De la planification à la phase de collage
Présentation du cas
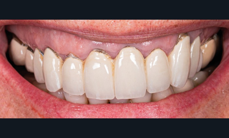
Une patiente de 50 ans consulte pour un inconfort parodontal et une esthétique du sourire jugée insuffisante. Elle présente au maxillaire une restauration fixée céramo-métallique complète en 3 sections. Celle-ci montre de nombreux problèmes d’étanchéité à la suite d’un ajustage cervical approximatif. De plus, le produit d’assemblage est un ciment résine dont la plupart des excès n’ont pas été retirés des espaces interproximaux. Il en résulte une inflammation parodontale marginale marquée.
L’examen esthétique du sourire met en évidence une ligne du sourire bien placée par rapport au rebord de la lèvre inférieure pendant le large sourire. La papille gingivale entre les deux centrales est déviée d’environ 1,5 mm vers la droite et les lignes verticales interproximales sont basculées du côté droit.
Par ailleurs, nous constatons un manque de dominance des deux incisives centrales conférant au sourire un manque de dynamisme. Une importante récession gingivale (type II de Cairo) est en outre diagnostiquée sur la 23 (fig. 2).
Décision thérapeutique : choix du matériau [1, 2]
Les deux options pour réaliser ce type de traitement sont aujourd’hui le disilicate de lithium (pressé ou usiné) et la zircone usinée. Le recours au au disilicate de lithium imposerait la mise en place d’une isolation parfaite pour coller de façon efficace, ce qui n’est pas aisé même pour un praticien entraîné, sur 14 préparations adjacentes, dont certaines nettement intra-sulculaires. Par ailleurs, d’un point de vue purement mécanique, sur ce type d’épaisseur, la zircone démontre des valeurs de résistance à la fracture nettement supérieures.
Compte tenu de la finesse des préparations (congés de 0,3 à 1 mm), de l’absence d’émail, d’une teinte assez sombre des zones cervicales des préparations…




