Responsable scientifique : Caroline Fouque
Intervenant : Massimo de Sanctis
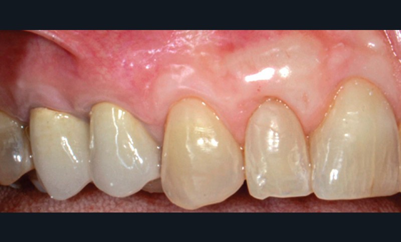
Le lambeau coronairement avancé multiple (MCAF), proposé par Zucchelli et de Sanctis (2 000), est devenu la procédure de couverture radiculaire la plus largement utilisée pour les défauts de récession multiples. Il présente une évolution technique et esthétique du lambeau d’avancée coronaire avec incision de décharge qui n’est désormais plus recommandé. Ce lambeau est défini par son tracé d’incision autour de la récession principale et par son épaisseur en partielle-totale-partielle (« Split-Full-Split »).
Le tracé d’incision papillaire, très précis, permet d’éviter les décharges. Il consiste à réaliser des incisions para-marginales obliques qui vont toutes être orientées en direction de la récession la plus sévère, ce qui permet d’obtenir un lambeau déplacé avec une légère rotation des papilles.
Le lambeau est ensuite décollé grâce à la méthode partielle-totale-partielle (« Split-Full-Split »). Les papilles chirurgicales sont décollées en épaisseur partielle afin d’obtenir un lit receveur et de stabiliser la position du lambeau au moment des sutures. Le lambeau est levé en pleine épaisseur jusqu’à la ligne de jonction muco-gingivale afin d’emporter le périoste, qui permet la vascularisation du lambeau. Enfin, dans un objectif de gain de laxité, le lambeau sera disséqué en demi-épaisseur dans la muqueuse alvéolaire. Cette dissection se fait en deux plans : un plan profond et un plan superficiel parallèle au lambeau muqueux. Le but est de permettre de repositionner le lambeau avec un minimum de tension.
Cette technique, sans greffon de conjonctif associé, permet un taux de recouvrement complet de 80 %. La préservation de l’épaisseur du lambeau et la présence du périoste semble jouer un rôle fondamental dans l’obtention du recouvrement complet.




