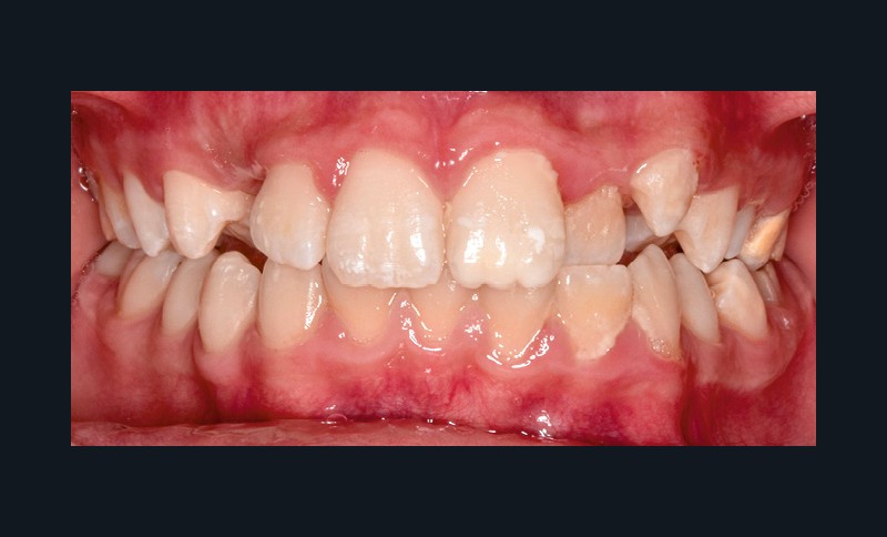
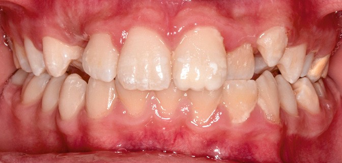
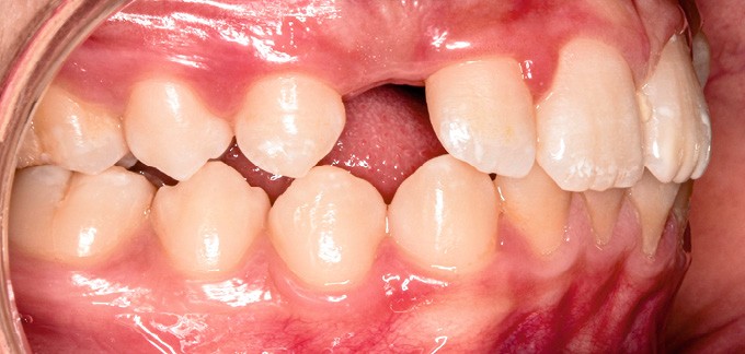
Sur le plan esthétique : profil orthofrontal, visage équilibré (fig. 1a).
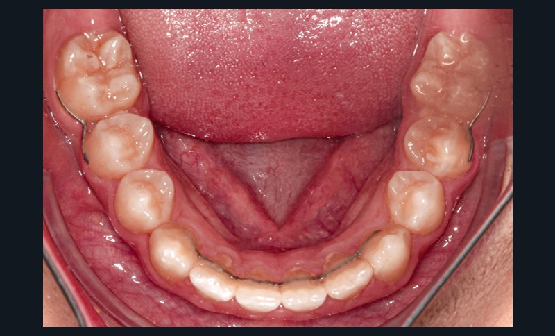
Sur le plan alvéolo-dentaire (fig. 1b) :
- Classe II subdivision gauche avec déviation du point inter-incisif mandibulaire à gauche ;
- occlusion inversée entre 22 et 32 ;
- dysharmonie dento-arcade (DDA) sévère ;
- 13 en position haute retenue.
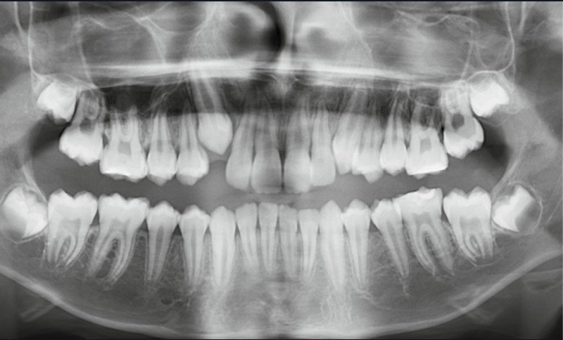
Sur le plan squelettique : Classe II, schéma hypodivergent (fig. 1c). Sur le plan fonctionnel : aucune dysfonction ni parafonction.
Objectifs thérapeutiques
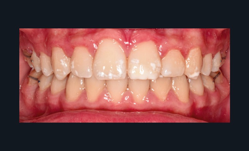
Le traitement visait à favoriser la croissance mandibulaire et à établir des rapports occlusaux de Classe I. Il devait également permettre de corriger la dysharmonie dento-arcade, lever l’occlusion inversée, mettre en place la 13 sur l’arcade et améliorer l’esthétique du sourire.
Plan de traitement
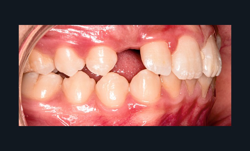
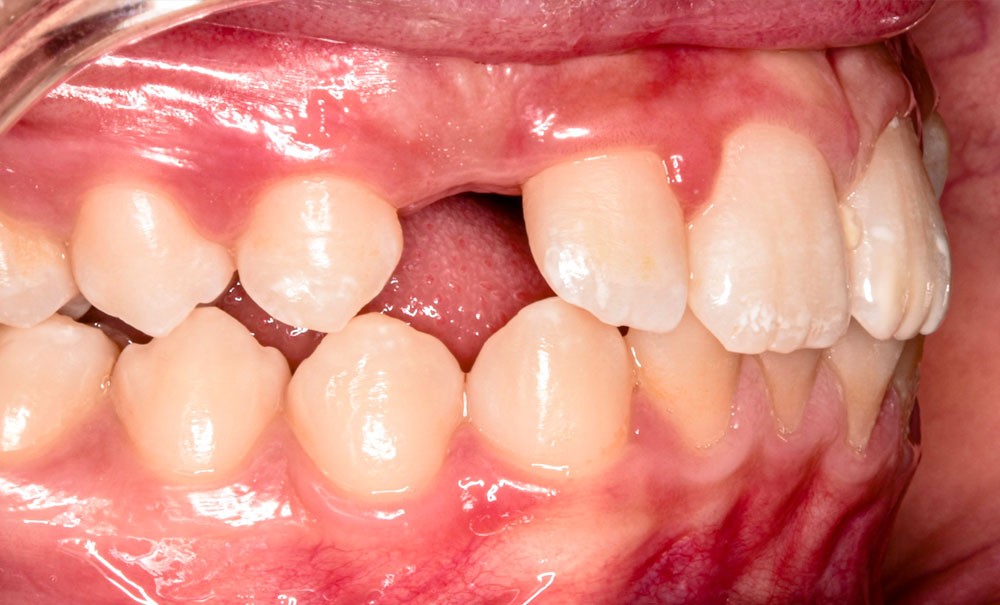
Après concertation avec le service de pédodontie, un appareillage multi-attache bi-maxillaire est mis en place, associé à l’extraction des quatre premières molaires permanentes (16, 26, 36, 46).
Des alternatives ont été envisagées :
- Option sans extraction : envisageable, mais ne permettant pas la correction complète de la DDA ni des axes incisifs.
- Extraction des deuxièmes prémolaires (15, 25, 35, 45) : bonne prédictibilité mais perte de chance, les premières molaires étant déjà délabrées et sensibles.
L’extraction des premières molaires délabrées a donc été privilégiée. Elle évite le sacrifice de dents saines et facilite la correction de la DDA et des axes incisifs.
Le moment de l’extraction est essentiel : à cet âge, les deuxièmes molaires n’ont pas terminé leur édification radiculaire, ce qui favorise leur mésialisation [2]. Néanmoins, la direction d’éruption, surtout mandibulaire, reste difficile à prévoir, et la présence des troisièmes molaires ne garantit pas leur éruption correcte [3].
Le choix d’extraction dépend de l’âge, du stade de développement des secondes molaires, de la présence des troisièmes molaires, de la DDA et des relations squelettiques.
Séquence thérapeutique
Le traitement a duré deux ans.
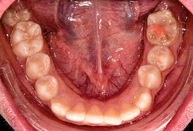
L’extraction de 16, 26, 36, 46 a été réalisée 6 mois avant la pose du multi-attache, permettant une mésialisation spontanée partielle.
La fermeture des espaces résiduels d’extraction a été réalisée par activation de boucles de fermeture sur arcs en acier, avec plicatures préventives des effets parasites (Tip back, Toe in).
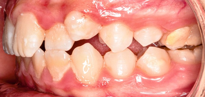
Des élastiques intermaxillaires de Classe II (1/4’’, 4 oz) ont renforcé l’ancrage et corrigé la relation sagittale. La mésialisation de 37 et 47 s’est faite progressivement, avec contrôle des axes et de l’inclinaison radiculaire.
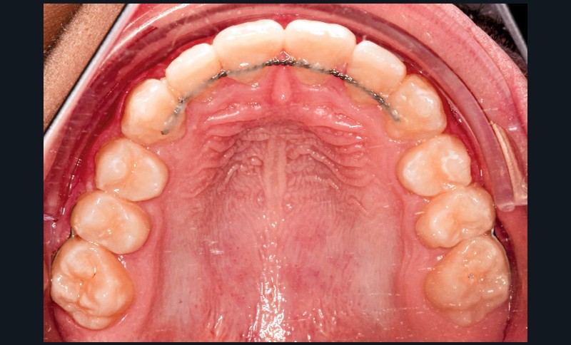
En complément des fils de contention 3-3 bimaxillaires, des contentions (fils collés acier 0.16 x0.22) ont été réalisées entre 15-17, 25-27, 35-37 et 45-47. L’objectif était d’éviter une réouverture des espaces post mésialisation.
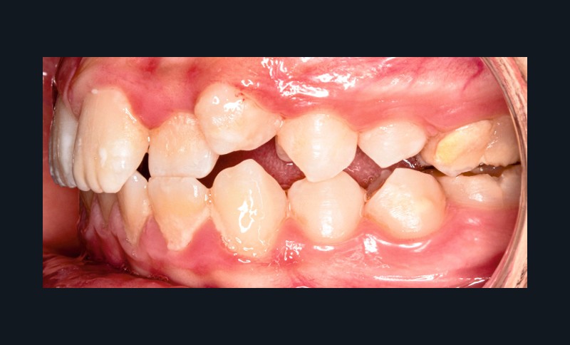
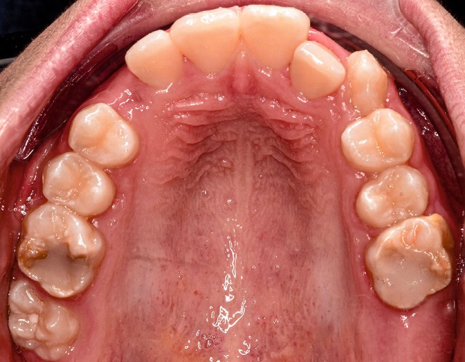
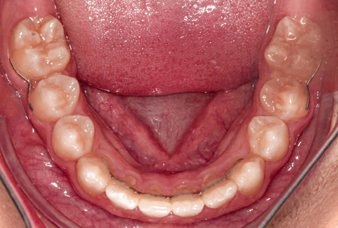
Une sur-correction de la rotation de 17 aurait été souhaitable pour optimiser l’alignement et les rapports occlusaux (fig. 2a-d).
Discussion
Le traitement orthodontique des patients atteints de MIH présente des enjeux diagnostiques et thérapeutiques spécifiques.
L’extraction des premières molaires sévèrement atteintes peut être envisagée, notamment en cas de dysharmonie dento-arcade par excès.
Cette décision doit être collégiale et reposer sur plusieurs critères :
- concertation avec la pédodontie pour évaluer leurs restaurabilité ;
- stade de maturation radiculaire et angulation des secondes molaires permanentes ;
- présence et position des troisièmes molaires.
Chaque cas doit faire l’objet d’un raisonnement individualisé. L’approche interdisciplinaire et le choix du timing d’extraction sont essentiels pour garantir le succès du traitement et limiter les complications [3, 4].
Conclusion
Chez les patients présentant une MIH sévère, l’extraction des premières molaires délabrées peut être envisagée afin d’éviter les complications liées aux soins multiples sur ces dents.
Dans le cas de Fares, cette stratégie a permis d’obtenir un bon résultat fonctionnel et esthétique.
La décision doit toujours reposer sur une analyse individualisée et une collaboration étroite entre orthodontiste et pédodontiste.


















Commentaires