Formation

ODF

Article réservé à nos abonnés Conduite à tenir face à un syndrome du fil, illustration au travers d’un cas clinique

Définition du syndrome du fil Un traitement orthodontique est usuellement suivi de la mise en place d’une contention fixe collée...
Implantologie

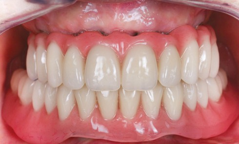
Article réservé à nos abonnés Zircone ou titane en implantologie orale, comment choisir ?

Loin de se satisfaire des performances des implants dentaires sur le marché, dont l’ostéointégration est majoritairement acquise, les chercheurs, sous l’impulsion...
Dermatologie buccale

Article réservé à nos abonnés Image commentée : une petite boursouflure

Situation clinique Anamnèse. Une patiente âgée de 26 ans consulte sur les conseils de son chirurgien-dentiste traitant, lequel a remarqué...
Implantologie chirurgicale

Article réservé à nos abonnés Gestion des séquelles de la parodontite sévère dans les secteurs antérieurs

Cet article illustre les étapes principales de la gestion des séquelles fonctionnelles et esthétiques d’une parodontite de stade IV grade C...
Parodontologie

Article réservé à nos abonnés Gestion d’une lésion inter-radiculaire sur une molaire maxillaire

Dans cet article, nous décrirons la prise en charge d’une lésion inter-radiculaire sur une molaire maxillaire par résection radiculaire sur...
Parodontologie

Article réservé à nos abonnés La cellule épithéliale gingivale

L’objectif de cette rubrique est de rédiger la carte d’identité d’un habitant du parodonte. Elle présente l’identité de l’habitant (procaryote...
Parodontologie

Article réservé à nos abonnés L’aéropolissage est-il un complément ou une alternative à l’instrumentation conventionnelle en parodontologie ?

Le but de la revue de littérature présentée dans ces pages est de clarifier les indications dans lesquelles l’aéropolissage, utilisé...

Article réservé à nos abonnés Tube de dentifrice réutilisable pour la prothèse complète

Cette manipulation est parfois longue, délicate et salissante ; par ailleurs les restes de bâtonnets deviennent inutilisables car trop courts pour...

Article réservé à nos abonnés Le collage d’une prothèse céramique

Lors du collage, le praticien doit effectuer une certaine pression sur la pièce prothétique afin de la positionner correctement et...
Hygiène et Asepsie

Article réservé à nos abonnés Les brossettes interdentaires : pour qui ? Partie 1

Contexte Parmi les pathologies orales, la carie et la maladie parodontale (MP) représentent les maladies humaines à médiation microbienne les...

Article réservé à nos abonnés Se protéger des instruments piquants lors du conditionnement

Ces dernières sont rappelées lors de la remise à niveau obligatoire dans le programme « stérilisation au cabinet ». Lors du conditionnement...
Santé publique

Article réservé à nos abonnés Reconnaître un avc au cabinet dentaire

La survenue d’un AVC constitue une véritable urgence. La connaissance des premiers signes permet de réagir au plus vite car...
Pathologie

Article réservé à nos abonnés Troubles du sommeil et douleurs orofaciales chroniques : un modèle d’interaction

Certains troubles du sommeil, en particulier le trouble insomnie et le Syndrome d’apnées et hypopnées obstructives du sommeil (Sahos), établissent...
Pathologie

Article réservé à nos abonnés Bruxisme du sommeil chez les adultes : résumé des connaissances actuelles sur l’étiologie, l’évaluation et la prise en charge

Le bruxisme est une affection buccale très documentée qui intéresse plusieurs disciplines comme l’odontologie, la psychologie, la neurologie et la...

Article réservé à nos abonnés Le sommeil normal et pathologique : place des explorations du sommeil en médecine dentaire

Le rôle du sommeil dans la physiologie globale de l’organisme est complexe et encore imparfaitement connu. Pour autant, « le sommeil...
Pathologie

Article réservé à nos abonnés Une introduction complémentaire à la médecine dentaire du sommeil

La discipline odontologique « médecine dentaire du sommeil » est résolument pluridisciplinaire et elle exige des professionnels impliqués un important savoir-faire médical,...