8e Grand Prix en orthodontie « Catégorie adultes » L’Orthodontie et Orthoplus s’associent
Deuxième lauréat : Agathe Denis, Laurent Detzen, Marjolaine Gosset, Gauthier Dot
La prise en charge orthodontique des patients présentant un terrain parodontal réduit est un défi clinique, notamment lorsque la maladie parodontale a entraîné des migrations secondaires perturbant les rapports occlusaux et l’esthétique du sourire. Une fois la santé parodontale rétablie, le support osseux diminué implique des considérations biomécaniques, à la fois en termes d’ancrage et de mise en place des forces orthodontiques. L’approche orthodontique doit alors être rigoureusement adaptée à chaque patient, intégrant une collaboration étroite avec le parodontiste tout au long du traitement et pendant la phase de contention, afin d’assurer la stabilité des résultats tout en préservant la santé parodontale [1, 2].
Présentation du cas
La patiente est une femme de 49 ans, gênée fonctionnellement et esthétiquement par les diastèmes présents dans la région incisivo-canine maxillaire. Elle ne rapporte ni consommation tabagique ni diabète (facteurs de risques des maladies parodontales). Elle note l’augmentation des diastèmes dans les dernières années, en concomitance avec l’apparition d’une maladie parodontale pour laquelle elle est suivie régulièrement (service d’odontologie, Hôpital Rothschild, AP-HP, Paris). Dans le cadre de sa maladie parodontale, deux lambeaux d’assainissement ont été réalisés (secteurs 1 et 2), ainsi qu’une tunnelisation au niveau de la 46. Au moment de la consultation, le parodontiste nous confirme pouvoir débuter un traitement d’orthodontie.
Diagnostic
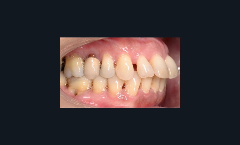
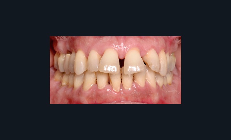
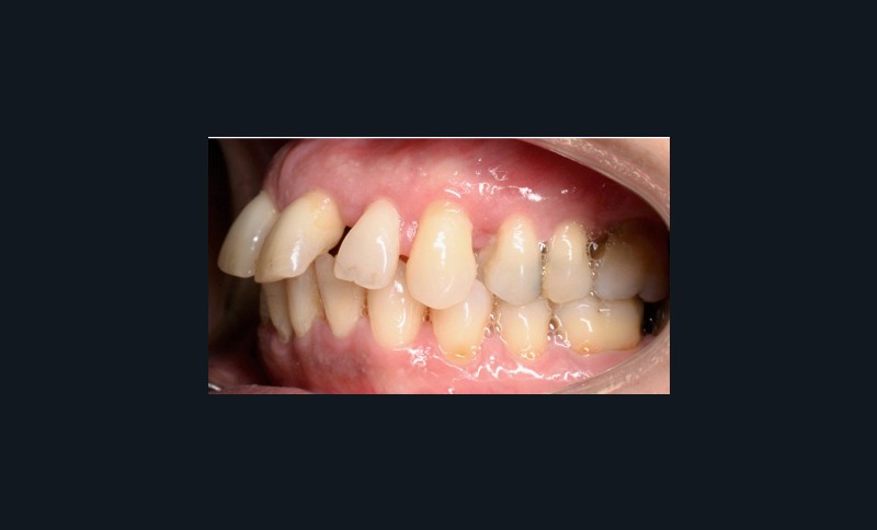
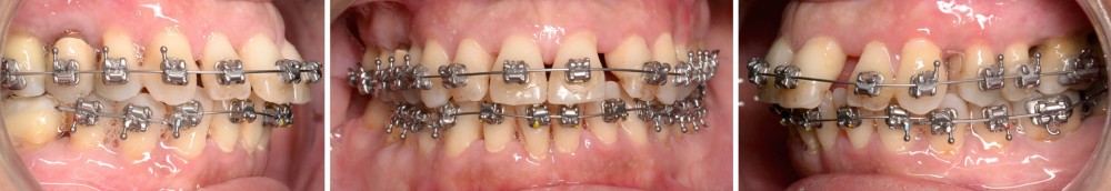
À l’examen exo-buccal (fig. 1), la patiente présente un visage ovalaire, un profil général convexe avec un angle naso-labial droit. Le sourire est disharmonieux du fait des diastèmes et de la version des incisives maxillaires. D’un point de vue fonctionnel, elle présente une déglutition atypique pour laquelle elle est en cours de rééducation.
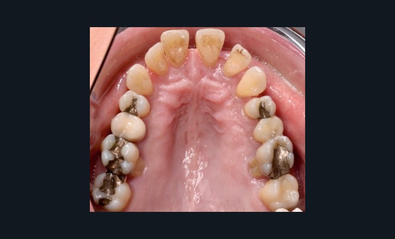
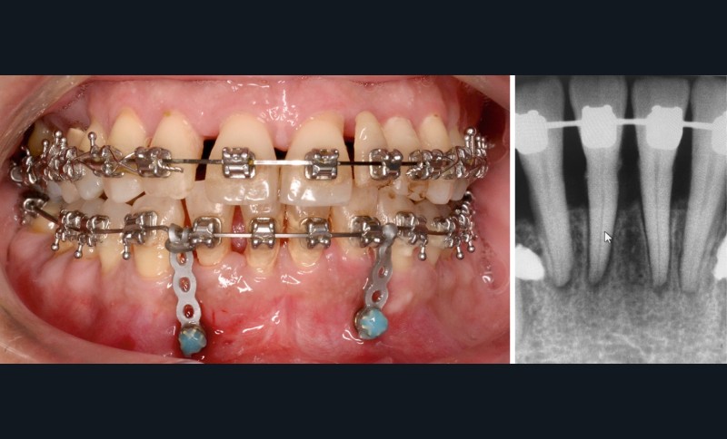
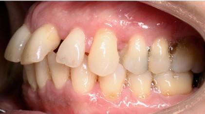
À l’examen endo-buccal (fig. 2), on note une formule dentaire complète (absence des 8) avec présence de restaurations multiples étanches, un bon contrôle de plaque et une parodontite de stade 4 grade C stabilisée [3], des récessions gingivales et des mobilités dentaires généralisées (degré 2, classification de Miller). L’arcade mandibulaire présente une courbe de spee importante avec égression du bloc incisivo-canin. Les milieux inter-incisifs sont alignés, le recouvrement est normal, le surplomb est augmenté à 3 mm et associé à des diastèmes et de la vestibulo-version des incisives maxillaires. Les relations antéro-postérieures canine et molaire sont en Classe I d’Angle.
L’analyse des moulages indique une dysharmonie dento-dentaire (indice de Bolton) par excès mandibulaire antérieur (0,7 mm).
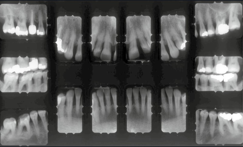
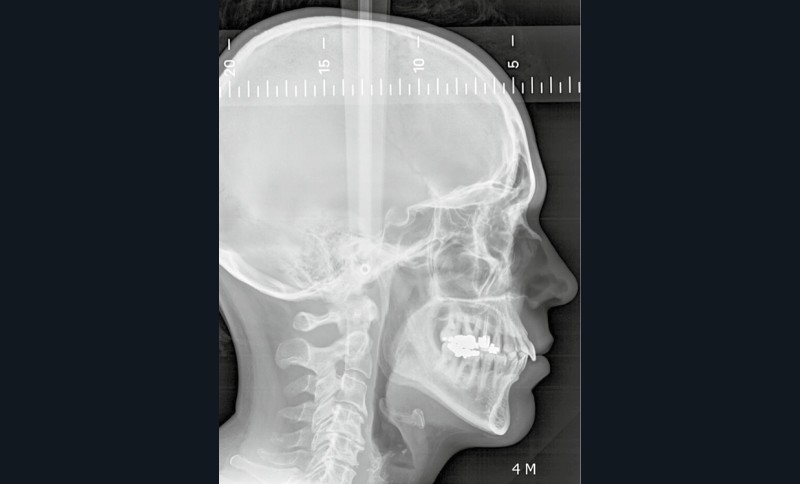
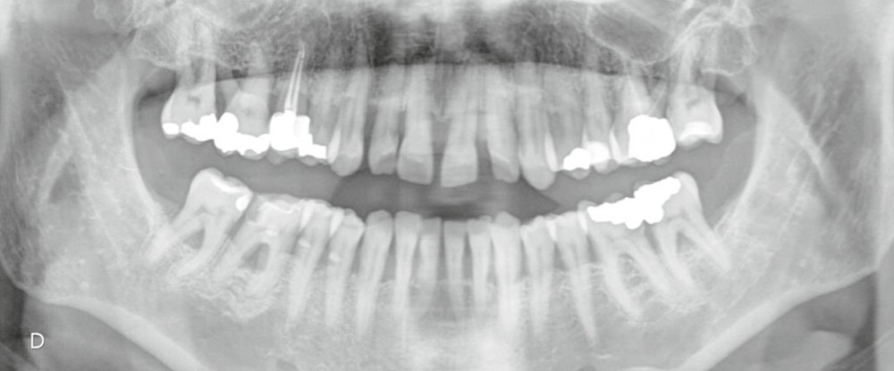
L’examen radiographique (fig. 3-5) nous indique une Classe I squelettique de Ballard (ANB 0°) sur un schéma facial à tendance hyperdivergent (FMA 28°). L’analyse céphalométrique confirme la vestibulo-version incisive (I/SN 111° ; IMPA 94°). La lyse osseuse est généralisée.
Objectif thérapeutique
Le traitement orthodontique vise à fermer les diastèmes et à rétablir un surplomb normal en corrigeant la vestibulo-version incisive, tout en maintenant les rapports de Classe I d’Angle canine et molaire. L’objectif est de rétablir un schéma occluso-fonctionnel correct, facilitant la mise en place d’une contention collée et améliorant le pronostic de la maladie parodontale à long terme [1, 2]. Le traitement est réalisé en concomitance avec une maintenance parodontale régulière (tous les 1 à 3 mois).
Séquences cliniques
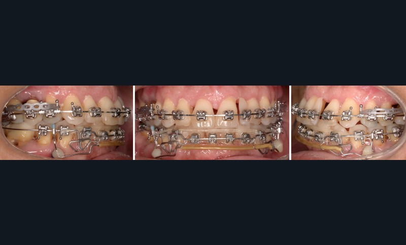
Le traitement d’orthodontie est réalisé en technique multi-attache vestibulaire (TGO, GC Corporation, Tokyo, Japon). La dent 46 n’est pas prise en charge dans l’appareillage, étant donné son faible ancrage et son pronostic réservé. L’alignement initial est effectué sur un arc Niti .016 au maxillaire et en trois segments à la mandibule (Niti .018x.025 en postérieur et Niti .016 de 33 à 43) (fig. 6).
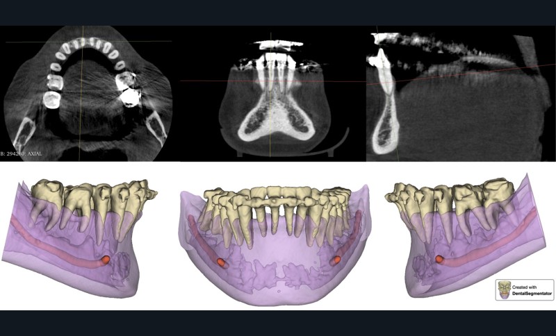
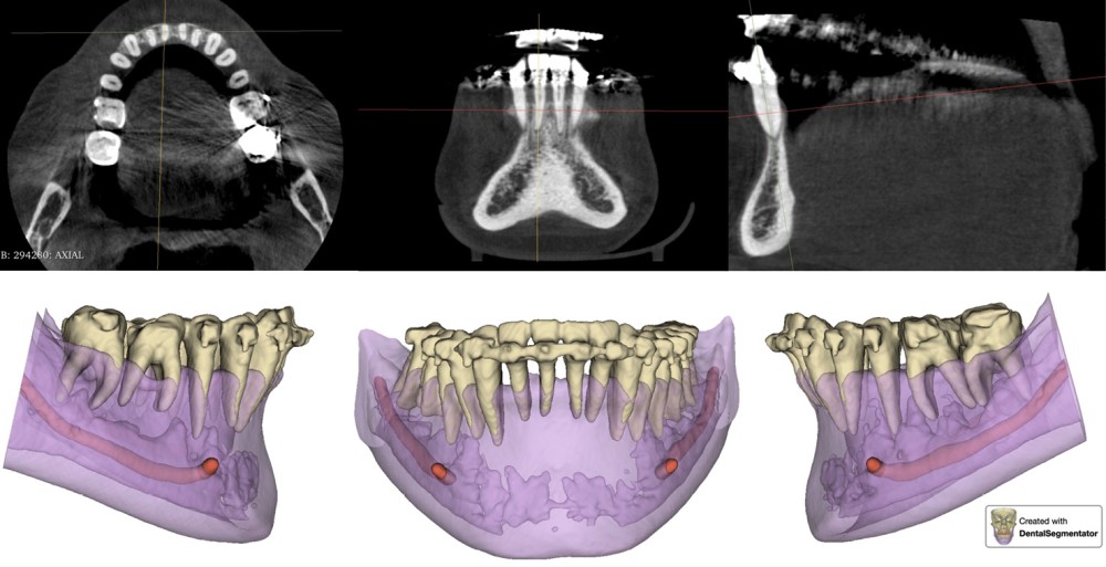
En raison de l’ancrage dentaire postérieur mandibulaire très limité, il est décidé d’utiliser des ancrages osseux pour l’ingression du bloc incisivo-canin mandibulaire, afin de niveler l’arcade et de recréer le surplomb nécessaire à la fermeture des diastèmes maxillaires. Deux minivis d’ancrage sont positionnées entre les dents 32/33 et 42/43, après réalisation d’un examen CBCT localisé sur l’arcade mandibulaire (fig. 7 et 8). Ces minivis antérieures ont été rapidement déposées, en raison de leur mobilité et de la gêne importante de la patiente liée au positionnement très apical du fait de l’alvéolyse.
Des minivis d’ancrage sont alors positionnées entre les dents 34/35 et 44/45 (fig. 9). Un sectionnel d’ingression antérieur (acier .018x.025) est fixé sur celles-ci, tout en passant par des tubes en croix situés entre les prémolaires afin d’éviter le dévissage des minivis. L’ingression est réalisée via des ligatures reliant l’arc orthodontique principal (TMA .018x.025 avec boucles double-delta) au sectionnel, selon une direction permettant l’ingression tout en limitant la composante de vestibulo-version. Du stripping mandibulaire a été réalisé de mésial de 33 à mésial de 43 afin de corriger l’indice de Bolton.
Une fois le surplomb augmenté, la fermeture maxillaire a été réalisée par une technique de glissement sur un arc acier .020x.025 à bouts arrondis.
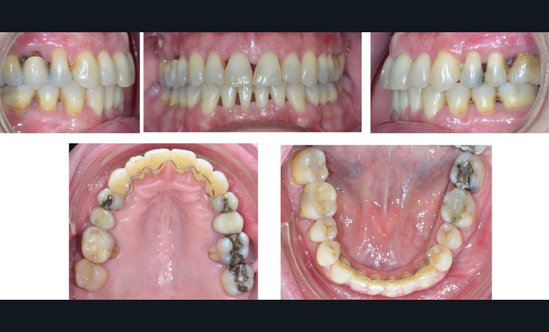
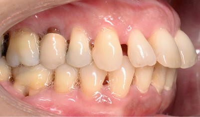
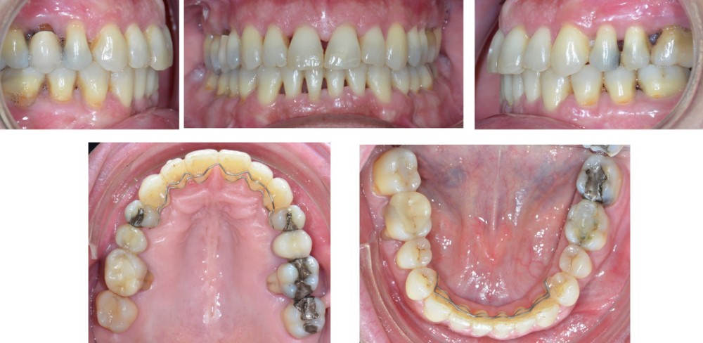
Les objectifs sont atteints en 30 mois, la patiente est très satisfaite d’un point de vue fonctionnel et esthétique (fig. 10-13). La fonction linguale est rééduquée et la patiente continue sa maintenance parodontale régulière.
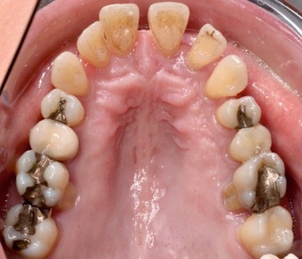
La contention collée de fin de traitement a consisté en plusieurs fils TMA .016 étendus jusqu’aux premières prémolaires, afin de limiter la mobilité des dents antérieures et empêcher la réouverture des diastèmes. Ces fils ont été modélisés numériquement et pliés par robot (société Winnove Medical, Rennes, France), permettant de s’assurer de l’absence de visibilité des fils dans les espaces inter-dentaires et limiter les prématurités occlusales (fig. 14). Des gouttières de contention thermoformées sont réalisées en cas de casse ou décollement des fils, afin de prévenir une éventuelle réouverture des diastèmes.
Discussion
La durée de traitement a été longue et peut en partie être expliquée par la perte des premières minivis ayant entraîné une temporisation de 4 mois pour permettre la cicatrisation osseuse et l’acceptation par la patiente d’une nouvelle pose de minivis. La fermeture des diastèmes maxillaires ne pouvait être entreprise que dans un deuxième temps, car elle nécessitait d’abord l’ingression des incisives mandibulaires afin de retrouver du surplomb. Une suspension temporaire des déplacements maxillaires a aussi été réalisée pendant quelques mois à la suite de la réapparition de poches au niveau des molaires maxillaires.
Conclusion
La prise en charge orthodontique d’un patient présentant un terrain parodontal réduit, comme dans le cas présenté, requiert une approche thérapeutique individualisée, prudente et pluridisciplinaire. Dans ce contexte, le recours à des dispositifs spécifiques comme les minivis d’ancrage et des séquences de traitement adaptées a permis de répondre aux objectifs fonctionnels et esthétiques, tout en respectant les contraintes biologiques imposées par le faible niveau osseux. Le maintien du résultat repose désormais sur le suivi de la contention et une surveillance parodontale rigoureuse.


















Commentaires