Grand Prix éditorial de l’Orthodontiste et Orthoplus
3e lauréat, catégorie adultes
Dans le cas de classe II division 2, dysmorphie souvent associée à une hypodivergence où la classe II squelettique est fréquemment faible [1], la distalisation maxillaire peut être indiquée afin d’éviter les extractions ou la chirurgie si le profil labial le permet [2].
Présentation du cas
Madame R., âgée de 55 ans, est adressée par le service d’occlusodontie qui la suit pour des douleurs localisées aux articulations temporo-mandibulaires et aux cervicales, prises en charge par le port de gouttières. Elle rapporte la prise fréquente de paracétamol codéiné pour ses douleurs cervicales. Nous notons une insuffisance pondérale (IMC faible).
Examen exobuccal (fig.1a-c)
De face, la patiente a un visage de type musculaire, asymétrique avec des lèvres fines. Son profil est à tendance cis-frontal mais avec une symphyse marquée. L’étage inférieur de la face est diminué. Le sourire fait apparaître les dents maxillaires et mandibulaires. La médiane incisive maxillaire est concordante avec le plan sagittal médian.
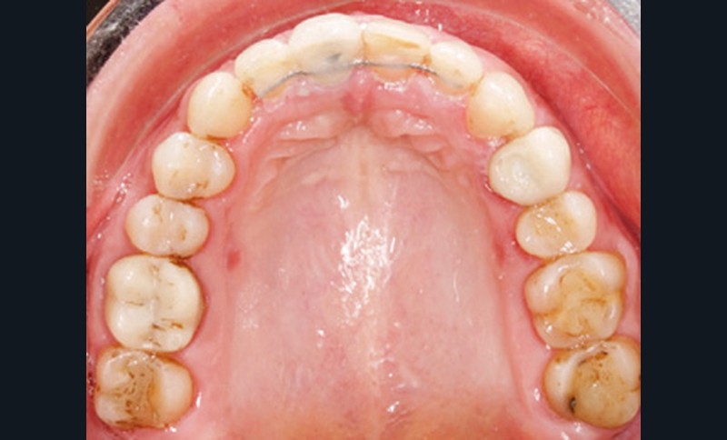
Examen endobuccal (fig. 2a-e)
L’arcade maxillaire est asymétrique et parabolique. Elle présente une mésio-position du secteur 1. On note des rotations mésio-vestibulaire de 13 et disto-vestibulaire de 23 et une palato-version incisive. Les restaurations prothétiques sur 11, 16 et 24 semblent à refaire. L’arcade mandibulaire est asymétrique et parabolique avec une couronne sur implant en 36.
Dans la dimension transversale, on constate une endoalvéolie maxillaire. Dans la dimension sagittale, on observe une classe II plus importante à droite où elle est complète de 5 mm. Le surplomb est absent et la supraclusion totale (6 mm) par supra-alvéolie mandibulaire.
Examen fonctionnel
La ventilation est nasale. La déglutition est dysfonctionnelle avec sollicitation des muscles labiaux et jugaux à la déglutition et hypertonicité de la sangle labio-mentonnière. La mastication est de type mastication-succion.
L’examen des ATM révèle une palpation externe douloureuse, un claquement à la fermeture à droite et à gauche. La cinétique mandibulaire est limitée du fait de l’occlusion verrouillée. Les douleurs cervicales sont localisées au niveau des muscles sterno-cléido-mastoïdiens et des trapèzes.
Examens complémentaires (fig. 3)
La téléradiographie de profil et l’analyse céphalométrique montrent une classe I squelettique tendance classe II dans un contexte d’hypodivergence avec diminution de l’étage masticatoire. L’axe de l’incisive mandibulaire est en normoposition, alors que l’incisive maxillaire présente une rétroalvéolie importante.
La supraclusion antérieure est d’origine mandibulaire en lien avec une courbe de Spee marquée quantifiée à 3 mm. L’orthopantomogramme confirme la présence d’un implant en 36.
Objectifs de traitement
Le repositionnement spontané mandibulaire pourra être favorisé après correction des verrous occlusaux tels que la supra-alvéolie incisive mandibulaire et la rétro-alvéolie incisive maxillaire.
Les objectifs dento-alvéolaires sont la correction de l’angle interincisif par hypertorque radiculo-palatin incisif maxillaire, l’obtention d’une occlusion de classe I et un nivellement de la courbe de Spee essentiellement par ingression de l’incisive mandibulaire.
Il faudra veiller à ne pas dévier les milieux interincisifs à cause de la présence de l’implant en 36.
L’objectif esthétique sera d’harmoniser les rapports labiaux et d’obtenir un meilleur soutien labial. Le traitement visera à favoriser la diminution, voire la disparition des symptômes articulaires douloureux.
Traitement
Moyens thérapeutiques
Nous utilisons un traitement bimaxillaire en technique multi-attaches linguale individualisée. Les attaches sont individualisées ribbonwise en gorges .018 x .025.
Une chirurgie d’avancée mandibulaire aurait pu être une solution thérapeutique pour corriger l’hypodivergence mais cette solution n’a pas été retenue compte tenu du contexte médical (maigreur) et général (âge). La stratégie thérapeutique s’est portée vers un traitement de compensation dento-alvéolaire avec distalisation maxillaire sur minivis.
Séquences thérapeutiques (fig. 4)
La préparation de la denture consiste en un alignement et un nivellement. En orthodontie linguale totalement individualisée, le nivellement de la courbe de Spee est facilité par la présence des bases des attaches sur les incisives maxillaires qui provoquent une égression des secteurs postérieurs et une ingression et vestibulo-version des incisives mandibulaires. L’utilisation d’arcs acier ribbonwise .016 x .024 est également efficace pour ce nivellement [3].
La correction de la denture passe par la correction des torques incisifs grâce à des arcs acier maxillaires .016 x .024 extra torque 13° puis extra torque 21° qui permet le rétablissement d’un surplomb et par ce fait le déverrouillage mandibulaire.
La distalisation maxillaire par ancrages squelettiques temporaires peut alors commencer, 4 minivis sont mises en place pour une correction bilatérale : deux minivis sont placées en vestibulaire (8 mm) et deux minivis en palatin (10 mm) entre la seconde prémolaire et la première molaire maxillaire [4]. La distalisation peut ainsi avoir lieu progressivement, grâce à des chaînettes en double câble, vestibulaire et palatine.
Cette technique est associée à une mécanique de traction interarcade de classe II, l’action est surtout maxillaire puisqu’il y a présence d’un implant en 36. La traction élastomérique sera de 6 oz à droite et de 3,5 oz à gauche.
Les finitions et l’intercuspidation sont réalisées avec des arcs TMA .018 x .018 et avec des tractions interarcades verticales.
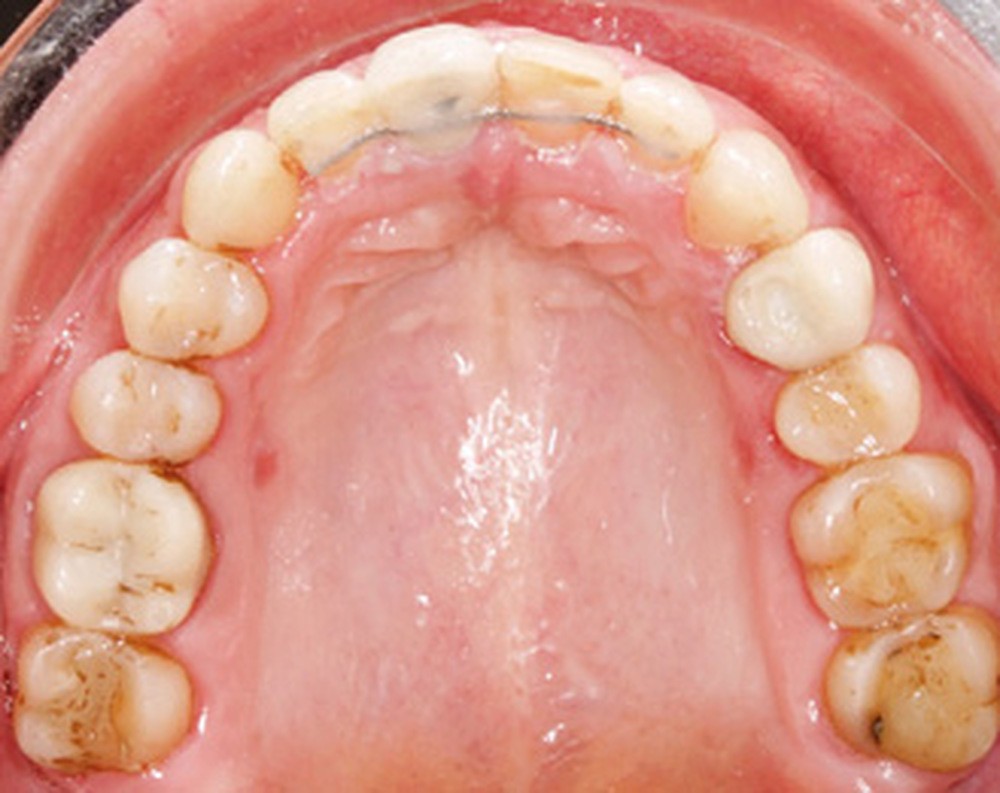
Les contentions réalisées sont, au maxillaire, un fil collé de 12 à 22, et à la mandibule, un fil collé de canine à canine accompagné de gouttières thermoformées maxillaire et mandibulaire.
Discussion (fig. 5 à 8)
Le traitement a duré vingt-quatre mois. Les documents de fin de traitement nous montrent un sourire plus harmonieux et des rapports labiaux améliorés. De profil, la patiente a un meilleur soutien des lèvres. De plus, un léger repositionnement sagittal mandibulaire a été obtenu.
Sur la téléradiographie de profil, on note une normalisation des rapports incisifs avec un torque radiculo-palatin de l’incisive maxillaire et une vestibulo-version de l’incisive mandibulaire. La diminution de l’angle interincisif a été recherchée afin de garantir la stabilité du traitement. La superposition générale structurale révèle une rotation totale horaire qui confirme une amélioration du sens vertical.
La correction de la classe II molaire et canine a été réalisée tout en maintenant les médianes incisives centrées malgré l’implant en 36.
Il subsiste néanmoins un tip back de la 23 dû à l’effet parasite de la distalisation maxillaire.
Quant à la couronne sur la 11, il est prévu qu’elle soit refaite après éclaircissement, afin d’harmoniser sa forme et sa teinte, mais aussi la hauteur du collet avec la 21.
D’un point de vue fonctionnel, il y a eu une disparition complète de la symptomatologie douloureuse au niveau des cervicales et des ATM.
Conclusion
La correction de la supraclusion et du torque incisif maxillaire en technique linguale individualisée a entraîné un effet de propulsion spontanée de la mandibule chez notre patiente.
La distalisation maxillaire par minivis couplée à la mécanique de classe II a permis de compenser totalement le décalage squelettique de classe II.
Cependant, il faut garder à l’esprit que la distalisation maxillaire ne peut pas se substituer à la chirurgie lorsque celle-ci est nécessaire.




















Commentaires