Diagnostic différentiel

Article réservé à nos abonnés Toujours des épulis ?

Cas 1 Motif de la consultation. Patiente de 55 ans venue consulter pour une tumeur gingivale palatine.     Histoire de...

Article réservé à nos abonnés Des trous dans la lèvre d’un enfant !

CAS 1    Motif de la consultation. Enfant de 3 ans accompagné de sa maman qui souhaitait un avis spécialisé...

Article réservé à nos abonnés Encore des épulis ?

CAS 1 Motif de la consultation. Patient de 51 ans qui est venu consulter car il avait découvert une tumeur...

Article réservé à nos abonnés Kystes et pseudo-kystes gingivaux

Cas 1  Motif de la consultation. Patient de 50 ans venu consulter pour la découverte fortuite par son chirurgien-dentiste d’une...

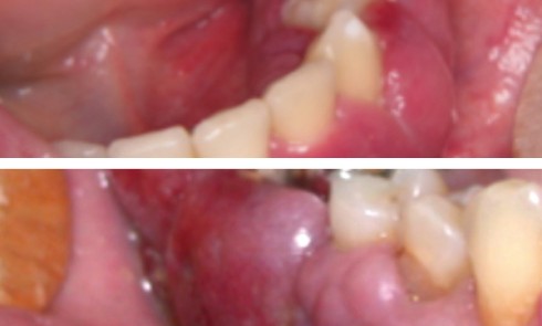
Article réservé à nos abonnés Épulis et autres tumeurs gingivales

CAS 1 Motif de la consultation. Patient de 50 ans venu consulter pour la découverte d’une tumeur gingivale lors d’une...

Article réservé à nos abonnés Il y a de la mélanine de toutes les couleurs !

CAS 1 Motif de la consultation. Patient de 71 ans venu consulter sur les conseils de son chirurgien-dentiste après la...

Article réservé à nos abonnés Rien que du pur MALT ?

Motif de la consultation. Patiente de 19 ans venue consulter pour des douleurs dentaires en rapport avec des caries. Histoire...

Article réservé à nos abonnés Montre-moi ta langue, je te dirai qui tu es !

CAS 1 Motif de la consultation. Patiente de 78 ans venue consulter pour des brûlures de la langue au moment...

Article réservé à nos abonnés Une histoire de HPV !

CAS 1 Motif de la consultation. Patientde 48 ans venu consulter pour une lésion sur la pointe de la langue....

Article réservé à nos abonnés Accroissements gingivaux diffus pigmentés

CAS 1 Motif de la consultation. Patiente de 25 ans venue consulter pour un accroissement gingival saignant au moindre contact....

Article réservé à nos abonnés Macrocheilies mécaniques ou réactionnelles ?

CAS 1 Motif de la consultation. Patiente de 55 ans venue consulter pour une macrocheilie constituant une gêne esthétique majeure...

Article réservé à nos abonnés Péri-implantite et cancer

Dans un récent numéro de L’Information Dentaire était évoqué le problème des relations entre péri-implantite et cancer sous le titre...