Les lésions cervicales non carieuses (LCNC) impliquent la perte de tissus durs au niveau de la zone cervicale des dents par des processus non liés à la carie. Ces lésions peuvent s’accompagner d’une récession parodontale entraînant parfois la peur de perdre la ou les dents concernées, mais surtout d’une gêne esthétique et d’une hypersensibilité dentinaire, qui conduisent le patient à consulter. La prévention et le traitement efficace de ces défauts combinés nécessitent une compréhension approfondie de l’étiologie et des facteurs de risque, lesquels évoluent au cours du temps chez un patient.
Une LCNC touchant seulement la couronne anatomique de la dent doit être traitée par une thérapeutique restauratrice, tandis qu’une LCNC limitée à la surface radiculaire doit être traitée par une chirurgie muco-gingivale. Le contexte clinique réel est plus complexe et, souvent, la LCNC touche à la fois la couronne et la racine, entraînant la disparition de la jonction amélo-cémentaire (JAC).
Le traitement idéal devrait alors consister en un traitement combiné restaurateur/parodontal.
La réalisation du traitement restaurateur avant la chirurgie muco-gingivale présente divers avantages cliniques pour les deux procédures : la restauration peut être facilement réalisée et terminée dans un champ isolé (à l’aide d’une digue en caoutchouc) sans interférence des tissus mous, et la chirurgie de recouvrement radiculaire est facilitée par la reconstruction du profil d’émergence de la couronne clinique, qui fournit un substrat stable, lisse et convexe pour le lambeau chirurgical.
Cas clinique
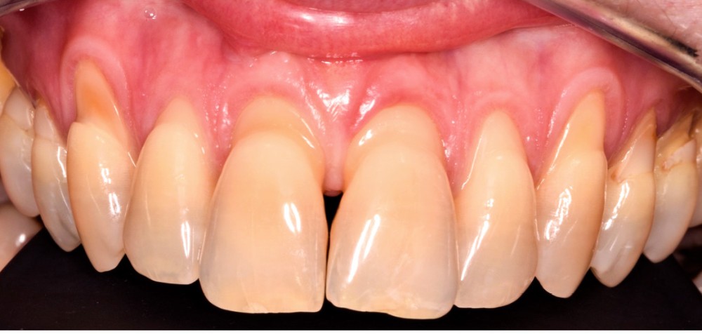
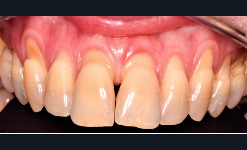
Une patiente de 54 ans se présente en consultation pour des hypersensibilités marquées sur les dents maxillaires associées à des récessions multiples et profondes ainsi qu’à des lésions cervicales d’usure (fig. 1).
Diagnostic parodontal
L’examen clinique révèle un parodonte fin et festonné…
