Camille âgée de 12 ans et 7 mois se présente à la consultation adressée par son chirurgien-dentiste.
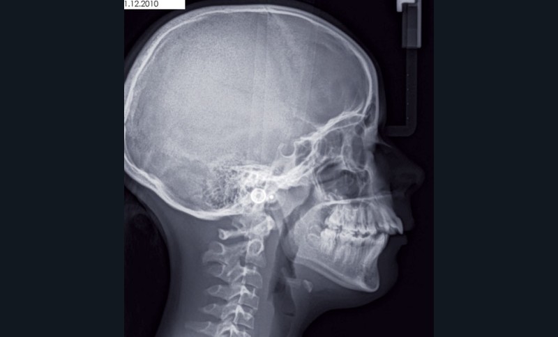
Son profil convexe s’inscrit dans un contexte de rétrognathie hyperdivergente associée à une proalvéolie et un encombrement maxillo-mandibulaire.
Objectifs de traitement
• Obtenir des rapports squelettiques de classe I par réponse de croissance mandibulaire.
• Résoudre l’encombrement intra-arcade par extractions dentaires.
• Obtenir un guide antérieur fonctionnel par idéalisation des rapports incisifs.
Plan de traitement
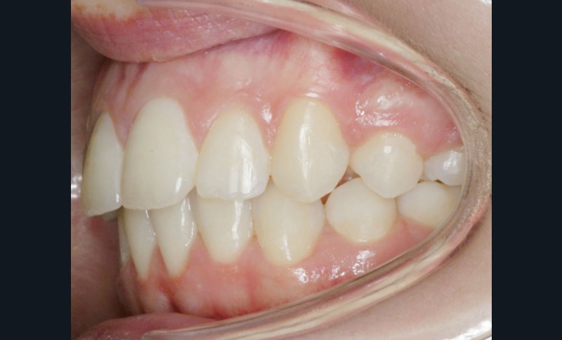
Le site des extractions s’est porté sur les secondes prémolaires. La justification de ces extractions passent par la résolution de l’encombrement sans effondrer le prémaxillaire.
La résolution de la classe II squelettique n’est aucunement recherchée au travers des extractions mais par une mécanique interarcade.
Ce cas a été conjointement suivi par les Drs Le Gall, Bachet et Dameron.
[gallery link= »file » columns= »1″…












































