La phase de contention est aujourd’hui reconnue comme une étape thérapeutique à part entière du traitement orthodontique. Elle engage la responsabilité du praticien sur le long terme et conditionne la stabilité des résultats obtenus [1, 2]. Elle doit donc être anticipée dès la planification du traitement, en cohérence avec les objectifs de stabilité à long terme. Les travaux de Littlewood et al. ont souligné la nécessité d’envisager la contention comme un processus global et évolutif, intégrant conception, pose et suivi à long terme [3].
Dans ce contexte, le développement des workflows numériques et de la CFAO a conduit à l’émergence de contentions individualisées, réalisées à partir d’empreintes optiques et produites par des procédés automatisés [4-7].
Il existe aujourd’hui plusieurs approches de fabrication de contentions sur mesure. Certaines reposent sur des procédés industriels d’usinage ou de fabrication externalisée, qui, par définition, ne relèvent pas d’un équipement directement intégrable au cabinet. Le présent article se concentre volontairement sur une autre catégorie de dispositifs : les contentions réalisées par pliage automatisé de fils, à l’aide de plieuses de fils robotisées, seules solutions permettant une internalisation complète du processus de fabrication au cabinet.
Pré-requis
Le recours à un tel dispositif suppose un flux numérique comprenant, successivement :
- la numérisation des modèles (scanner) ;
- la conception numérique du fil (fig. 1a) ;
- la fabrication automatisée par pliage (fig. 1b) et l’obtention du fil après pliage (fig. 1c) ;
- le reconditionnement ;
- la vérification de la conformité ;
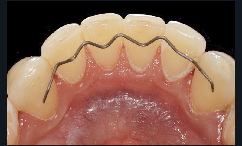
- la pose clinique du dispositif (fig. 1d) [4-8].
Ce flux, souvent présenté comme fluide et rapide, représente en pratique un temps opérateur non négligeable. En conditions cliniques réelles, le temps cumulé…



