Le cas présenté ici a été traité en orthodontie linguale. Il montre la nécessité d’interventions pluridisciplinaires préméditées afin d’obtenir un résultat esthétique et fonctionnel satisfaisant.
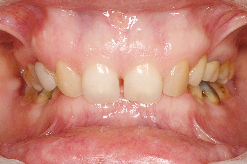
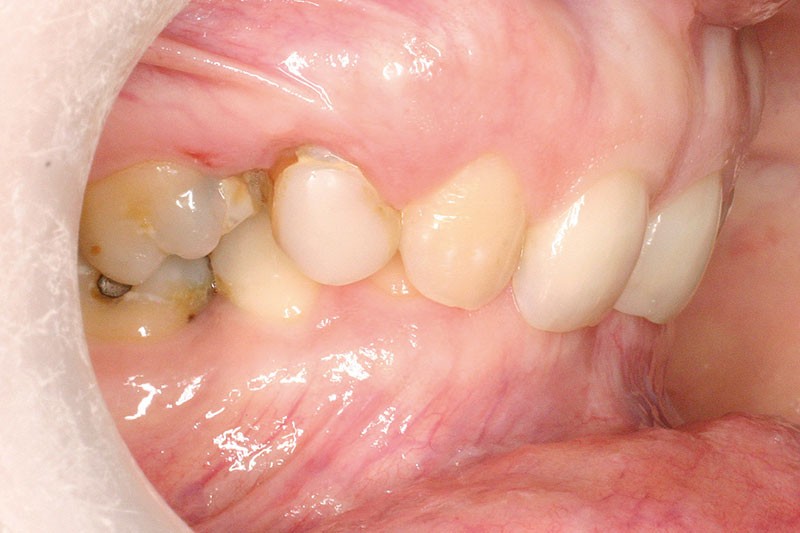
La patiente, âgée de 30 ans, présente des agénésies multiples : 12, 22, 14, 15, 24, 25, 35 et 45 (fig. 1 à 3).
Diagnostic
Malocclusion de classe II par rétrognathie mandibulaire dans un schéma squelettique hypodivergent (fig. 4 à 6).
On note une forte supraclusion incisive (fig. 7 à 9).
Un traitement orthodontique a déjà été effectué pendant son adolescence avec un choix de fermeture d’espaces qui a entraîné une linguoversion incisive maxillaire excessive (fig. 10), avec un préjudice esthétique important notamment sur le sourire (fig. 11 à 13).
Thérapeutique
Le plan de traitement prévu est donc la réouverture des espaces pour une solution prothétique implantoportée. La classe II sera corrigée par une chirurgie d’avancée mandibulaire.
Un set-up est réalisé, il permettra de valider le plan de traitement avec les différents intervenants (fig. 14, 15).
La pose d’un appareillage lingual au maxillaire dans un tel cas de supraclusion va entraîner une forte désocclusion postérieure, les incisives mandibulaires entrent en contact avec les brackets linguaux maxillaires, ce qui va favoriser la correction de la supra-alvéolie incisive (fig. 16 à 18).
Le mouvement d’ouverture va dans le…

















