8e Grand Prix en orthodontie « Catégorie adultes » L’Orthodontie et Orthoplus s’associent
Troisième lauréat : Julien Arnal, Philippe Tuil
Les orthodontistes ont aujourd’hui de très nombreux outils à leur disposition. Ces derniers individuellement ne peuvent pas tout traiter, mais sont fortement indiqués dans certaines situations cliniques. L’association de ces dispositifs peut permettre de proposer de nouvelles solutions thérapeutiques et même traiter des situations qui paraissaient très complexes.
Pour illustrer ceci, cet article présente un cas qui a bénéficié d’un traitement en trois temps. Chaque étape avait pour but de corriger un trouble spécifique en utilisant les qualités d’un dispositif orthodontique.
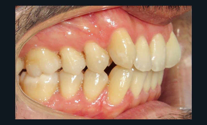
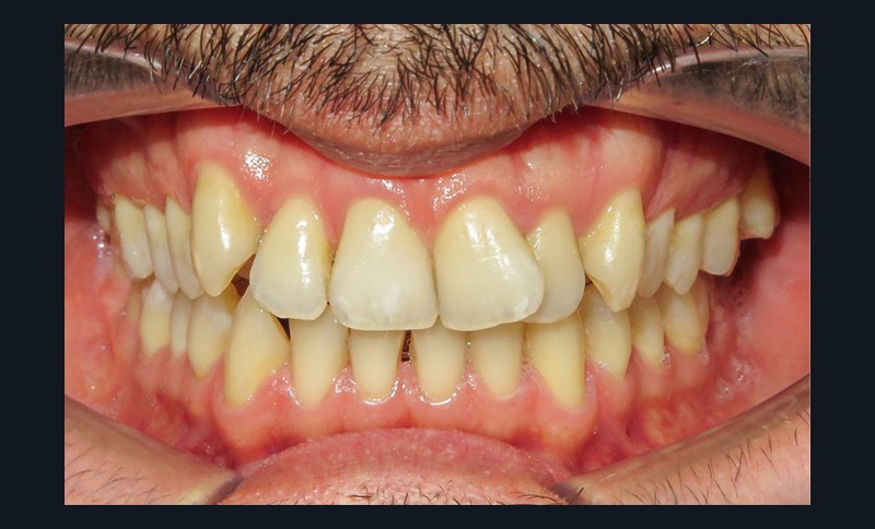
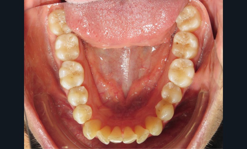
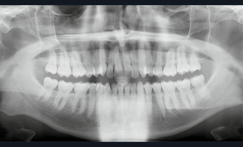
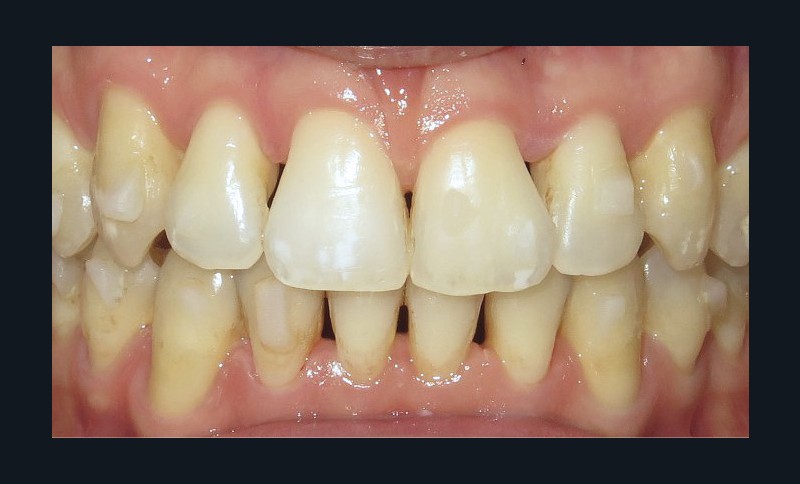
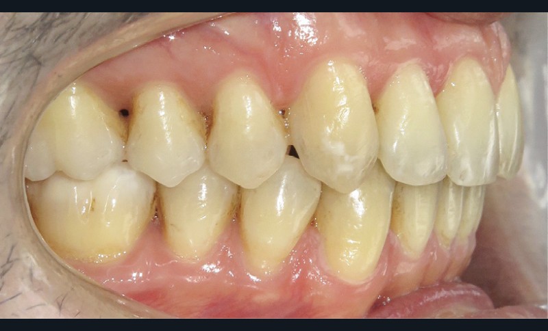
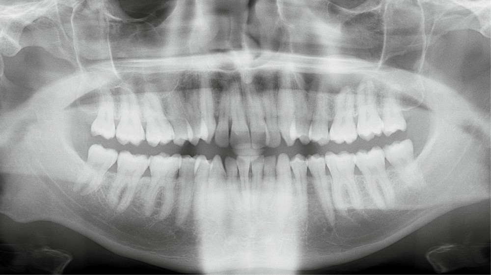
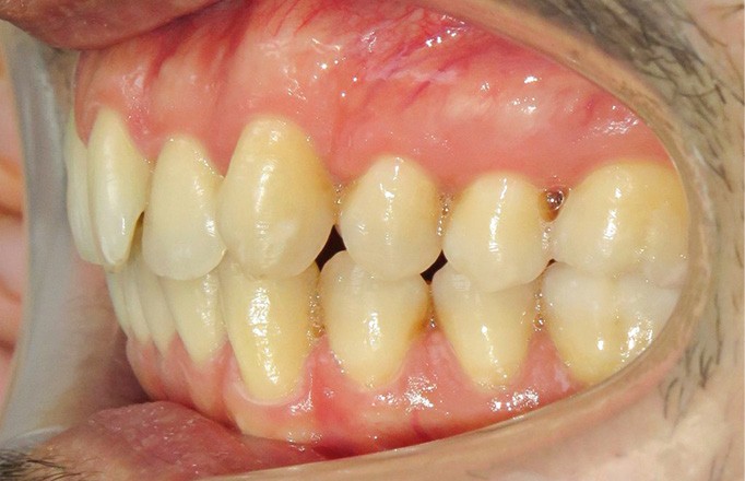
Diagnostic (fig. 1a-i)
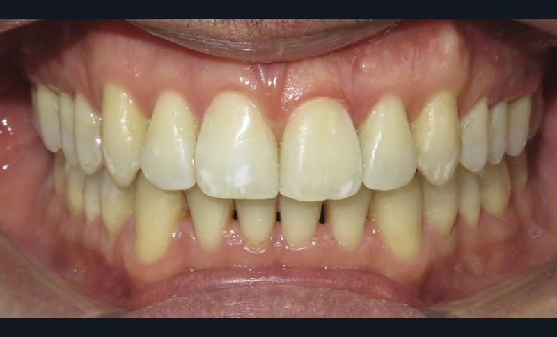
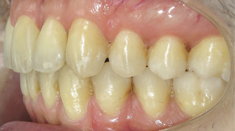
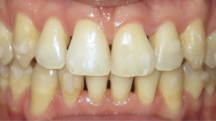
Le patient consulte initialement pour des défauts d’alignement. L’examen clinique confirme l’existence d’un encombrement antérieur bimaxillaire, mais révèle aussi la présence d’une Classe II dentaire sévère, d’une exoclusion de la 27 et de troubles parodontaux (peu ou absence de papilles inter-dentaires). Sur le plan squelettique, le patient est relativement équilibré avec un profil harmonieux.
Solutions thérapeutiques
L’exoclusion de la 27 qui est très sévère ne peut pas être corrigée en s’appuyant sur les autres dents, car elle est trop importante et cette correction induirait des déplacements parasites non souhaités des dents supports.
La sévère Classe II dentaire pourrait suggérer d’avoir recours à une chirurgie orthognathique par avancée mandibulaire, mais le menton est bien placé dans le profil. Sa correction doit donc être orthodontique.
Le déficit de place associé au décalage sagittal de Classe II aurait pu être traiter avec des extractions de prémolaires. Plusieurs éléments ont invalidé ce choix :
- les fermetures des espaces d’extraction peuvent être difficiles et récidivantes chez l’adulte et les extractions peuvent s’accompagner d’une fonte osseuse au niveau des sites d’extraction ;
- le patient présentant peu ou pas de papilles interdentaires, il risque, après l’alignement, d’avoir des triangles noirs très inesthétiques.
Il a été donc décidé de proposer un traitement comportant trois phases thérapeutiques :
- la première utilisant une minivis pour repositionner sur l’arcade la 27 [1] ;
- la deuxième permettant de traiter la Classe II avec des sectionnels maxillaires, des élastiques et une gouttière mandibulaire [2] ;
- la troisième alignant les dents grâce à des gouttières orthodontiques et du stripping [3].
Phases thérapeutiques
Dans un premier temps (fig. 2), la 28 (et la 18) a été extraite pour faciliter le déplacement de la 27 (DDM postérieure). Une minivis palatine a été placée entre 26 et 27 et des boutons ainsi qu’un sectionnel collés sur les faces vestibulaires des 26 et 27. Des chaînettes élastomériques ont été ancrées sur les boutons et la minivis, en passant au-dessous des faces occlusales de ces dents. Les chaînettes reliant un dispositif vestibulaire et un palatin et prenant appui sur les faces occlusales des molaires du secteur 2, les mouvements dentaires induits sont un déplacement vestibulo-palatin associé à une ingression des 26 et 27. Les minivis sont des ancrages absolus qui ne nécessitent pas d’utiliser l’ancrage des dents adjacentes ou antagonistes, ce qui préserve d’effets sur ces dernières.
Une fois le sens transversal traité, la correction s’est portée sur le décalage sagittal de Classe II au niveau dentaire (fig. 3). La présence de tip forward sur les dents des secteurs latéraux maxillaires signifie que les apex de ces dents sont plus ou moins bien placés. Des mouvements de version sont suffisants. C’est pourquoi a été retenue la solution suivante :
- collage au maxillaire d’un segment d’arc acier 019 x 025 (traité au rhodium à des fins esthétiques) sur les canines et les premières molaires maxillaires avec du composite (contenu dans une carpule) destiné au collage des fils contention (choisi pour sa résistance et sa facilité de mise en œuvre) ;
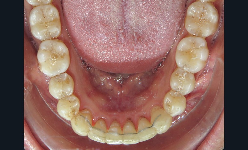
- réalisation d’une gouttière mandibulaire rigide englobant l’ensemble des dents mandibulaires. Cette gouttière a pour but de relier l’ensemble des dents de l’arcade inférieure (ancrage) et d’obtenir une désocclusion.
- collage de boutons sur les 13 et 23 (en composite pour améliorer l’esthétique) et de boutons métalliques (pour le confort) sur les 36 46
- port d’élastiques (3/16 4,5 Oz) reliant les boutons maxillaires à ceux mandibulaires pour obtenir une force de recul sur l’arcade supérieure et d’avancée sur l’arcade opposée (les mouvements ont été facilités par les extractions des 18 28). Les prémolaires n’étant pas collées, le mouvement généré est un mouvement de version et donc de redressement (car tipées au départ). Il est à noter que les boutons canins sont collés le plus cervicalement possible pour avoir une traction oblique avec les élastiques inter-arcades, afin d’avoir un mouvement de descente des canines supérieures qui sont trop hautes. L’intérêt d’avoir une gouttière mandibulaire par rapport à un arc lingual ou un dispositif multi-attaches, c’est qu’une gouttière contrôle mieux les mouvements de vestibulo-version des incisives mandibulaires induits par les élastiques.
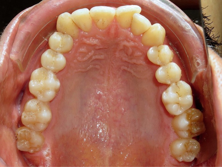
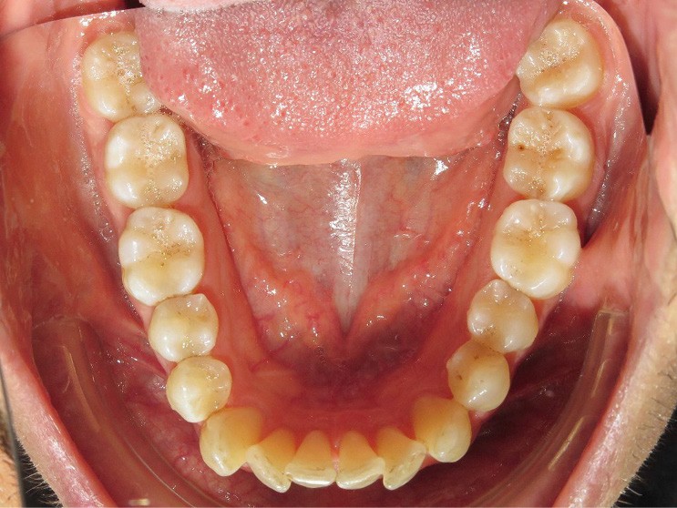
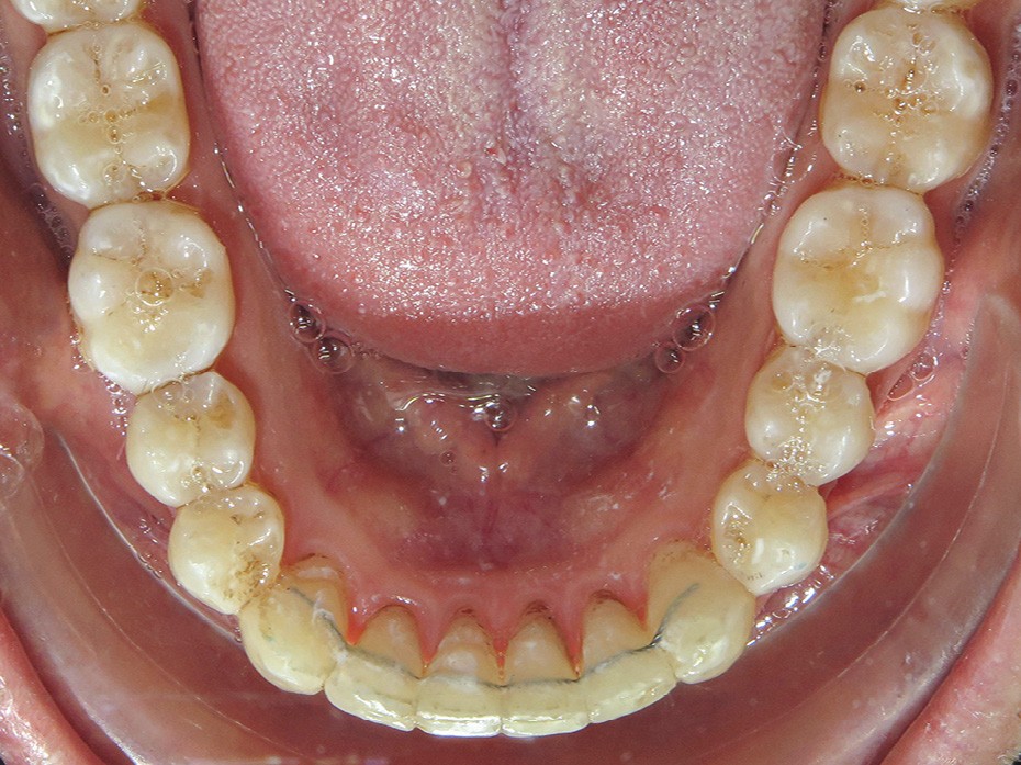
Après avoir traité les troubles transversaux et antéro-postérieurs, l’action orthodontique s’est concentrée sur les défauts d’alignement, grâce à des gouttières orthodontiques (fig. 4). L’avantage des gouttières par rapport aux dispositifs multi-attaches vestibulaires, c’est que l’alignement se fait avec une avancée moindre des bords libres des incisives et qu’elles permettent de définir plus précisément où l’on peut stripper pour gagner de la place et réduire les triangles noirs. En outre, le nettoyage des dents est facilité, ce qui est intéressant chez les patients ayant des atteintes parodontales.
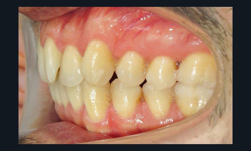
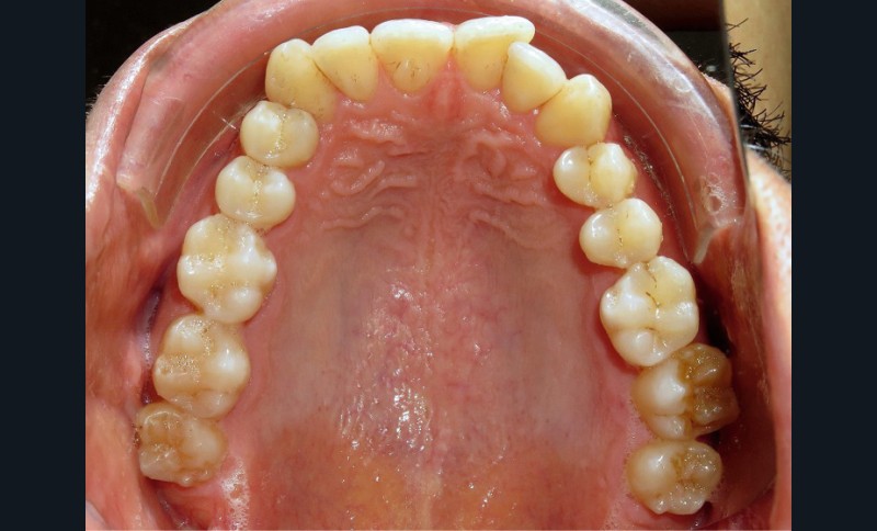
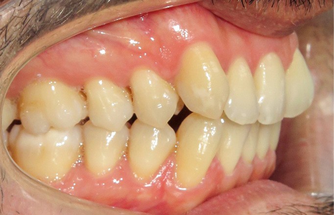
Discussion (fig. 5a- i)
La difficulté a été de garder le patient motivé, car les trois temps du traitement se sont ajoutés (2,5 ans) et le traitement reposait beaucoup sur sa coopération (dispositifs amovibles à savoir les élastiques et les gouttières).
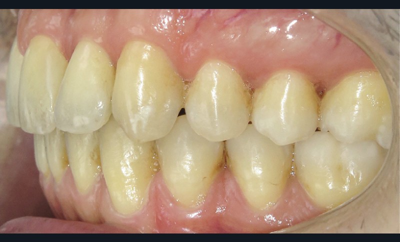
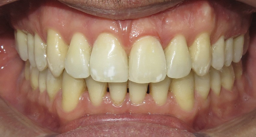
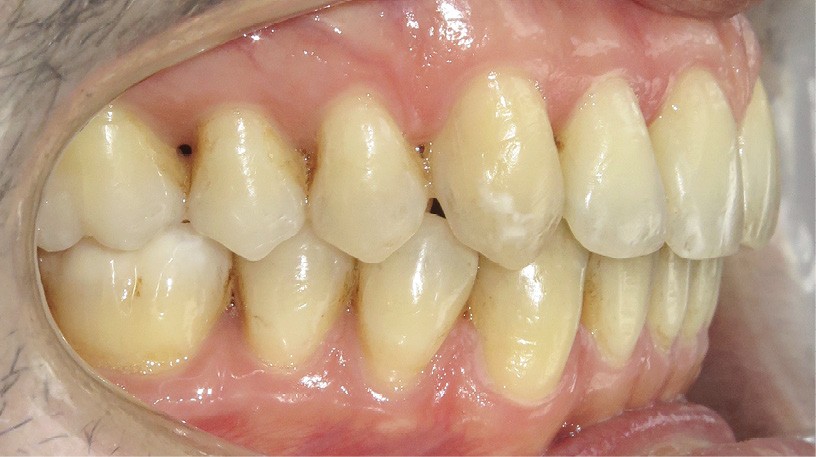
Cependant, le patient est récompensé des choix qui ont été faits, car désormais son sourire est harmonieux avec une occlusion équilibrée. L’augmentation des triangles noirs a été limitée grâce aux soustractions amélaires au niveau des faces proximales des dents antérieures. En revanche, pour parfaire le résultat au niveau esthétique, des apports de composites ont été réalisés, car les dents de devant étaient très pincées au niveau cervical.
Le traitement est stable dans le temps, car les contacts occlusaux sont harmonieux ainsi que les fonctions et les déplacements ont été surtout coronaires.
Conclusion
Grâce à tous les dispositifs orthodontiques dont nous disposons à l’heure actuelle, nous pouvons avoir désormais des actions plus ciblées en limitant les effets parasites. Il est donc important de ne se priver d’aucun des moyens disponibles et de connaître les propriétés de chacun. La pose des bonnes indications thérapeutiques et la combinaison des outils orthodontiques permettent d’atteindre de meilleurs résultats de traitement dont peuvent bénéficier aujourd’hui nos patients.






















Commentaires