Planification implantaire : de la conception à l’exécution

  • Par
  • Publié le . Paru dans Réalités Cliniques n°4 - 15 décembre 2021 (page 277-292)

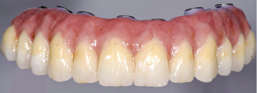
b. Même type de bridge avec fausse gencive en céramique.

Information dentaire
Planifier un plan de traitement implantaire repose sur l’analyse des données cliniques et radiologiques et devrait aboutir à une solution prothétique répondant aux exigences esthétiques et fonctionnelles du patient. Les moyens technologiques de diagnostic, d’analyse et d’application clinique donnent une autre dimension à la planification et au traitement implantaires mais restent néanmoins des outils pilotés par le rationnel propre à chaque utilisateur, résultat de son expérience et de ses connaissances. La visualisation d’un projet prothétique issu de l’analyse du sourire et du visage et son rapprochement avec le volume osseux existant et les matériaux cosmétiques à notre disposition sont les prérequis pour toute conception implanto-prothétique réussie. Dans un deuxième temps vient l’application clinique, qui va concrétiser le plus fidèlement possible un projet virtuel.

Réhabiliter le patient édenté complet ou celui qui va le devenir par une prothèse implanto-portée nécessite, en premier, la mise en place d’un plan de traitement bien défini en amont et, en deuxième, l’exécution efficace et fiable de ce traitement. Ainsi, la prévisibilité du résultat final est assurée. Le plan de traitement découle d’une analyse précise de multiples paramètres : médicaux, prothétiques et chirurgicaux. En plus de la demande fonctionnelle, l’exigence esthétique du patient, la ligne de sourire, le type de cosmétique sont des éléments prothétiques qu’on devrait rapprocher des éléments chirurgicaux comme la résorption osseuse, le volume osseux disponible, le nombre d’implants nécessaire et leur répartition.

Quant au volet exécutif, la planification numérique est traduite cliniquement grâce à la chirurgie guidée statique ou à la navigation dynamique. La conception numérique à partir de laquelle un guide chirurgical de précision, et même un bridge provisoire à rebaser, pourront être élaborés est un moyen technique qui augmente la précision des gestes et la fiabilité de l’application clinique du plan de traitement étudié.

Le projet prothétique

La première étape du plan de traitement implanto-prothétique chez l’édenté ou le futur édenté complet est la définition d’un projet prothétique. L’analyse des différents paramètres cliniques, détaillés ci-après, permet de définir les caractéristiques de la réhabilitation prothétique (vissée, scellée, fausse gencive, nombre de dents, partie cosmétique en céramique ou en résine, nature de l’infrastructure…). Le nombre, la distribution et la position des implants répondront par la suite aux exigences du projet prothétique.

Les bridges complets scellés sont de moins en moins adoptés car l’absence d’alignement entre l’axe implantaire et le projet prothétique est désormais résolue par l’utilisation de piliers angulés…

Cet article est réservé aux abonnés.
Pour lire la suite :

Vous êtes abonné.e ? Connectez-vous
Mot de passe
oublié ?

Vous pouvez également :

Acheter l'article En version numérique
Acheter le numéro À l'unité

Thèmes abordés

Sur le même sujet

Implantologie

Article réservé à nos abonnés Gestion du nerf incisif lors de la pose de deux implants symphysaires : cas clinique

La zone inter-foraminale est traditionnellement considérée comme anatomiquement sûre, car éloignée du trajet principal du nerf alvéolaire inférieur. De nombreuses...
Implantologie

Article réservé à nos abonnés Rencontre avec Marwan Daas
Couronnes sur implants : les secrets de la réussite

Responsable de séance : Edouard Cristofari Intervenant : Marwan Daas Analyse esthétique L’observation clinique et esthétique constitue le point de départ incontournable....
Implantologie chirurgicale

Article réservé à nos abonnés Rencontre avec Pierre Keller :
gestion des tissus mous péri-implantaires

Responsable de séance : Franck Afota Extraction–implantation immédiate (EII) : volumes osseux et gingivaux suffisants Lorsque les volumes osseux et gingivaux sont...
Implantologie Implantologie chirurgicale

Article réservé à nos abonnés Gestion d’un défaut de cicatrisation du plancher sinusien à l’aide d’une membrane en magnésium : rapport de cas

L’élévation sinusienne par voie latérale est une technique fréquemment utilisée en implantologie pour compenser une perte osseuse verticale au niveau...
Implantologie chirurgicale

Article réservé à nos abonnés De l’hypersensibilité à la stabilité : une situation mucogingivale

Cas clinique Une patiente âgée de 34 ans, ne présentant aucune pathologie systémique connue et sans antécédents de tabagisme, consulte...
Implantologie chirurgicale

Article réservé à nos abonnés Récessions, hypersensibilité dentinaire et impact sur la qualité de vie

Cas clinique Une patiente vient consulter en raison de douleurs dentaires diffuses qui s’intensifient au brossage. Gênée par des récessions...