Grand Prix éditorial 2024 – implantologie, gérer le temps et la biologie
3e cas lauréat 2024
Objectif thérapeutique
Un patient de 71 ans nous est adressé afin de remplacer, de manière fixe, son bridge dento-porté actuel (fig. 1) présentant des dents supports en situation terminale. La radiographie panoramique (fig. 2) nous montre :
- Un bridge dento-porté de 16 à 26.
- Une canine incluse en place de 23.
- 22 et 26 qui semblent compromises.
- 17/16/27 qui paraissent conservables.
- Une hauteur sous sinusienne secteur 1 insuffisante pour la pose d’implant.
Nous réalisons dans un premier temps, sur une même séquence clinique :
- La dépose du bridge dento-porté.
- L’avulsion de la canine incluse et de la 26 ainsi qu’un comblement par matériau allogénique.
- Un bridge provisoire de laboratoire prenant appui sur 16/13/22 et 27, permettant la temporisation durant la cicatrisation osseuse.
Quatre mois après, nous réalisons un examen radiographique tridimensionnel nous confirmant un volume osseux suffisant pour la pose de 7 implants. Nous éviterons le sinus maxillaire secteur 1. Nous planifions avec le prothésiste une série de guides à étages [3] permettant le positionnement précis des implants.
Les dents restantes nous ont servi de repères pour le positionnement du guide de base à appui osseux [4] via une série de clavettes MIS® (fig. 3). Ce dernier a été conçu dans l’objectif de réaliser une ostéotomie maxillaire guidée : en effet, la crête maxillaire antérieure étant fine, une résection osseuse de cette partie a été réalisé en suivant le guide (fig. 4).
13 et 22 sont alors extraites afin de positionner le guide de forage. 7 implants MIS C1® sont insérés à un torque de plus de 30 newtons. Des piliers intermédiaires MUA et Connects® sont vissés sur les implants. Puis nous solidarisons le bridge temporaire préparé à l’avance sur les piliers provisoires (fig. 5). À ce stade, nous transmettons le bridge à notre laboratoire interne afin de travailler les futurs profils d’émergence.
Durant cette phase de laboratoire, nous pouvons nous concentrer sur la biologie. Lors de la planification, nous avions observé un manque d’os vestibulaire au niveau de la 13. Nous profitons de l’os réséqué sur le maxillaire antérieur pour le fixer à l’aide de 3 vis d’ostéosynthèse au niveau de l’implant 13 (fig. 6).
Ensuite, nous positionnons le bridge provisoire sur implant en prenant le soin de régler l’occlusion. Des sutures sont réalisées pour obtenir une fermeture étanche, spécifiquement au niveau de 13.
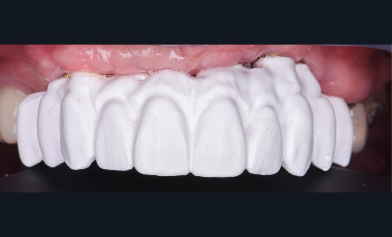
Trois mois après, une empreinte numérique est réalisée pour le bridge sur implant, ainsi que les couronnes sur 16 et 27. Une clé en plâtre usinée nous permet de valider cette dernière, ainsi que l’esthétique et l’occlusion (fig. 7). Nous choisissons un bridge en zircone avec un poli miroir au niveau de la zone gingivale pour sa meilleure tolérance biologique (fig. 8). Le bridge est alors vissé sur les implants et les couronnes 16 et 27 scellées (fig. 9). Nous laissons volontairement un espace pour le passage des brossettes inter dentaires : élément clé pour la longévité de ces thérapeutiques. La radiographie panoramique postopératoire met en évidence la bonne adaptation du bridge et des coiffes périphériques en zircone (fig. 10).










Commentaires