8e Grand Prix en orthodontie « Catégorie Adultes » L’Orthodontie et Orthoplus s’associent
Premiers lauréats : Noëlia Susini, Estelle Demes, Carole Charavet
D’après les données de la littérature, la prévalence de l’inclusion des canines maxillaires varie entre 0,8 et 5,2 % [1-3].
Face à cette situation clinique, deux options thérapeutiques principales s’offrent au praticien : la traction orthodontique de la dent incluse ou l’auto-
transplantation. Le choix dépend de plusieurs facteurs : la position de la dent incluse, son angulation, sa proximité avec les structures anatomiques adjacentes, ainsi que l’âge du patient. Dans des situations complexes ou diagnostiquées tardivement (patient adulte, inclusion profonde, forte angulation), la traction peut échouer ou s’accompagner de complications telles que des résorptions radiculaires, récessions gingivales ou ankyloses.
L’auto-transplantation, procédure chirurgicale consistant à repositionner une dent présentant un développement radiculaire incomplet pour remplacer une dent compromise ou manquante [4], se présente alors comme étant une technique de choix.
La littérature rapporte un taux de succès de 89,68 % avec un taux de survie de 98,21 % pour les dents immatures [5], un taux de succès de 80 % avec un taux de survie de 95 % pour les dents matures [6].
Présentation du cas
La patiente est une adolescente âgée de 16 ans, qui consulte pour améliorer l’esthétique de son sourire. Elle mentionne notamment ses diastèmes antérieurs maxillaires.
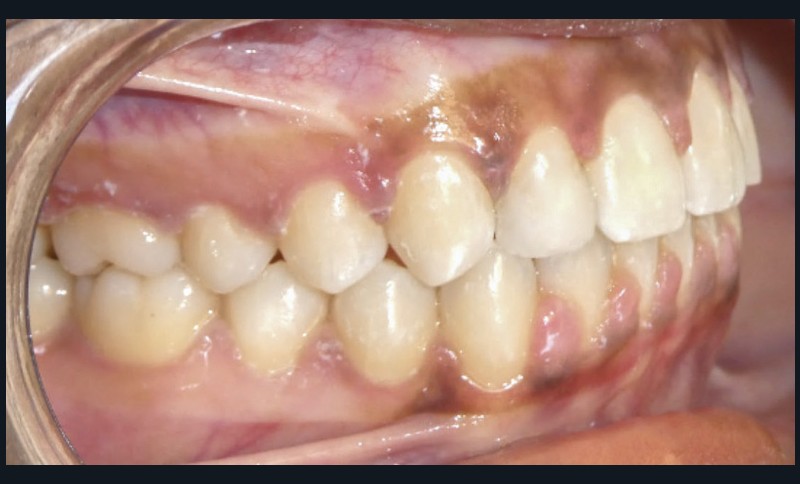
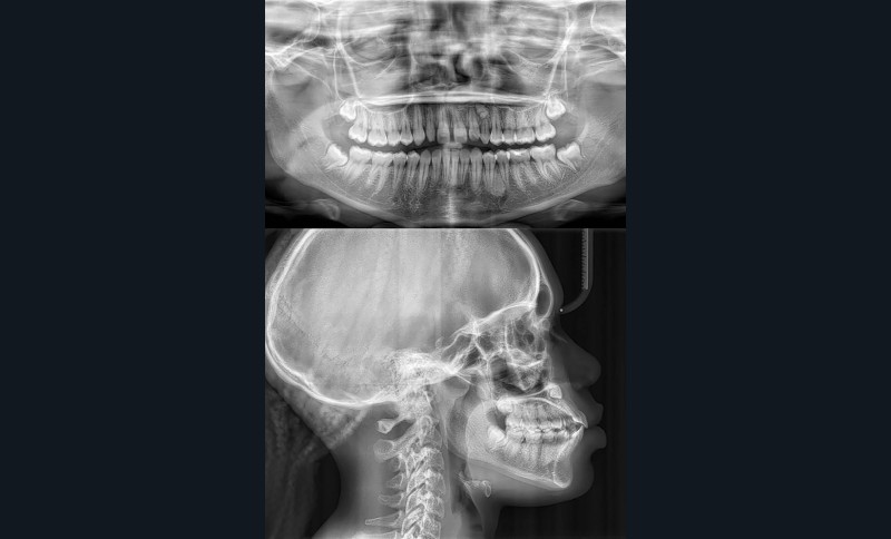
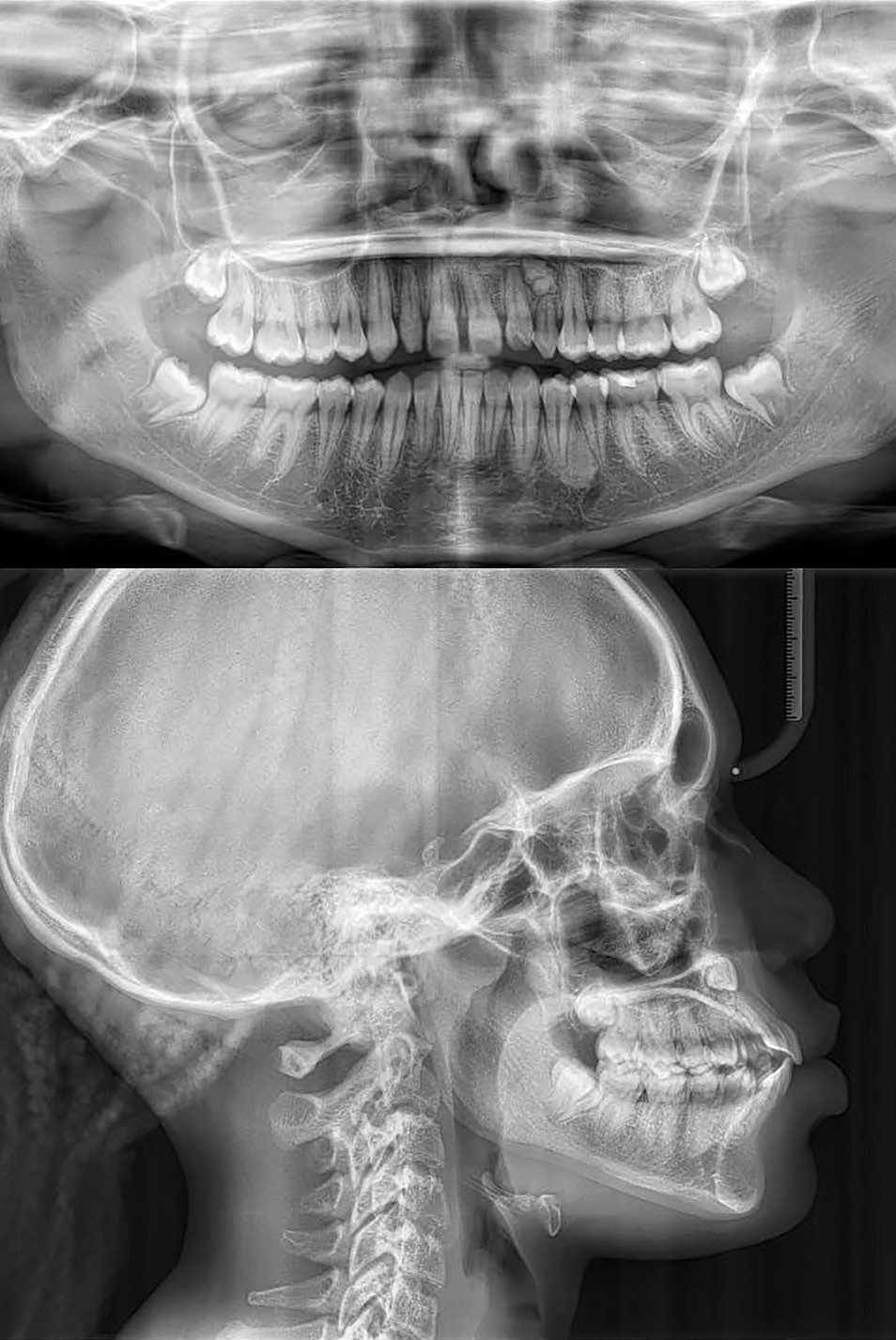
Diagnostic (fig. 1 et 2)
À l’examen extra-oral, la patiente présente un profil biprognathe associé à une Classe II squelettique modérée dans un contexte de normodivergence. L’angle naso-labial apparaît ouvert, le sillon labio-mentonnier est marqué et une prochéilie mandibulaire est observée. Le sourire se révèle disharmonieux, avec une faible visibilité des dents maxillaires.
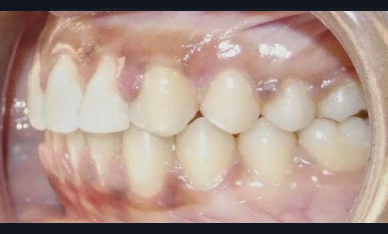
À l’examen intra-oral, les arcades sont paraboliques, la courbe de Spee est normale. On remarque l’absence de la 23 sur l’arcade ainsi que la persistance de la 63. La patiente présente une Classe II partielle molaire et canine subdivision droite, ainsi qu’une insuffisance de recouvrement. Un léger encombrement incisif mandibulaire est présent, ainsi que des diastèmes maxillaires avec une dysmorphie dento-dentaire de 12 et 22.
L’examen fonctionnel révèle une ventilation nasale et une déglutition mature.
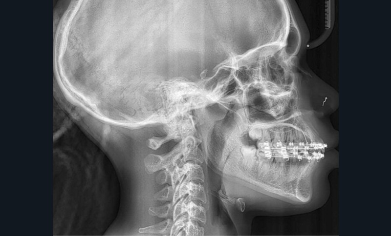
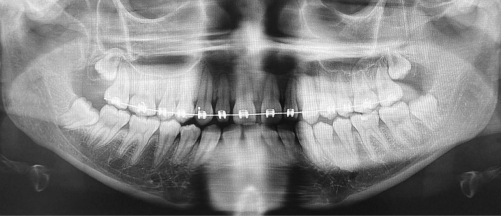
La radiographie panoramique permet de confirmer l’inclusion de la 23, apicale aux dents 21 et 22, ainsi que la présence d’un odontome en apical de la 63. Ces éléments nécessitent la réalisation d’un CBCT.
Le CBCT révèle une position très apicale de la 23. L’apex est fermé.
La téléradiographie de profil montre une Classe II squelettique par biprognathie, avec proalvéolie et vestibuloversion de l’incisive mandibulaire.
Objectifs de traitement
Les objectifs de traitement sont les suivants :
- mise en place de la 23 sur l’arcade par auto-transplantation étant donné la position très défavorable de la dent, associée à l’extraction de la 63 et de l’odontome ;
- correction de la Classe II à droite ;
- correction de l’encombrement mandibulaire sans aggraver la vestibulo-version de l’incisive mandibulaire ;
- correction de l’infraclusion par redressement de l’incisive mandibulaire et égression de l’incisive maxillaire ;
- fermeture des diastèmes maxillaires ;
- gestion de la DDD 12 et 22 par des restaurations composites.
Séquences thérapeutiques
Correction de la denture
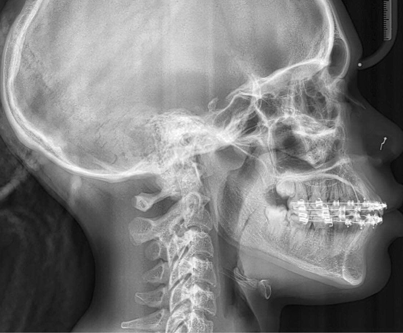
Le traitement orthodontique a été réalisé en technique vestibulaire multi-attaches 0,022’’ x 0,028’’. Après l’alignement et le nivellement de l’arcade maxillaire (arcs Niti 0,014‘’,0,018‘’, 0,017 x 0,025’’), un acier 0,019 x 0,025’’ a été mis en place. Un ressort Niti actif a permis de créer l’espace nécessaire pour accueillir la 23 sur l’arcade (fig. 3). L’espace nécessaire a été évalué par mesure de la réplique dentaire tridimensionnelle.
Auto-transplantation
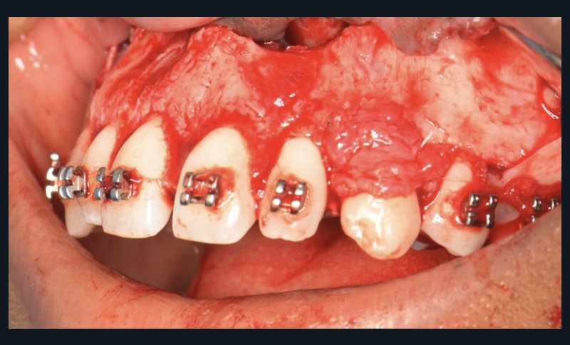
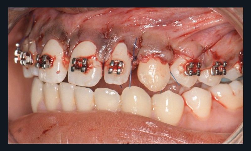
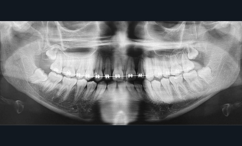
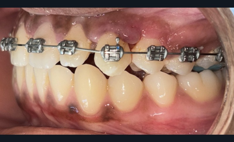
Une fois l’espace nécessaire obtenu, des cales molaires sont réalisées pour limiter les interférences occlusales avec la 23. La 63 et l’odontome sont extraits (fig. 4). Un lambeau est levé et la réplique 3D de la 23 est essayée dans l’alvéole, qui est adaptée en fonction (fig. 5). La 23 est prélevée de façon atraumatique (fig. 6) et auto-transplantée (fig. 7). Après suture du lambeau (fig. 8), une contention par arc acier 0,019×0,025’’ avec un CVI entre la dent et l’arc orthodontique est réalisée (fig. 9). Trois ou quatre semaines après l’auto-transplantation (fig. 10), le traitement endodontique est effectué (fig. 11). Un bracket orthodontique pourra être collé de façon passive, et la dent prise en charge avec un arc Niti 0,017 x 0,025’’ (fig. 12).
Des radiographies rétro-alvéolaires de contrôle sont effectuées au cours du traitement, il est recommandé de ne pas entreprendre de mouvement orthodontique pendant 4 mois à l’arcade maxillaire.
Correction de la denture (suite)
L’alignement et le nivellement de l’arcade mandibulaire sont réalisés avec arcs Niti 0,014‘’, puis Niti 0,018’’, Niti 0,017 x 0,025’’. Une réduction interproximale de 33 à 43 permet d’éviter une importante vestibulo-version de l’incisive mandibulaire et corriger l’encombrement.
La correction de la Classe II droite se fait par TIM de classe II (3/16e, 3,5 oz).
Finitions et intercuspidation
La correction des axes dentaires et les finitions sont réalisées sur arc acier 0,019×0,025’’. Des TIM d’intercuspidation sous forme de triangles latéraux de classe I (3/16 – 3,5 oz) permettent de parfaire l’occlusion.
Contention
La contention sera assurée par fil collé maxillaire (après réalisation des restaurations composites) et mandibulaire, ainsi qu’une gouttière thermoformée à port nocturne à l’arcade maxillaire.
Discussion
Les objectifs de traitement ont été atteints.
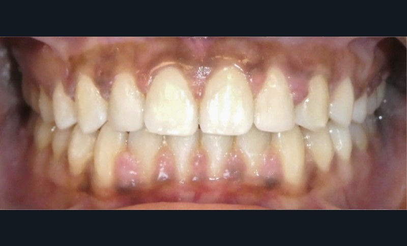
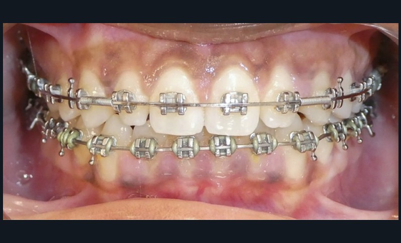
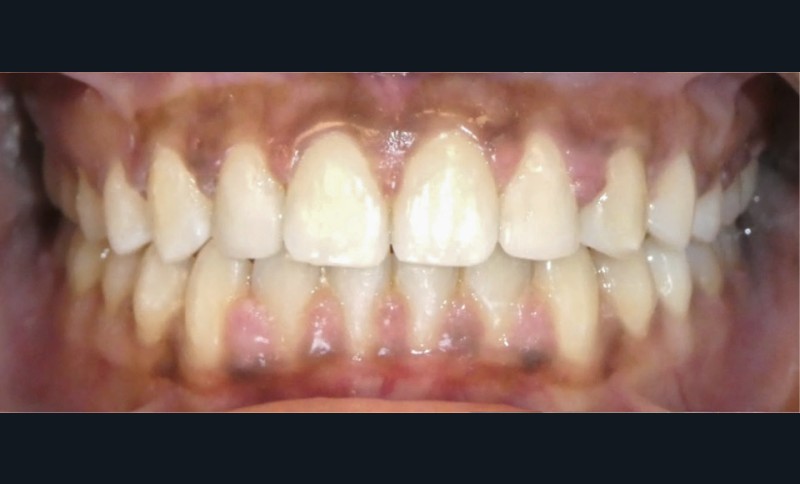
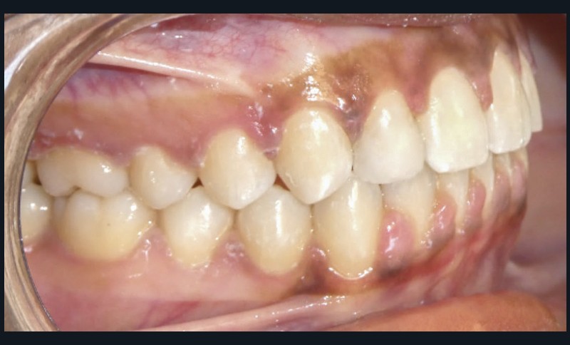
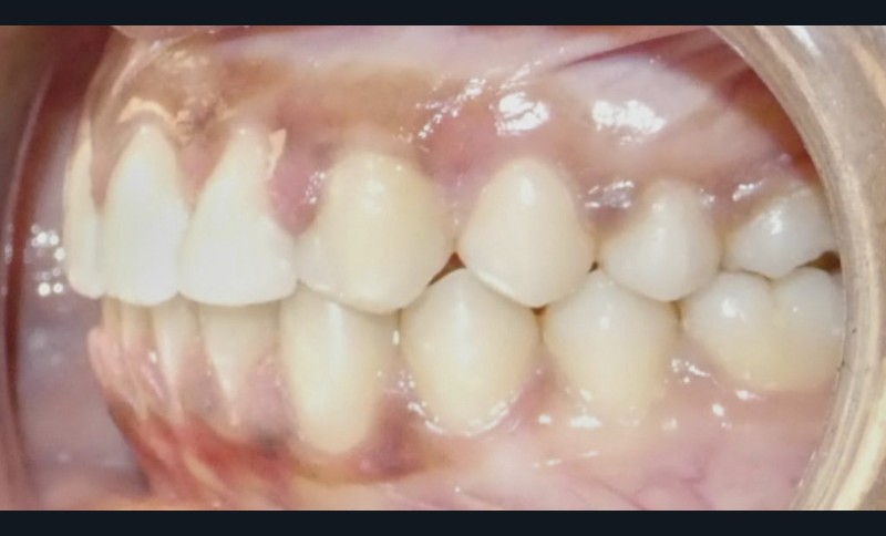
L’esthétique du sourire a été améliorée avec l’augmentation de la visibilité des dents maxillaires, ainsi que la restauration des incisives latérales au composite.
Le profil est plus harmonieux grâce à une diminution de la prochéilie mandibulaire par redressement de l’incisive mandibulaire (fig. 16- 18).
L’auto-transplantation de la 23 sur l’arcade, qui était en position très défavorable, et malgré un apex fermé présente de bons résultats. La radiographie rétro-alvéolaire (fig. 19) montre une intégrité de l’état radiculaire de la dent auto-transplantée. Un suivi régulier reste cependant nécessaire.
Conclusion
Le traitement a duré 1 an et 9 mois. L’auto-transplantation dentaire reste une technique de choix dans les cas où les dents se trouvent en position défavorable. Cependant, il s’agit d’une technique très chirurgien-dépendant qui nécessite un suivi régulier.
* En tant que coordinatrice, Carole Charavet n’a pas participé aux votes du Grand Prix.




























Commentaires