8e Grand Prix en orthodontie « Enfants/adolescents de moins de 16 ans » L’Orthodontie et Orthoplus s’associent
Deuxième lauréat : Léa Ponseel, Damien Brézulier, Matthieu Pérard
Objectif thérapeutique et phases cliniques
L’inclusion de la canine maxillaire est bien connue des orthodontistes. Toutefois, lorsqu’elle s’associe à une transposition avec l’incisive latérale, ainsi qu’à une résorption sévère de la racine de l’incisive centrale, le tableau clinique s’obscurcit [1]. La canine – véritable pilier fonctionnel de la stabilité occlusale – vient compromettre l’intégrité de l’incisive centrale, essentielle à l’esthétique du sourire. Comment alors restaurer un équilibre satisfaisant, à la fois fonctionnel et esthétique, dans une telle configuration ?
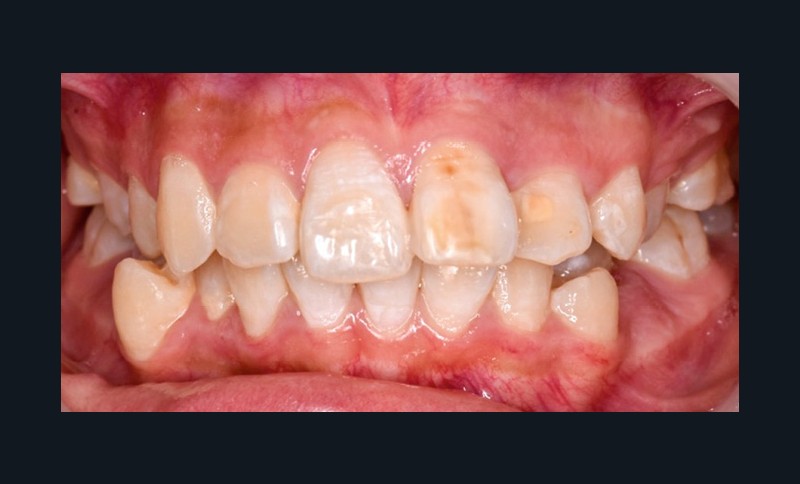
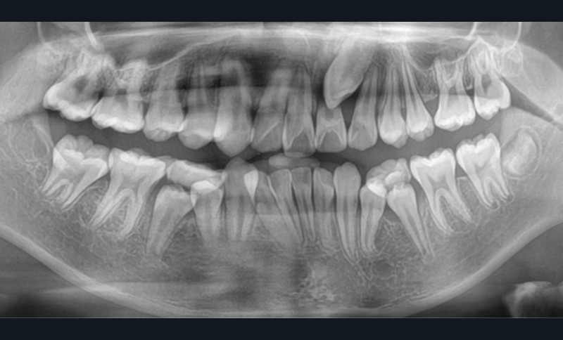
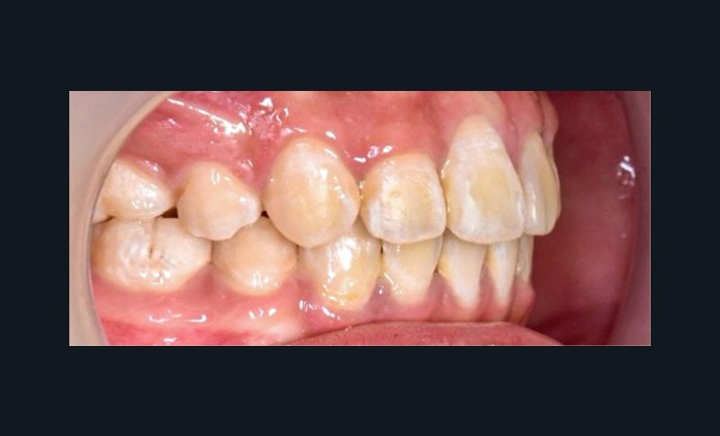
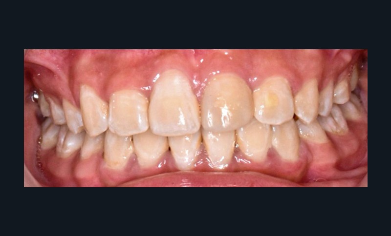
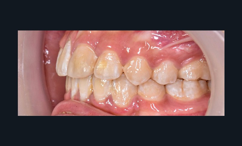
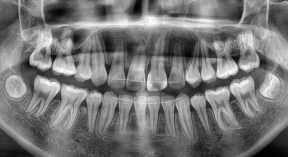
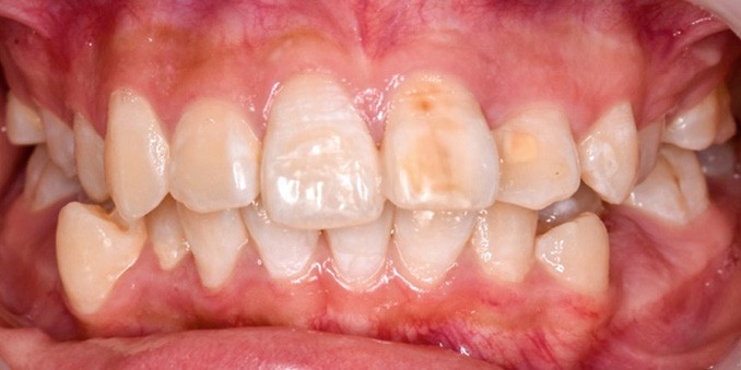
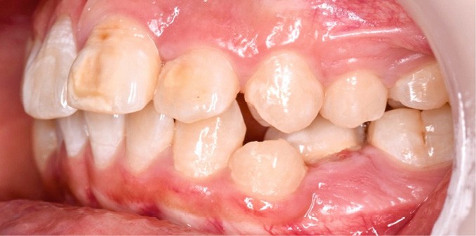
Une patiente âgée de 12 ans se présente en consultation, motivée par la position de son incisive centrale maxillaire, décrite comme « en avant », marquée par une dyschromie et une mobilité de grade 2 selon Muhlemann. L’examen clinique montre l’absence de 23 sur l’arcade, une dysharmonie dents-arcade marquée, un surplomb accentué, et une déviation des milieux inter-incisifs, conséquence du comblement spontané de l’espace de 23. L’ensemble s’inscrit dans un contexte de Classe I d’Angle molaire. L’orthopantomogramme révèle l’inclusion de 23, associée à une résorption radiculaire étendue aux deux tiers de 21. La 22 ne présente aucune altération visible.
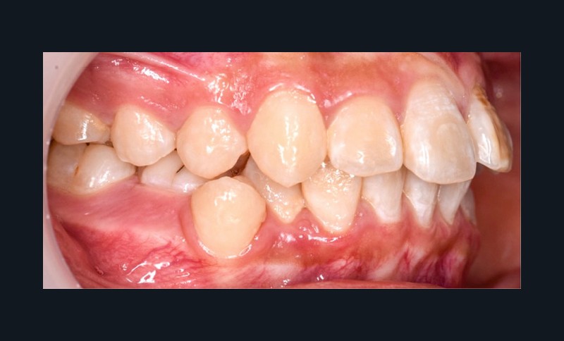
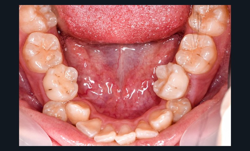
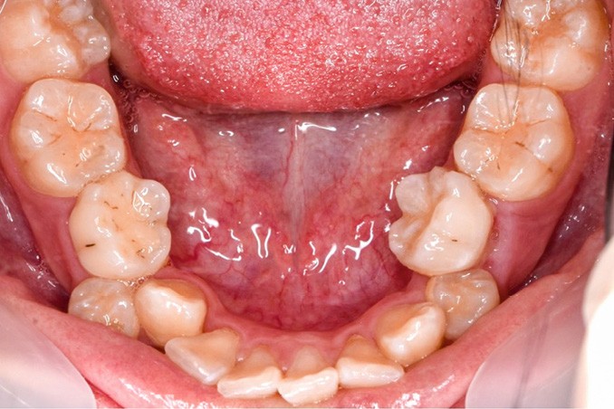
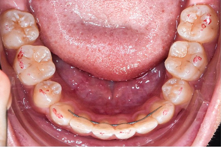
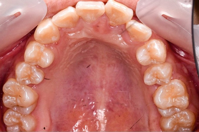
La patiente, de profil normodivergent, présente une Classe I squelettique sans troubles fonctionnels (fig. 1-8).
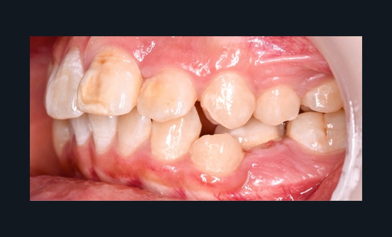
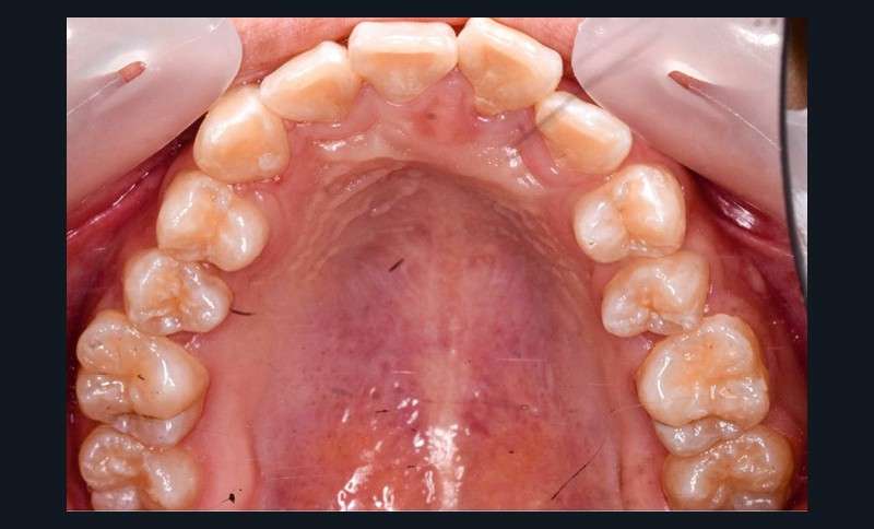
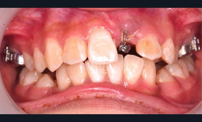
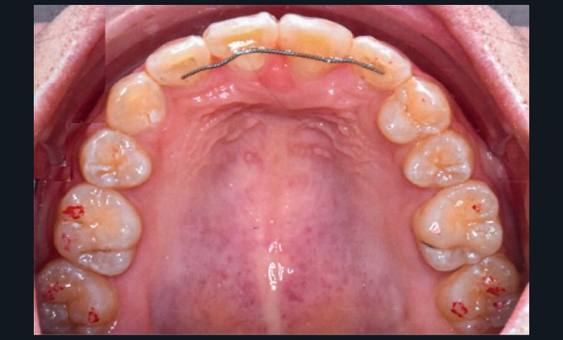
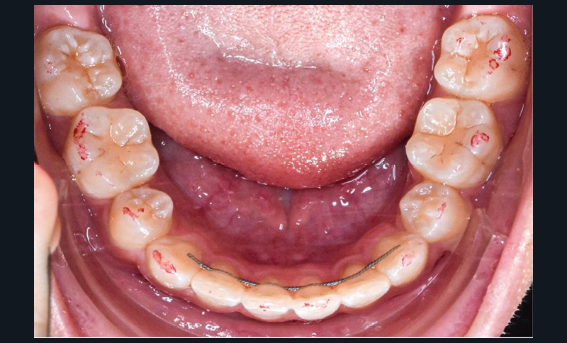
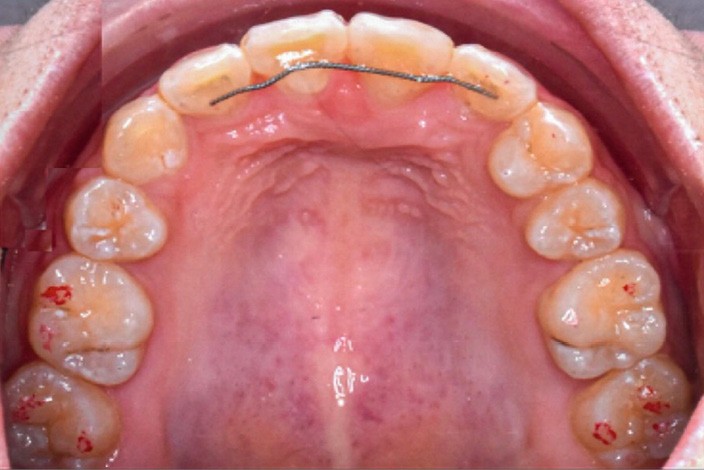
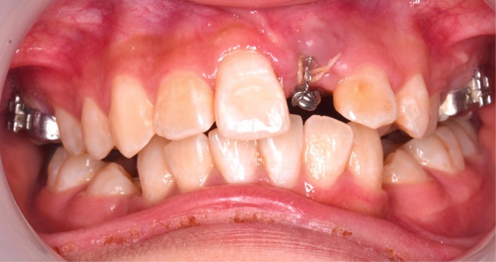
L’objectif du traitement est la correction de la DDA tout en assurant le remplacement de la 21 compromise. Décision a été prise d’extraire 34 et 44, ainsi que 21 et 14. La traction de la 23 a été réalisée à l’aide de forces légères, sur un arc transpalatin (fig. 9). Le nivellement et l’alignement, puis une mécanique par glissement ont permis d’aménager l’espace suffisant à la stratification de la canine. Elle associait un ressort en nickel-titane à des élastiques de Classe II (4 ½ oz, 3/16’’) sur un arc en acier .019×.025. Une phase d’ingression a été réalisée pour ajuster le niveau du bord libre de la canine à celui de l’incisive controlatérale (fig. 10-12).
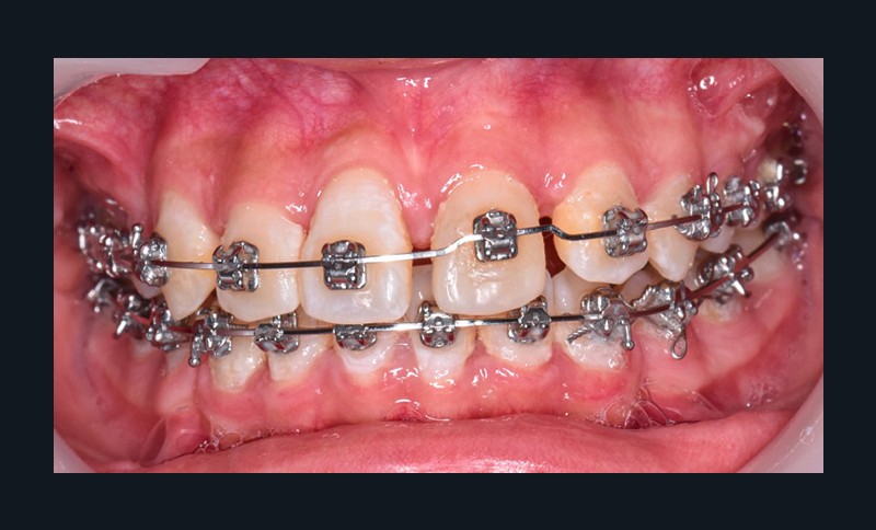
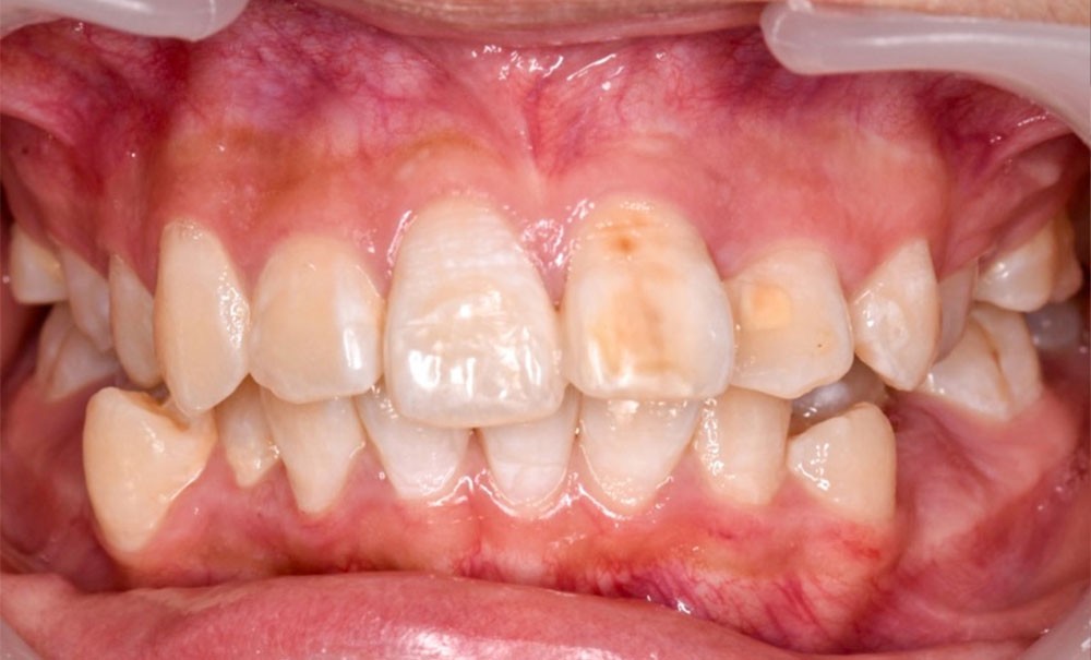
Les corrections esthétique et fonctionnelle de la canine ont été effectuées par stratifications de résine composite (fig. 13). Au préalable, une simulation numérique de la nouvelle forme à donner à la canine a été élaborée. Une fois imprimée, cette simulation a servi à fabriquer une clé en silicone moulant les faces palatines des incisives. Cette clé a été garnie d’une fine couche composite de masse « émail » (Miris, ColteneR, Suisse) qui a été polymérisée une fois replacée en bouche pour constituer une coquille palatine. Afin d’élargir légèrement le profil d’émergence, des matrices (Slick Bands Margin Elevation, Garison, R USA) ont été insérées dans le sulcus des faces proximales avant d’y fouler une fine couche de composite. La coquille a ensuite été remplie de différentes masses de composite « dentine ». Une dernière fine couche de composite de masse « émail » a finalement été appliquée en surface avant de procéder au polissage et aux finitions. Après contrôle des axes, la fermeture réciproque des espaces d’extraction s’est poursuivie. Cette phase a été suivie par les finitions, puis la dépose. Des fils collés au maxillaire et à la mandibule assurent la contention, complétés par une gouttière thermoformée maxillaire (fig. 14-20).
Discussion
Ce cas clinique illustre l’importance d’un dépistage précoce qui aurait permis de limiter — voire d’éviter — les complications menant à la perte de 21 [2]. La situation initiale, complexe tant sur le plan occlusal qu’esthétique, a nécessité une prise en charge pluridisciplinaire étroite. Il aurait notamment été envisageable de proposer, en parallèle de la traction de la canine, une solution esthétique temporaire afin de compenser l’absence de dent antérieure [3]. Cette option n’a pas été retenue ici, l’éruption de la canine ayant été relativement rapide.
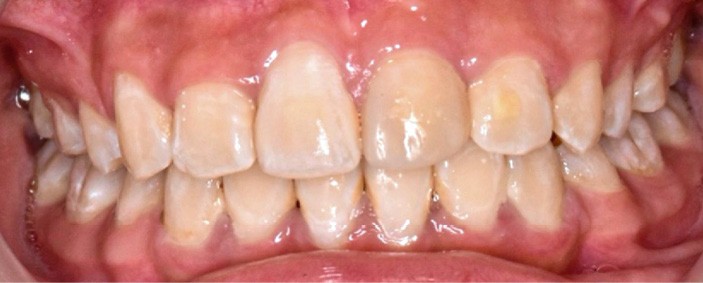
Par ailleurs, le rendu esthétique final du sourire reste marqué par une légère dyschromie entre les 11 et 21. Cela s’explique à la fois par la teinte plus saturée de la canine stratifiée, mais aussi par la discrète fluorose — visible en début de traitement sous forme de stries blanchâtres sur les incisives maxillaires et mandibulaires. De plus, l’apparition de white spot lesions secondaires au traitement a accentué le contraste chromatique. Un apport de vernis fluoré et une prise en charge par érosion-infiltration des lésions fluorotiques sont prévus afin d’harmoniser les teintes [4].
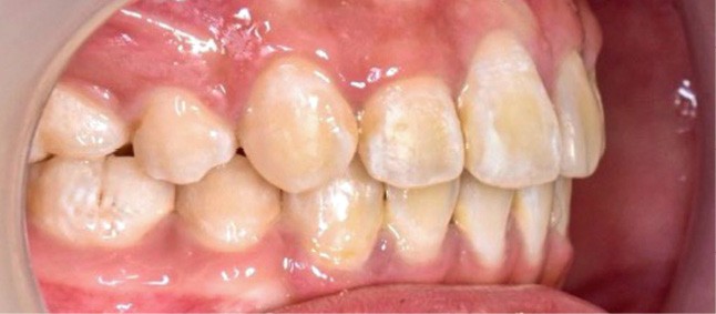
Enfin, une différence de hauteur gingivale est visible lors du sourire entre les collets de 21 et 11, mais surtout entre les 13 et 24. Un aménagement gingival pourra être proposé ultérieurement, selon les attentes esthétiques.
Conclusion
Les cas de résorption radiculaire de l’incisive centrale secondaire à une inclusion de canine demeurent relativement rares. Un diagnostic radiographique précoce est impératif pour intercepter ces situations avant l’apparition de conséquences irréversibles. Dans le cas présenté, la découverte tardive a nécessité une prise en charge orthodontique complexe, incluant notamment la « ré-anatomisation » esthétique de la canine. Le traitement, fondé sur une approche progressive respectant le gradient thérapeutique, a permis de restaurer à la fois la fonction occlusale et l’harmonie du sourire chez cette jeune patiente.



















Commentaires