400 000 c’est le nombre de séquences d’avulsions de « dents de sagesse » (3es molaires) pratiquées en France en 2013 [1]. En plus de présenter un risque non négligeable (7 à 10 %) [2] de complications (le plus souvent infectieuses, mais parfois de fractures, paresthésie…) et un coût élevé, ces interventions peuvent priver le patient d’un plan B en cas de perte de molaires.
Or, ces pertes molaires concernent en premier lieu les premières molaires [3, 4, 5]. De nos jours, une prévalence élevée de MIH est rapportée : presque 1 patient sur 5 [6]. À l’heure de la street food, d’autres pathologies, et notamment la pathologie carieuse, entraînent l’avulsion ou le délabrement sévère des premières molaires, conduisant aux mêmes conséquences. Certaines restaurations importantes, ou avulsions constatées chez les adultes quadragénaires et plus, pourraient avoir été causées par des MIH passées inaperçues en leur temps.
Transplantation
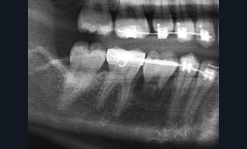
Véritable marronnier de l’orthodontie, la transplantation est proposée depuis longtemps mais ne s’est pas vulgarisée. Pourtant, les cas cliniques proposés sont encourageants. En effet, le taux de réussite pour les dents immatures est élevé : 97 % à 5 ans, contre 95 % pour les implants [7, 8, 9]. Cela fait de la transplantation une alternative thérapeutique crédible à l’implant qui montre ses limites (péri-implantites…) sur le long terme. Bien sûr, la transplantation peut être suivie d’échecs : ankylose, résorption, nécrose pulpaire [9]. Néanmoins, elle permet de conserver l’os alvéolaire, parfois d’autoriser des légers mouvements dentaires orthodontiques des transplants et de conserver la proprioception. Elle peut, au pire, constituer une solution transitoire permettant d’attendre la fin du traitement orthodontique et la pose de l’implant prévu à la fin de la croissance (fig. 1).
La 3e molaire peut être utilisée en place…


