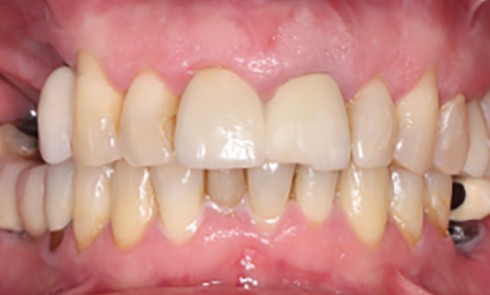
Nous présentons ici un cas typique des indications du protocole NobelGuideTM. Il s’agit d’un patient âgé, fragile avec des atteintes systémiques, qui redoute les interventions et les déplacements trop fréquents. Il apprécie particulièrement la rapidité de ce protocole et le confort d’un nombre de séances très restreint. Les résultats ont été contrôlés de manière satisfaisante à 4 ans radiographiquement et à 5 ans cliniquement.
Mise en fonction immédiate avec prothèse d’usage à la mandibule. A propos d’un cas avec 5 années de recul
- Par
- Publié le . Paru dans L'Information Dentaire (page 26-32)

Cet article est réservé aux abonnés.
Pour lire la suite :
Vous êtes abonné.e ?
Connectez-vous

Pas encore abonné.e ?
Abonnez-vous

Abonnez-vous pour recevoir la revue et bénéficier des services en ligne et des avantages abonnés.
Vous pouvez également :
Acheter l'article
En version numérique