Grand Prix l’orthodontiste – Orthoplus
Premier lauréat
Catégorie enfants/adolescents de moins de 16 ans
Marie Lailheugue, Spécialiste qualifiée en orthopédie dento-faciale, la verpillière
Présentation du cas
La patiente âgée de 14 ans et 6 mois le jour du bilan se présente en consultation pour une gêne esthétique au niveau de ses dents maxillaires : « trop en avant et avec des espaces ».
Les examens cliniques et radiologiques ont mis en évidence l’inclusion de 13 et 23, une légère classe II bilatérale par perte d’ancrage, un biotype parodontal de type IV de Maynard et Wilson avec une insertion du frein mandibulaire antérieur papillaire, une biproalvéolie et une typologie hypodivergente. La réalisation d’un examen tridimensionnel a permis de confirmer la localisation palatine de 23 et vestibulaire de 13 ainsi que de visualiser l’étendue des résorptions radiculaires touchant 12, 21 et 22 (fig. 1a-i).
Objectif
Nos objectifs de traitement sont la mise en place des deux canines incluses tout en contrôlant les résorptions radiculaires présentes ainsi que le traitement de la biproalvéolie avec amélioration de l’environnement parodontal mandibulaire.
Phases thérapeutiques
Le plan de traitement choisi comprend les extractions de 63, 12, 22, 34 et 44. Ce choix s’est porté d’une part sur le fait de la présence de résorptions très avancées de 12 et 22 et d’autre part sur la correction de la biproalvéolie facilitée par l’extraction de 34 et 44 qui ont par ailleurs un diamètre légèrement inférieur à 35 et 45.
Un appareil multi-attaches .022 x .028 (prescription de Roth) est posé sur toute l’arcade mandibulaire et sur les secteurs postérieurs maxillaires (17 à 14 et 27 à 24) afin d’éviter au maximum la sollicitation de 11 et 21 et donc de limiter les résorptions radiculaires.
Les extractions de 12, 22, 63, 34 et 44 ont été réalisées dans un premier temps. Un cache esthétique en résine composite a été élaboré à partir d’une clé en silicone obtenue sur les empreintes initiales et collé sur 11 et 21 afin de limiter l’impact psychologique de telles extractions (fig. 2a-b).
La désinclusion des canines a été réalisée dans un deuxième temps opératoire après trois semaines de cicatrisation muqueuse afin d’avoir une quantité de gencive attachée suffisante lors de la réalisation des lambeaux. Un lambeau déplacé apicalement a été réalisé pour désinclure la 13, avec une direction de traction distale sur une potence soudée sur le sectionnel activée après trois semaines de cicatrisation (fig. 3). Un lambeau muco-périosté repositionné a été réalisé pour désinclure la 23 qui a été immédiatement mise en charge par traction distale sur un bouton palatin collé sur 25. Un approfondissement vestibulaire mandibulaire antérieur a ensuite été réalisé.
La traction des canines incluses s’est faite sur des sectionnels postérieurs en TMA .017 x .025 de type Ballista (fig. 4a,b). Un décapuchonnage de la 23 a dû être réalisé pour lui permettre de transpercer la muqueuse palatine. Des cales occlusales ont été ajoutées pour assurer le passage de la canine de la situation palatine à vestibulaire. Un contrôle radiologique a permis de suivre la traction. Parallèlement, la fermeture des espaces mandibulaires s’est faite par perte d’ancrage postérieure et par redressement antérieur grâce à des chaînettes élastomériques.
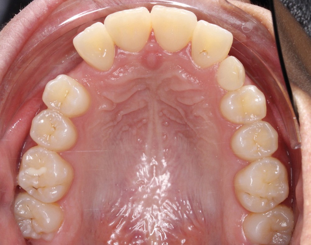
Les caches esthétiques ont été progressivement diminués jusqu’à leur suppression complète. Une fois l’alignement des canines obtenu, la prise en charge de 11 et 21 sur un NiTi .014 a débuté. Des forces très douces avec un contrôle radiologique tous les trois mois ont ensuite permis l’alignement et la fermeture des derniers espaces maxillaires. Une coronoplastie soustractive de 13 et 23 a été réalisée pour les transformer en 12 et 22. La vitalité de 11 et 21 a été conservée. En contention, deux fils collés ont été mis en place (13-23 et 33-43) ainsi qu’une gouttière thermoformée maxillaire amovible à port nocturne. Le traitement a duré vingt-neuf mois (fig. 5a-f).
Discussion
La décision d’extraire des incisives latérales maxillaires doit être mûrement réfléchie et expliquée clairement au patient ; des échecs dans la mise en place des canines incluses pouvant survenir [1]. D’après Kau, la mise en place de 13 et de 23 était dans ce cas difficile avec des scores respectifs de 15 et 18 [2]. Une décharge ainsi qu’un consentement éclairé spécifique ont donc été signés par les parents avant le début du traitement.
Les résorptions radiculaires des dents adjacentes aux canines maxillaires incluses sont en effet fréquentes avec un risque plus important chez les femmes. La localisation sagittale de la canine incluse constitue un facteur de risque dans la présence de résorptions radiculaires [3]. Le recours aux examens tridimensionnels est donc indispensable dans le traitement de ces cas.
Conclusion
Le traitement a permis d’améliorer l’environnement parodontal et de mettre en place les canines incluses tout en préservant au maximum les incisives centrales déjà résorbées et en assurant un résultat esthétique pour la patiente.
L’auteur remercie le Dr B. Fitouchi pour les différentes phases chirurgicales et le Dr C. Pernier pour l’encadrement dans la gestion de ce cas.




















Commentaires