Cas n° 1
Le projet thérapeutique
Il a été décidé de mettre en œuvre une thérapeutique avec brackets vestibulaires Damon afin d’optimiser l’expansion des arcades, la fermeture de la béance et la réduction du sourire gingival latéral qui perturbe l’esthétique du sourire de la patiente.
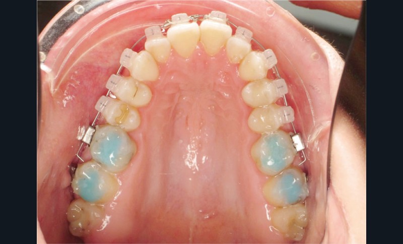
La patiente demande des attaches céramiques et nous trouvons un compromis en lui proposant un appareillage Insignia Damon Clear au maxillaire et Damon métallique à la mandibule.
L’avantage des brackets métalliques en technique Insignia est l’individualisation complète des informations des 1er, 2e et 3e ordres (torque individuel suivant set up).
Des surélévations postérieures par cales sont posées et nous avons prévu un port d’élastiques précoce 23 heures sur 24.
La séquence d’arcs et d’élastiques est la suivante :
– 0.014 cuniti standard Damon + élastiques Parrot en trapèze pendant 2 mois
– 14×25 cuniti custom suivant set up + tim moose en box pendant 2 mois
– 18×25 cuniti custom suivant set up + Moose box /arc-en-ciel pendant 2 mois
– 19×25 Tma > 16×25 tma< custom suivant set up
Le set up Insignia
Les empreintes ont été réalisées en sillcone wash technique et adressées au laboratoire Insignia. Actuellement, nous réalisons ces empreintes à l’aide de la caméra intra-orale Lythos et la fiche patient est initialement créée sur la caméra. Le transfert des empreintes au laboratoire est immédiat et le risque d’erreurs considérablement réduit (fig. 4 à 6).
6 mois plus tard
L’esthétique faciale de la patiente s’est nettement améliorée (fig. 7, 8, 9 et 10). On remarquera la réduction du sourire gingival…












