Les récessions gingivales
Les récessions gingivales sont définies comme « le déplacement de la gencive marginale apicalement à la jonction amélo-cémentaire » (JAC) [2] et représentent une perte d’attache clinique. Depuis 2017 et la classification des maladies parodontales, les récessions gingivales font partie des altérations muco-gingivales. Le parodonte d’une dent présentant une récession est considéré comme réduit avec ou sans antécédent de maladie parodontale [3].
L’étiologie est multifactorielle. Un biotype parodontal fin, l’absence de gencive attachée, une épaisseur réduite de l’os alvéolaire et les malpositions dentaires sont identifiés comme des facteurs prédisposant au développement de la récession gingivale [4]. Il existe également des facteurs déclenchants qui peuvent être regroupés dans deux catégories : l’inflammation et le traumatisme (brossage traumatique [5], piercing oral, traumatisme occlusal).
Concernant la terminologie, la classification de Cairo [6] détaille le type de récession.
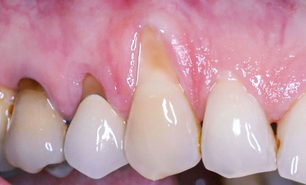
La récession RT1 est une récession sans perte d’attache interproximale et où la JAC est cliniquement non détectable en zone interproximale, le recouvrement complet est possible. Lorsque la perte d’attache interproximale est inférieure ou égale à la perte d’attache vestibulaire, on parlera de récessions RT2, le recouvrement ne sera que partiel. La récession RT3 est une récession où la perte d’attache interproximale est supérieure à la perte d’attache vestibulaire, dans ce cas-là le recouvrement est impossible. Il est important aussi de savoir identifier et distinguer la récession gingivale de l’éruption passive incomplète qui est une anomalie de développement de l’éruption dentaire (fig. 1).
En présence d’une récession gingivale, les indications de traitements chirurgicaux sont le plus souvent : l’aspect inesthétique du sourire, l’hypersensibilité dentinaire (sensibilité au brossage ou à la mastication), une inflammation persistante, l’évolutivité de la ou des récessions. En absence de ces signes, et si aucun traitement orthodontique, implantaire ou prothétique avec limites sous-gingivales n’est envisagé, il convient de surveiller les récessions ainsi que la quantité de gencive kératinisée afin d’intervenir en cas d’aggravation.
La première étape du traitement consiste à mettre en évidence et éliminer les facteurs étiologiques afin de stopper l’évolution des récessions et d’éviter une récidive après traitement chirurgical. Les coiffes débordantes seront changées, les composites cervicaux refaits au niveau de l’ancienne JAC, les piercings retirés et une technique de brossage atraumatique sera enseignée au patient. Le praticien réalisera aussi une élimination professionnelle des biofilm et tartre supra-gingivaux.
Une réévaluation sera effectuée à trois mois et permettra de définir la conduite à tenir. Si nécessaire, le praticien peut peaufiner la technique de brossage, indiquer une thérapeutique associée telle que l’orthodontie afin de replacer la dent dans son enveloppe osseuse et ainsi faciliter le recouvrement radiculaire ultérieur, ou engager l’étape suivante, la thérapeutique chirurgicale, qui englobe toutes les techniques de chirurgies plastiques parodontales de recouvrement radiculaire.
Les greffes épithélio-conjonctives
La greffe épithélio-conjonctive (GEC) [7, 8] consiste au remplacement du tissu parodontal existant par un greffon épithélio-conjonctif dont l’indication principale est l’augmentation en hauteur et en épaisseur du tissu kératinisé (fig. 2). Elle peut aussi être utilisée dans le recouvrement radiculaire (avec des résultats en termes de recouvrement inférieurs à ceux des techniques de greffe de conjonctif enfouie), l’aménagement des crêtes édentées, l’aménagement péri-implantaires [9, 10] (fig. 3), ou en association avec un traitement ortho-parodontal [11]. Le principal défaut de cette technique est son aspect inesthétique ; elle sera donc réservée à des zones non visibles comme les incisives mandibulaires ou les zones postérieures.
Le greffon est prélevé majoritairement au niveau de la muqueuse masticatrice palatine dans une zone comprise entre la face mésiale de la première molaire et la face distale de la deuxième molaire. Dans certains cas, selon la quantité de greffon nécessaire, celui-ci pourra être prélevé sur une crête édentée ou au niveau tubérositaire [12]. La cicatrisation du site de prélèvement se faisant par seconde intention (plus douloureuse), il devra être protégé par une plaque palatine.
La réussite de cette technique repose sur la création d’un lit receveur périosté suffisamment large (3 mm de part et d’autre de la récession) et profond (10 mm) et sur l’immobilisation du greffon qui doit être le plus proche possible du périoste pour assurer sa vascularisation la plus précoce.
Les greffes de conjonctif enfoui
Les greffes de tissu conjonctif consistent en l’insertion d’un greffon de tissu conjonctif prélevé dans la cavité buccale, sous un lambeau déplacé (avec ou sans décharges), une enveloppe ou un tunnel. C’est la technique de choix pour le recouvrement radiculaire [13], que ce soit pour des récessions unitaires ou multiples, mais elle est aussi indiquée dans l’augmentation en épaisseur des parodontes fins avant traitements prothétiques, orthodontiques ou implantaires.
Deux zones de prélèvement sont à la disposition du praticien : la tubérosité maxillaire ou la zone palatine. La tubérosité, quand elle est présente, permet le prélèvement d’un tissu plus fibreux que la zone palatine, mais en quantité moindre. Son utilisation est particulièrement indiquée dans la chirurgie muco-gingivale péri-implantaire ou les récessions unitaires. La zone palatine permet, quant à elle, de prélever une plus grande quantité de tissu. Afin de minimiser les risques de lésion de l’artère palatine, le prélèvement s’effectue dans une zone comprise entre la face mésiale de la première molaire et la face distale de l’incisive centrale.
De nombreuses techniques de lambeaux déplacés latéralement, lambeaux déplacés coronairement (fig. 4), enveloppes ou tunnels (fig. 5) ont fait l’objet de publications et présentent des résultats quasi identiques en termes de recouvrement. Leurs points communs sont un recouvrement complet du greffon, une dissection en épaisseur partielle suffisante pour assurer un positionnement du lambeau sans tension et l’absence (quand cela est possible) d’incision de décharge. Le choix d’une ou l’autre technique dépend surtout de l’expérience du praticien et de la quantité de tissu disponible apicalement ou latéralement.
Le matériel [17]
La réussite des chirurgies muco-gingivales repose en grande partie sur les principes de chirurgie minimalement invasive ou de microchirurgie qui limitent les traumatismes tissulaires. Ces techniques fines nécessitent l’utilisation d’instruments chirurgicaux, de lames de bistouri et de fils de suture adaptés ainsi que d’aides optiques.
Les instruments chirurgicaux (fig. 6 et 7)
Par rapport aux instruments classiques, ces instruments se caractérisent par leur taille réduite et leur conception adaptée et viennent en complément de la trousse chirurgicale de base.
Ils se composent :
- de manches de bistouris ronds pour les microlames ;
- de précelles atraumatiques à mors fins ;
- de pinces de Castroviejo de microchirurgie, réservées exclusivement aux sutures réalisées avec des fils de taille inférieure ou égale au 5/0 afin de ne pas détendre les mors ;
- de ciseaux de microchirurgie ;
- de micro-décolleurs (Buzer, décolleurs à tunnel…).
Les lames de bistouri (fig. 8)
Les lames 15 seront réservées aux incisions de décharge, à la dissection en épaisseur partielle des lambeaux et aux prélèvements des greffons. Les autres types d’incision seront réalisés de préférence avec une lame 15c ou de façon spécifique avec des microlames comme les « spoon blade » pour la préparation des tunnels ou encore la BW001 pour la désépithélialisation des papilles.
Les fils de suture [18]
En général, on utilisera des fils de suture monofilaments (nylon ou polypropylène), non résorbables, dans des sections inférieures ou égales au 5/0. Ces fils seront associés à une aiguille triangulaire inversée, ou Tapercut®, d’une longueur comprise entre 13 et 17 mm avec une courbure ½ cercle pour la suture des plans profonds ou 3/8e de cercle pour les sutures superficielles.
Les fils de suture résorbables seront réservés aux zones où la dépose des points est difficile ou risque d’être douloureuse pour le patient, ou encore aux sutures enfouies sous les lambeaux. On préférera alors utiliser du fils 6/0, voire 7/0, à résorption rapide.
Les monofilaments, du fait de leur surface lisse, sont moins sensibles aux phénomènes de capillarité et d’agrégation bactérienne, réduisant ainsi l’inflammation postopératoire et améliorant la cicatrisation.
Des fils de plus grosse section (4/0) en multifilaments tressés (plus souples) pourront être utilisés pour suturer les zones de prélèvement des greffons afin d’assurer une surface de compression plus importante.
Les sutures seront déposées entre 10 et 15 jours postopératoires.
Les aides optiques
Les aides optiques permettent, par un agrandissement de la zone opératoire associée à un éclairage externe (led), une meilleure précision du geste chirurgical.
En chirurgie muco-gingivale, on privilégiera les téléloupes avec un agrandissement de x2,5 à x4, en sachant que plus l’agrandissement est élevé, plus le champ visuel est réduit, ce qui peut être un inconvénient lorsqu’il faut traiter plusieurs dents contiguës.
Suivi postopératoire
L’ordonnance postopératoire [19]
Les antibiotiques ne sont pas nécessaires lors de la plupart des chirurgies muco-gingivales, leur utilisation est laissée à l’appréciation du praticien en fonction de paramètres tels que la durée et la complexité de l’intervention ou l’état de santé du patient. Dans ces cas-là, sauf allergie, un antibiotique à large spectre comme les pénicillines pourra être prescrit.
Afin de limiter les douleurs, un antalgique de palier 1, comme le paracétamol ou des anti-inflammatoires non stéroïdiens, est indiqué.
L’antisepsie des sites opératoires sera assurée par l’utilisation d’un gel de chlorhexidine à appliquer directement sur la zone opérée associé à un bain de bouche à la chlorhexidine à 0,12 % ou 0,2 %.
Un anti-œdémateux, comme la bromélaïne, peut être aussi prescrit.
Conseils opératoires [20]
Tous les conseils doivent être remis au patient sous forme écrite, et lus avec lui avant et après l’intervention, afin de s’assurer de sa bonne compréhension.
En préopératoire, il sera conseillé au patient de venir avec une tenue confortable, de ne pas être à jeun, de ne pas se maquiller et de se raser de près.
En cas de changement de son état de santé ou de ses traitements médicamenteux, le patient devra en informer son praticien.
Il est conseillé d’éviter les périodes de stress (examens, deuils, burn-out, divorce…).
Chez le patient fumeur, il est recommandé d’obtenir un arrêt au minimum un mois avant l’intervention, et ce jusqu’à la cicatrisation complète. Des patchs de nicotine peuvent être prescrits afin d’accompagner au mieux le patient dans son arrêt. En effet, le tabac est un facteur majeur dans les complications postopératoires et influence négativement le recouvrement radiculaire de manière dose-dépendante.
En postopératoire, le patient devra suivre l’ordonnance prescrite afin de limiter les risques de complications (douleur, œdème, infection). En ce qui concerne la douleur, elle dépend du type de chirurgie (un lambeau déplacé seul est moins douloureux qu’un prélèvement de tissu conjonctif, lui-même moins douloureux qu’une greffe épithélio-conjonctive), mais elle est, dans la majorité des cas, soulagée par la prise d’antalgiques et le port d’une plaque palatine protégeant le site de prélèvement. Afin de limiter l’œdème, il est conseillé d’appliquer par intermittence une vessie de glace sur la joue en regard du site opéré pendant les heures suivant l’intervention.
Le patient pourra reprendre son travail dès le lendemain en évitant toute activité sportive trop violente qui risque d’engendrer des saignements ou des chocs sur la zone opérée.
Une alimentation molle et équilibrée est prescrite.
En ce qui concerne l’hygiène bucco-dentaire, le brossage sera suspendu au niveau des sites opérés, tout comme le passage des brossettes ou du fil dentaire, jusqu’à la dépose des points. L’antisepsie sera obtenue grâce à l’application d’un gel de chlorhexidine sur les sutures et des bains de bouche. Le brossage sera ensuite repris progressivement avec une brosse à dents postopératoire (6,5/100 ou 7/100) pendant une semaine puis poursuivit pendant les deux semaines suivantes avec une brosse à dents chirurgicale 15/100.
Conclusion
La réussite des traitements de chirurgie plastique parodontale repose sur un diagnostic précis, une instrumentation adaptée, le choix d’une technique adaptée, mais surtout sur la maîtrise des gestes par le praticien, qui ne s’acquiert que par la formation.
Points essentiels
– Il convient de reconnaître le type de récession afin d’anticiper les possibilités de recouvrement.
– La suppression des facteurs déclenchants est primordiale avant tout traitement chirurgical.
– La greffe épithélio-conjonctive permet d’augmenter la quantité de tissu kératinisé.
– Les greffes de conjonctif enfouies sont la technique de choix dans le recouvrement radiculaire.
– Les techniques actuelles de chirurgie minimalement invasive nécessitent une instrumentation spécifique.
– Le recouvrement d’une récession par une résine composite n’est pas la solution de choix.
|
Auto-évaluation |
VRAI |
FAUX |
|
|
1 |
Une récession Rt3 de Cairo peut-elle être recouverte par une greffe ? |
X | |
|
2 |
La greffe de conjonctif enfoui est la meilleure technique pour augmenter en hauteur et en épaisseur le tissu kératinisé ? |
X | |
|
3 |
Le tabac n’influence pas la cicatrisation ? |
X | |
|
4 |
La prescription d’antibiotiques est-elle systématique en chirurgie muco-gingivale ? |
X | |
|
5 |
Le brossage traumatique est un des facteurs déclenchants des recessions ? |
X | |
















Commentaires