Réhabilitation esthétique et fonctionnelle d’un patient présentant une oligodontie

  • Par
  • Publié le . Paru dans L'Information Dentaire n°16 - 29 avril 2026 (page 18-22)
Information dentaire
Les patients présentant une oligodontie consultent le plus souvent avec une demande esthétique et fonctionnelle. Cette prise en charge peut paraître complexe de prime abord, mais des moyens thérapeutiques sont facilement mobilisables au cabinet.

Présentation de la situation clinique

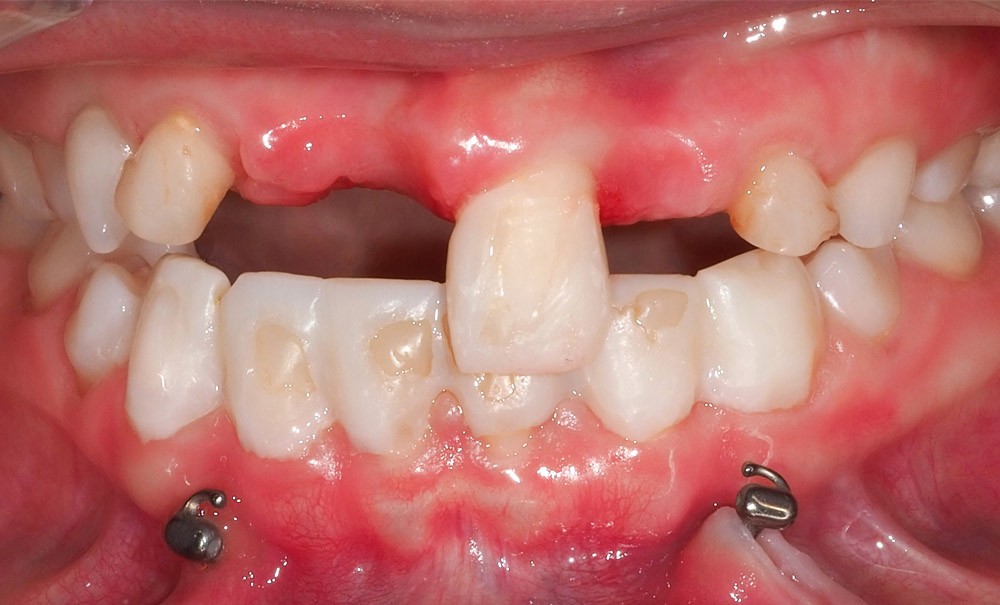
Le patient est un adolescent de 15 ans, présentant une oligodontie d’origine non syndromique [1,2]. Il est pris en charge et suivi depuis ses 8 ans par un chirurgien-dentiste et un orthodontiste. Lors de notre première consultation, les édentements maxillaires sont compensés à l’aide d’un arc transpalatin, support de 3 dents prothétiques de type « baby teeth ». Il présente également deux plaques de Bollard qui émergent au niveau de la gencive libre mandibulaire et ne sont plus utilisées depuis deux ans. Ces dispositifs orthodontiques permettent un ancrage squelettique pour les mouvements dentaires difficiles afin d’éviter de solliciter les dents. Seulement, le traitement orthodontique n’avançant plus, le praticien a préféré stabiliser la situation clinique, sans parvenir à fermer les espaces et la béance antérieure. Le motif de consultation du patient est donc multiple. Tout d’abord, il demande le retrait des plaques de Bollard à cause d’une importante gêne fonctionnelle. De plus, il souhaite restaurer l’esthétique de son sourire, notamment pour être plus à l’aise socialement.

À l’examen clinique et radiographique, nous constatons que, malgré son âge, le patient présente toujours une denture mixte. On retrouve seulement 5 dents permanentes sur l’ensemble des deux arcades. Les autres dents toujours en place dans la cavité buccale sont des dents temporaires, qui ne se sont pas exfoliées à cause de l’absence des dents successionnelles(fig. 1, 2). L’incisive centrale maxillaire permanente gauche (dent 21) présente une anomalie de forme, avec une morphologie coronaire conoïde. De plus, l’espace inter-canin maxillaire est anormalement large, laissant de l’espace pour placer six incisives. Les dents antérieures maxillaires et mandibulaires présentent des restaurations adhésives directes, dont les joints de collage sont infiltrés, afin de modifier leurs morphologies.

[gallery…

Cet article est réservé aux abonnés.
Pour lire la suite :

Vous êtes abonné.e ? Connectez-vous
Mot de passe
oublié ?

Vous pouvez également :

Acheter l'article En version numérique
Acheter le numéro À l'unité

Thèmes abordés

Sur le même sujet

Esthétique

Article réservé à nos abonnés Prise en charge de l’usure dentaire sévère

Situation initiale Un patient âgé de 85 ans, se présente pour une consultation de suivi. Il ne présente aucun antécédent...
Esthétique

Article réservé à nos abonnés Pronostic du résultat colorimétrique obtenu post-éclaircissement des dents vitales : Le Coefficient Potentiel d’Éclaircissement CPE – PARTIE 3

L’éclaircissement dentaire constitue l’un des traitements esthétiques les plus demandés en pratique clinique [1]. Cet intérêt croissant se reflète dans...
Esthétique

Article réservé à nos abonnés Éclaircissement dentaire sans empreinte. Une pratique moderne portée par l’assistant(e) dentaire

L’éclaircissement dentaire peut être réalisé à domicile (technique ambulatoire) à l’aide de gouttières porte-gel sur mesure fabriquées après prise d’empreinte...
Esthétique

Article réservé à nos abonnés Le collage des facettes : protocole et astuces

Responsable de séance : Romain Cheron Opérateur : Anthony Atlan Conférencier : Maxime Drossart Planification et préparation du cas clinique Une patiente consulte...
Esthétique

Article réservé à nos abonnés Production des aligneurs au cabinet

Le flux de production au cabinet Le flux de travail (fig. 1) commence par une empreinte optique réalisée à l’aide d’un...
Esthétique

Article réservé à nos abonnés Fermer les triangles noirs grâce à l’ODF

Le mot de la rédaction Les triangles noirs : voilà un sujet qui suscite tout notre intérêt ! En tant qu’orthodontistes, quels sont les facteurs...