Dans le cas des édentements complets présentant d’importants décalages des bases osseuses (ou des résorptions ayaant le même aspect), le défi chirurgical consiste à ramener le sommet de crête alvéolaire dans une situation évitant le recours à la fausse gencive. Cela requiert une stratégie précise qui débute par le recueil des éléments cliniques et l’élaboration du projet chirurgico-prothétique. Sur cette base et grâce à l’imagerie tomodensitométrique, le chirurgien élabore sa stratégie opératoire : une ostéotomie complète maxillaire ou mandibulaire dont les découpes sont planifiées sur le squelette modélisé, l’interposition de greffons osseux permettant une augmentation du volume des tissus durs, et la transposition et la fixation du plateau maxillaire dans la position définie pour optimiser la mise en place des implants et le résultat esthétique. Le montage directeur préalable indispensable permet de valider le projet au niveau de la dimension verticale et du soutien des contours cutanés. Puis différents dispositifs physiques (guides de découpe et de forage, plaques d’ostéosynthèse sur mesure, guides de forage et positionnement implantaire guidé), confectionnés sur la base de la planification numérique, permettent de réaliser l’ensemble des étapes chirurgicales avec le maximum de précision et de sécurité.
Le deuxième volet de la conférence traitait des ostéotomies segmentaires au cours desquelles un segment d’os alvéolaire (avec ou sans les dents) est déplacé. Cette technique chirurgicale consistant à libérer un segment plus ou moins étendu du prémaxillaire assure la reconstitution du capital squelettique dans le sens vertical et sagittal respectivement à l’aide des greffes simultanées d’interposition et d’apposition.
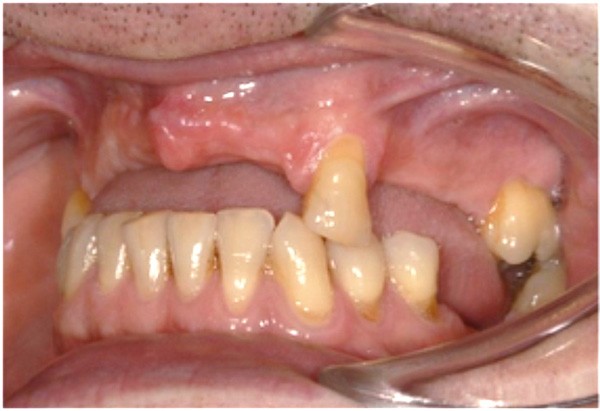
Cette partie de la présentation ne se contentait pas de rapporter les principes précédemment décrits à des régions limitées des maxillaires mais étendait la discussion à la difficulté majeure rencontrée en implantologie : rattraper des erreurs de positionnement implantaire ayant entraîné des compromis prothétiques inesthétiques. La solution thérapeutique mise en œuvre par Benoît Philippe consiste à appliquer la procédure d’ostéotomie segmentaire à l’entité constituée par l’os alvéolaire péri-implantaire et les implants. Les couronnes implantaires sont déposées. Le tracé d’ostéotomie encadre le segment à repositionner mais n’implique pas la corticale palatine qui sera fracturée pour éviter toute lésion du périoste (nourricier du segment alvéolo-implantaire). Un dispositif prothétique préparé en amont guide la translation du fragment qui est fixé au moyen de plaque d’ostéosynthèse dans la situation idéale. Le capital squelettique est reconstruit et l’espace prothétique disponible est normalisé.
Au cours de la conférence, Benoît Philippe a énoncé ses convictions concernant les conditions de succès du traitement implanto- prothétique : le respect d’une biomécanique implantaire équilibrée, le recours à des implants plus fins et moins nombreux que ne l’imposaient les préconisations d’autrefois, l’observation du biotype parodontal plus ou moins favorable aux reconstructions des atrophies étendues, la nécessité de restaurer au préalable puis de maintenir un environnement parodontal satisfaisant (en particulier la gencive attachée péri-implantaire).
Le choix des sites de prélèvements osseux répond aussi à une stratégie précise qui tient compte de la région receveuse impliquée (maxillaire postérieur, prémaxillaire…), du comportement du prélèvement lui-même au cours de la cicatrisation osseuse, du volume de l’atrophie à traiter, et de l’indication posée (apposition, interposition, ou comblement). À contre-courant des idées reçues, l’intervenant a réhabilité le prélèvement d’os iliaque, souvent présenté comme un matériel osseux autologue fortement résorbable du fait de son origine embryologique enchondrale, et qu’il estime « exceptionnel » – fort d’une expérience étendue et exprimée dans ses publications – à condition de le réserver à des augmentations « en univers protégé » (en interposition de type Lefort ou dans les vastes comblements sinusiens). En interposition, les greffons crâniens ont tendance à créer des séquestres osseux.
Benoît Philippe a conclu sa présentation en insistant sur la nécessaire prudence à adopter avant de s’engager dans ce type de prise en charge. Malgré les avancées technologiques indéniables désormais à la disposition des équipes de soins, des résultats décevants ou des complications sont toujours possibles appuyant la nécessité d’une information préalable renforcée.
Emmanuel Gouët et Hadi Antoun
Membres du bureau du CFLIP
Les deux prochaines soirées scientifiques du CFLIP se dérouleront à Paris, à l’Hôtel Napoléon
• Mercredi 12 octobre, soirée des Membres
• Mercredi 14 décembre, Docteur Isabelle Juzanx : « L’orthodontie, un outil dans la prise en charge des maladies parodontales »
Renseignements : http://cflip.fr
![]()
La procédure chirurgicale du cas est à visionner sur : www.idweblogs.com





Commentaires