8e Grand Prix en orthodontie « Enfants/adolescents de moins de 16 ans » L’Orthodontie et Orthoplus s’associent
Premier lauréat : Hadrien Bouckenooghe
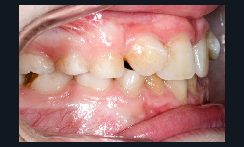
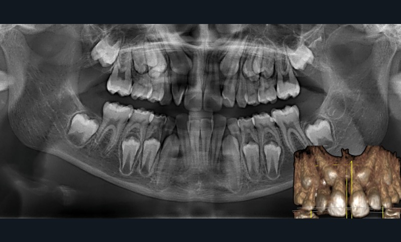
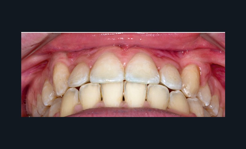
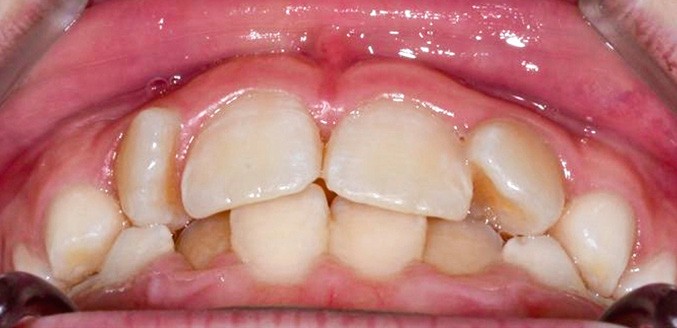
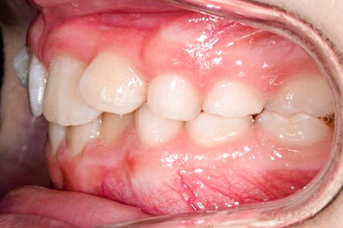
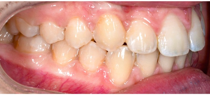
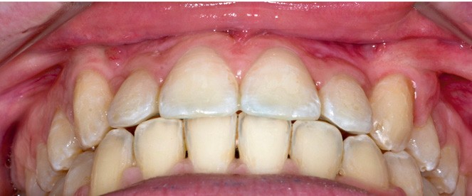
La patiente consulte à l’âge de 9 ans pour la malposition de ses incisives latérales maxillaires. Elle présente une occlusion de Classe I bilatérale sur un schéma normodivergent avec une dysharmonie dento-maxillaire en denture mixte. À l’arcade maxillaire, elle présente une endoalvéolie avec rotations mésiopalatines de 16 et 26.
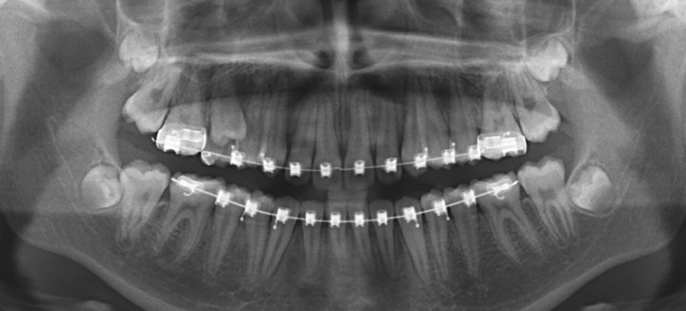
Sur la radiographie panoramique, on observe une transposition des canines maxillaires en place d’incisives latérales, au contact des racines de 11 et 21.
Objectif thérapeutique
Le traitement vise à mettre en place les canines maxillaires en Classe I sans porter atteinte à l’intégrité des incisives, tout en conservant l’occlusion de Classe I molaire et en corrigeant la dysharmonie dento-maxillaire.
Séquences cliniques
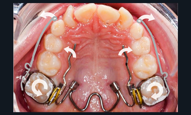
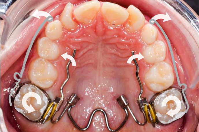
Des bagues molaires sont essayées et adaptées sur 16 et 26 et un arc transpalatin à mémoire de forme (Nitanium Palatal Expander -Ortho Organizers, USA) dont la dimension est sélectionnée à partir de la mesure de la distance inter-molaire mandibulaire est ligaturé à celles-ci hors bouche. L’ensemble est scellé avec un ciment verre-ionomère après refroidissement au spray à -45 °C de la partie en NiTi pour insertion facilitée.
Sept jours après la pose du dispositif, une intervention chirurgicale est réalisée sous anesthésie locale lors de laquelle a lieu le collage de dispositifs de traction sur 13 et 23. Les canines temporaires sont extraites dans le même temps opératoire.
Trois jours plus tard, des bras en TMA .017 x .025 habillés d’une gaine de protection avec omega au contact des tubes des premières molaires et dont l’extrémité mésiale forme une boucle sont ligaturés aux dispositifs collés de traction.
Les maillons de la chaînette du dispositif de traction sont sectionnés progressivement de manière bilatérale à chaque rendez-vous à mesure que les canines sont déplacées en direction vestibulaire et le bras TMA est systématiquement religaturé au premier maillon transmuqueux avec une ligature métallique .010. L’ensemble est sécurisé par une goutte de composite fluide photopolymérisé.
Une fois que la partie en alliage à mémoire de forme de l’arc transpalatin a retrouvé sa forme initiale, l’arc est désinséré. Les U latéraux et les lames d’insertions en acier sont réglés dans les trois sens de l’espace à l’aide d’une pince 139 pour corriger l’inclinaison mésio-distale, le torque et augmenter la dérotation de 16 et 26 pour assurer une traction supplémentaire des canines incluses en direction vestibulaire. Les bras d’expansion des secteurs latéraux de l’arc transpalatin sont également sectionnés. Les bras vestibulaires en TMA sont activés dans le sens vertical pour une traction des canines vers le plan occlusal.
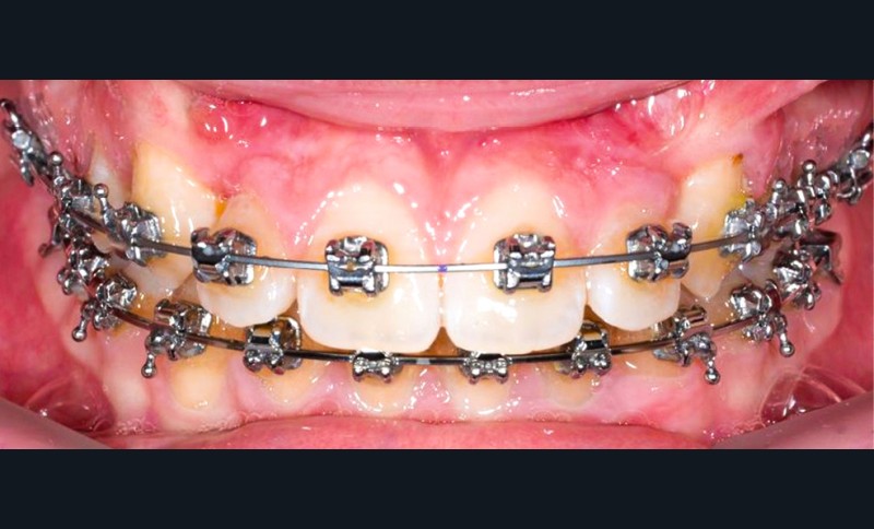
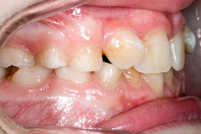
Un appareil multi-attache est mis en place avec une prescription MBT en .022 x .028. une fois les faces vestibulaires des canines maxillaires apparentes. 13 et 23 ne sont pas prises en charge dans l’arc pour éviter les effets parasites sur les dents adjacentes. Leur traction est poursuivie avec des élastiques de Classe II (1/4” – 3.5 oz) en port nocturne. Ces élastiques sont portés sur un bouton palatin pour la 23 afin de corriger sa rotation mésio-vestibulaire. Une fois les canines suffisamment proches du plan occlusal, elles sont prises en charge dans un arc continu en suivant les séquences suivantes : .014, .018 et .019 x .025 Niti. Une fois l’arc .019 x .025 en Niti en place pendant huit semaines, l’arc transpalatin est déposé. L’arcade mandibulaire suit cette même séquence d’arcs avec l’ajout d’un arc en acier .019 x .025 avec courbe de Spee inversée pour aider à la correction de la supraclusion.
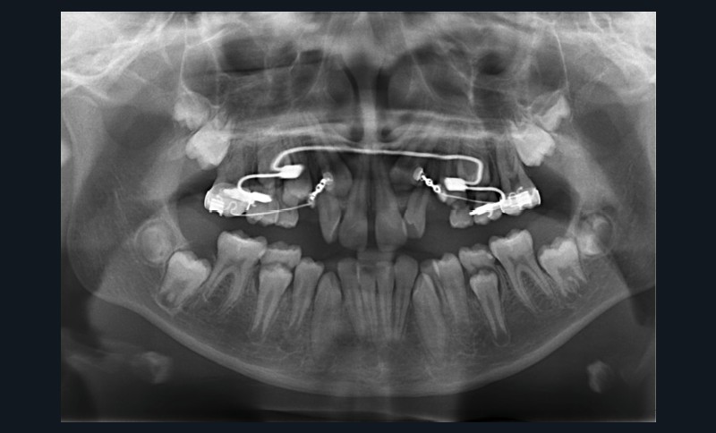
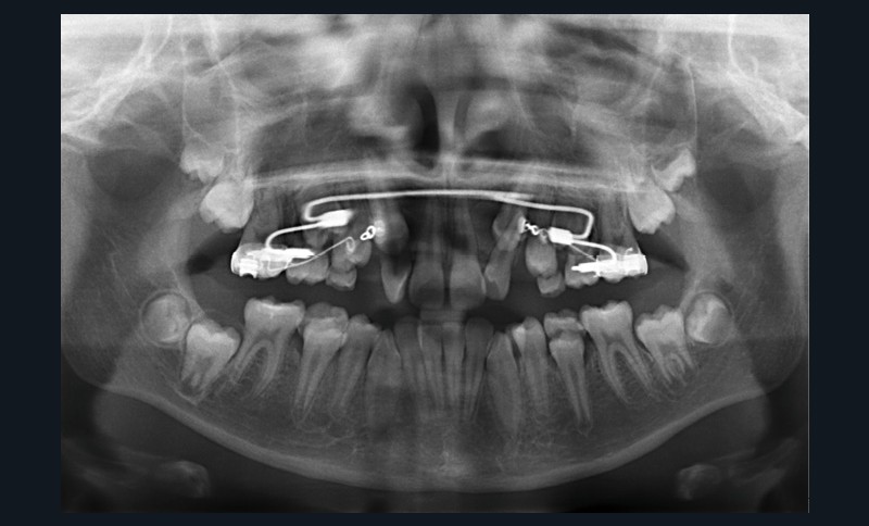
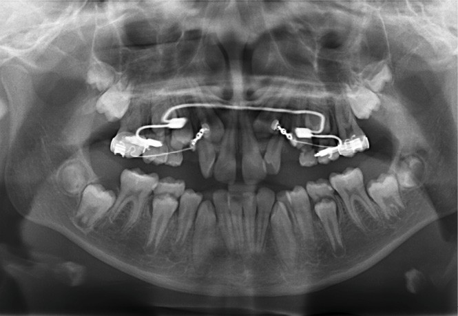
À ce stade, une radiographie panoramique est réalisée pour s’assurer de l’intégrité des racines, contrôler les axes dentaires et planifier le repositionnement de certaines attaches ainsi que le collage des tubes sur les secondes molaires en cours d’éruption.
Un arc acier .019 x .025 est inséré à l’arcade maxillaire et les finitions sont réalisées sur des arcs en TMA .017 x .025.
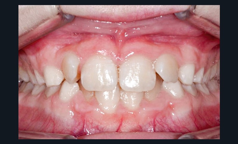
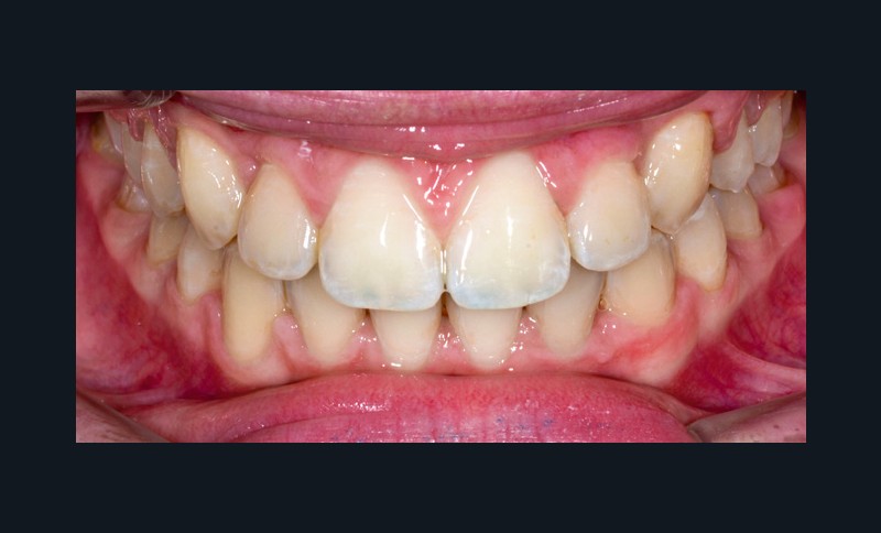
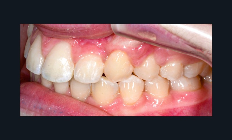
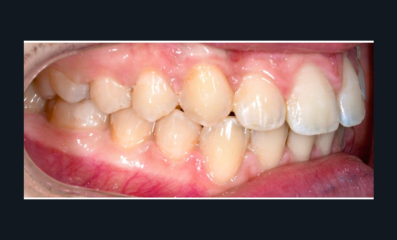
L’appareil est déposé après la mise en place de contentions collées de 12 à 22 et de 33 à 43 avec le port nocturne d’une plaque de Hawley à l’arcade maxillaire. Le temps de traitement actif a été de 41 mois.
Conclusion
Les traitements des transpositions sont souvent complexes car il y a plusieurs facteurs à prendre en compte : la morphologie dentaire, les considérations esthétiques, le stade d’édification radiculaire, la position des couronnes et des racines dans le processus alvéolaire dans les trois plans de l’espace, le temps de traitement et la motivation du patient [1]. L’utilisation d’un renfort d’ancrage transpalatin pour la correction des transpositions de canines est bien documentée dans la littérature [2], d’autant plus que chez ces jeunes patients, idéalement traités avant l’âge de 10 ans [3], la pose d’ancrages osseux en vestibulaire est contre-indiquée au vu de la présence de germes au niveau des sites d’insertions. Le choix d’un dispositif à mémoire de forme, préactivé pour délivrer des forces légères et continues (300-500 g) favorisant l’expansion transversale et la dérotation molaire simultanée sans réactivation manuelle, associé à l’utilisation de bras en TMA reliant les molaires aux canines incluses, nous a permis de profiter du moment généré par la dérotation des 16 et 26 pour emmener les canines en direction vestibulaire. Nous avons ainsi pu préserver les racines des incisives maxillaires lors de la correction des transpositions, de manière simple, contrôlée et confortable pour la patiente, tout en facilitant la phase de multi-attache qui a suivi.



















Commentaires