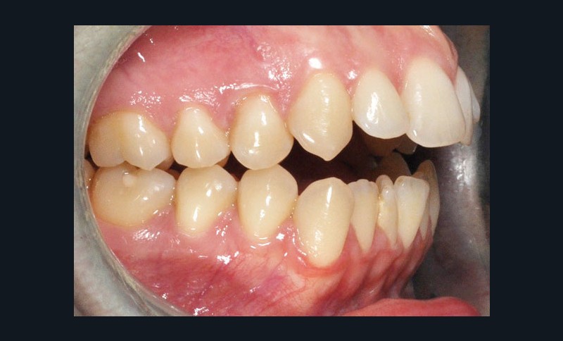
Diagnostic (fig. 1)
Cette patiente de 29 ans consulte pour des raisons principalement fonctionnelles mais également esthétiques. Elle présente :
– une classe II squelettique hyperdivergente
– une endognathie maxillaire
– une classe II division 1 majeure et asymétrique associée à une béance antérieure sévère
– un profil très convexe avec une occlusion labiale difficile et une biprochéilie
– une DDM par défaut modérée, maxillaire et mandibulaire
– des troubles de la posture et de la fonction linguale.
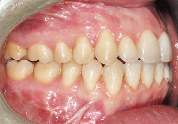
Étapes de traitement
(fig. 2, 3, 4, 5 et 6)
Le plan de traitement retenu a été le suivant :
– disjonction maxillaire assistée chirurgicalement
– préparation orthodontique avec recul molaire mandibulaire sur miniplaques à l’aide de corticotomies alvéolaires
– chirurgie d’avancée mandibulaire et génioplastie soustractive verticale
– finitions orthodontiques et éducation fonctionnelle active labio-linguale
– contentions collées maxillaire et mandibulaire
– suivi, en particulier de la fonction linguale
Distalisation molaire mandibulaire par corticotomies associées aux miniplaques (fig. 7)
Avantages
Le recul molaire a apporté l’espace nécessaire à la correction de l’encombrement avec en plus un léger recul incisif qui a permis de positionner de façon idéale l’incisive dans la symphyse. Une distalisation des secteurs latéraux de 3 mm à droite et 2 mm à gauche permettant aussi de symétriser les relations molaires a donc été obtenue en…






























