Le patient se plaint d’un sommeil difficile et de fatigue diurne en sachant qu’il y a des antécédents de narcolepsie dans sa famille.
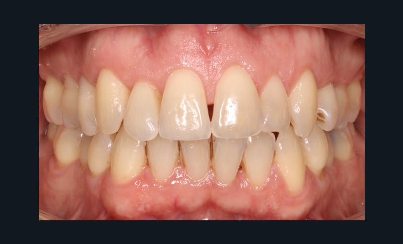
L’examen clinique (fig.1a-h) révèle une micromandibulie majeure et un antécédent de traitement orthodontique avec extractions de 14 et 24 et classe II thérapeutique qui a récidivé. Aujourd’hui, le patient est en hyper classe II molaire et en classe II canine.
Début de traitement
La radiographie panoramique (fig. 1i) faite en amont de l’examen clinique montre des condyles remaniés, et, de façon incompréhensible, les extractions de 18, 28,38 et 48 qui ont été pratiquées alors que 18 et 28 avaient tout à fait la place de rester sur l’arcade au vu des extractions de 14 et 24 réalisées lors du premier traitement.
La céphalométrie (fig. 1j) révèle un couloir aérien très étroit, une classe II très sévère par rétromandibulie avec une typologie hyperdivergente majeure et des compensations incisives de la classe II par rétroalvéolie de l’incisive maxillaire et proalvéolie de l’incisive mandibulaire.
Vu la symptomatologie ventilatoire, une polysomnographie (fig. 1k) est prescrite. Elle révèle un IAH moyen à 15,2 avec une apnée la plus longue tout de même à 83 secondes, une SpO2 de 93,8 %, donc paranormale, et un pouls nocturne qui oscillait de à 43 à 102 BPM, ce qui peut sembler un peu élevé pour un sportif de ce niveau.
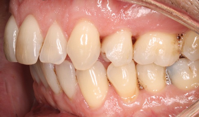
Le traitement proposé est une décompensation maximale de la classe II par vestibuloversion de l’incisive maxillaire et redressement de l’incisive mandibulaire avant une chirurgie orthognathique.
Le patient a été traité en technique vestibulaire d’arc droit .022x.028 avec transitoirement des ancrages osseux mandibulaires et une mécanique de classe III (fig. 2). Il a ensuite bénéficié d’une chirurgie…











