R-évolution numérique - ADF 2015
Docteur Thomas Trentesaux, vous êtes Maître de conférences des universités en odontologie pédiatrique à la Faculté de chirurgie dentaire de Lille, vous avez également un exercice libéral exclusivement destiné à la prise en charge de l’enfant de 0 à 16 ans. Cette année, Sibylle Opsahl-Vital, membre du Comité scientifique du Congrès ADF 2015 pour l’odontologie pédiatrique, vous a confié la présidence d’une séance intitulée « Questions de sourire chez l’adolescent ». Pourquoi aborder une telle question ?
L’adolescence correspond à une période complexe de transformations psychiques, physiques et relationnelles. Elle est souvent assimilée à une période de crise. Elle s’échelonne traditionnellement de 11-12 ans à 17-18 ans. Un sourire disgracieux peut altérer parfois gravement l’estime personnelle de l’adolescent déjà mise à mal. Le chirurgien-dentiste est donc en première ligne pour améliorer un sourire qui participe à la construction de la personnalité.
Ces adolescents constituent-ils parfois des « patients difficiles » au cabinet ?
Effectivement, si elle pose problème aux parents, cette période n’est pas non plus toujours facile à appréhender par le chirurgien-dentiste. L’adolescent peut présenter une opposition aux suggestions et directives de l’adulte, il expérimente et adopte des conduites à risques et met parfois sa santé en danger.
Ainsi, l’adolescent inquiète. Ses caractéristiques représentent autant de freins à l’instauration d’une alimentation et d’une hygiène bucco-dentaire propices à un état bucco-dentaire satisfaisant et sont à l’origine d’un désintérêt pour les soins ou pour un éventuel traitement orthodontique (fig. 1).
Or la santé et le développement pendant l’adolescence ont une incidence sur sa santé d’adulte. En tant que praticien, nous nous sentons parfois démunis pour construire une relation et instaurer un climat de confiance.
Il s’agit pourtant d’une étape essentielle.
C’est exact, la construction de cette relation est indispensable pour diagnostiquer, informer et réaliser les soins nécessaires. Il importe donc de privilégier une approche personnalisée, globale et attentive à l’ensemble des ressources et difficultés de l’adolescent pour le rendre plus réceptif et acteur de sa propre santé.
Ces adolescents ont-ils des demandes spécifiques ?
De manière un peu caricaturale, il est possible de distinguer deux types d’adolescents. Les premiers sont très attentifs à l’esthétique de leur sourire, ils sont demandeurs de soins et de traitements orthodontiques. Les seconds négligent leur santé bucco-dentaire, par défiance envers l’autorité des adultes ou par méconnaissance et absence de motivation. Pour ces derniers, la santé bucco-dentaire n’est pas une priorité. Notre rôle sera essentiel pour initier des modifications de comportement et interroger leur norme de santé.
Comment avez-vous décidé d’organiser votre séance ?
L’objectif de la séance est d’aider concrètement les praticiens à redonner le sourire à ces adolescents en suivant un gradient thérapeutique adapté à l’importance du défaut esthétique et proposer des traitements individualisés renforçant leur estime personnelle.
Après l’intervention de Caroline Delfosse, MCU-PH en odontologie pédiatrique à Lille, sur les aspects particuliers de la relation de soin avec l’adolescent, Jean-Pierre Attal, MCU-PH à Paris Descartes, abordera la question très actuelle de l’érosion-infiltration. Cette technique, initialement développée pour stopper le processus carieux dans les secteurs postérieurs, trouve des indications dans la prise en charge des défauts esthétiques antérieurs (white spot, fluorose, dyschromies post-traumatiques). Il présentera également de nouvelles propositions thérapeutiques permettant de traiter les cas de MIH antérieurs qui sont souvent à l’origine de demandes esthétiques fortes (fig. 2).
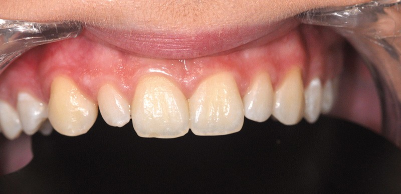
Un autre défi se pose au cabinet pour les praticiens : la réalisation de composites antérieurs à la suite de défauts esthétiques ou dans des cas de traumatismes, assez fréquents chez certains adolescents.
Ce sujet sera abordé par René Serfaty, MCU-PH, responsable du DU Esthétique du sourire à Strasbourg. Aujourd’hui, nous avons les possibilités techniques de réaliser des composites stratifiés de haute qualité. La question reste de maîtriser ces techniques et de les réaliser avec les contraintes économiques d’un cabinet libéral. René Serfaty a donc accepté de relever le challenge : rendre accessible ces techniques grâce à une approche simplifiée de stratification en deux couches. Le résultat permet à l’adolescent de retrouver un confort immédiat aussi bien pour restaurer un angle fracturé que pour maquiller une incisive rhyziforme (fig. 3).
En termes de gradient thérapeutique et de gestion du sourire, quelle est l’étape suivante ?
Cette étape, qui s’inscrit dans la durée, concerne la prise en charge des défauts esthétiques de grande importance, pour lesquels une prise en charge orthodontique, prothétique, implantaire se révèle nécessaire. Le rôle de l’omnipraticien est alors essentiel pour dépister et organiser le parcours de soins de l’adolescent. Ce parcours a d’ailleurs débuté dès l’enfance pour certains adolescents. Le Docteur Yves Samama a accepté de développer ces questions. Sa compétence sur le sujet permettra à chacun de mieux appréhender ces cas complexes, de la simple agénésie de l’incisive latérale (fig. 4) à la prise en charge des séquelles de fentes labiopalatines, pour lesquelles la question de la qualité et de la quantité du tissu osseux est impérative.
Ce sont des traitements lourds, est-ce que tous les adolescents s’engagent dans ces démarches ?
Ces traitements demandent effectivement parfois beaucoup d’investissement. Aujourd’hui, les possibilités techniques à disposition du chirurgien-dentiste sont nombreuses et variées. Pour autant, un traitement ne se fait jamais sans le patient. Ces questions éthiques constituent le fil rouge de notre séance : le praticien répond-il à une demande ou, au contraire, est-ce qu’il la crée ? Comment gérer les patients peu enclins aux traitements en première intention, et pour lesquels il faut éviter toute perte de chance ? Quelle place pour « l’anomalie » face à la norme esthétique standardisée, revendiquée par des adolescents en quête d’intégration sociale et d’appartenance au groupe ?
Cette année, l’ADF innove par le format des séances, mais aussi par la possibilité pour les auditeurs de poser leurs questions via leur smartphone. Comment cette interaction sera-t-elle gérée ?
J’ai confié à Frédérique d’Arbonneau, MCU-PH en odontologie pédiatrique à Brest, la responsabilité de cette tâche. Elle pourra recueillir les questions en direct, analyser les avis des confrères et consœurs afin de les faire partager aux conférenciers et à l’ensemble des auditeurs. C’est une évolution qui, je l’espère, sera très appréciée.
Je vous sens extrêmement passionné par le sujet.
C’est vrai. Je suis surtout ravi d’avoir pu rassembler autour de moi des conférenciers brillants, reconnus et également passionnés. Ce sont des praticiens issus d’horizons variés (odontologie pédiatrique, odontologie conservatrice et prothétique, universitaires et/ou libéraux…) et cette pluridisciplinarité permettra à n’en pas douter d’enrichir la réflexion. Ils ont accepté de relever le défi : transmettre leur savoir-faire et leurs compétences de manière didactique et directement applicable au cabinet. Je les en remercie chaleureusement.
![]()




Commentaires