Séance interactive C42 – Jeudi 30 novembre – 9h/12h
Responsable scientifique : Ninon Lebrat
Conférencier : Marga Ree, Maxime Drossart, Magali Hernandez, Michel Le Gall
Objectifs
• Connaître les recommandations internationales et savoir les adapter.
• S’entraîner à la prise de décision grâce à une séance interactive.
• Améliorer votre prise en charge des cas de traumatologie en toute sérénité.
Cette séance s’intéressera à la réhabilitation de la dent dépulpée, véritable évolution par rapport à une simple restauration de cette dent. Différentes thématiques seront soulevées, de l’absence d’utilisation d’un tenon à une réhabilitation totale de cette dent au travers de protocoles précis et reproductibles.
Lors d’un choc traumatique, plusieurs tissus et structures dentaires sont susceptibles d’être endommagés (émail, dentine, ligament parodontal, etc.). Il est dès lors impératif que la prise en charge soit prompte, efficace et qu’elle présente une vision à long terme de la restauration de la situation clinique.
La dent traumatisée peut être déplacée (luxation, impaction, avulsion, etc.) et/ou fracturée (au niveau coronaire, radiculaire, corono-radiculaire, avec ou sans exposition pulpaire). Il est donc indispensable, lors de la prise en charge initiale, de réaliser toutes les radiographies nécessaires à l’analyse complète de la situation, ainsi que tous les tests cliniques usuels : sensibilité pulpaire, sondage parodontal, mobilité, palpation, percussion [2].
Les recommandations concernant la radiologie en traumatologie sont les suivantes : un cliché orthogonal par dent ayant subi le choc + une radiographie occlusale + une radiographie orthogonale de l’antagoniste. Par exemple, dans le cas d’un coup au niveau du bloc incisif antéro-supérieur, les 4 incisives sont susceptibles d’avoir été touchées, il faut alors réaliser une radiographie orthogonale de la 12, une de la 11, une de la 21, une de la 22, ainsi que le cliché occlusal et le cliché des incisives inférieures. La réalisation d’un CBCT est donc de plus en plus indiquée et doit répondre au principe ALARA. Ce cliché a-t-il une justification clinique et/ou thérapeutique [3] ?
A savoir que la radio 2D reste le cliché de choix pour le suivi.
De plus, l’International Association of Dental Traumatology (IADT) recommande de prendre systématiquement des photographies, cela afin d’étayer un dossier d’assurance si nécessaire, mais surtout dans le but d’étayer un suivi thérapeutique.
La prise en charge de patient ayant subi un traumatisme dentaire peut être complexe. Elle demande à la fois une action rapide et permettant de soulager une douleur éventuelle, de restaurer si possible la situation initiale, d’anticiper les conséquences du choc et de rassurer le patient [2]. La prise en charge demande donc de mobiliser des compétences dans de nombreux domaines de la dentisterie.
C’est pour cette raison que l’ADF a décidé cette année de traiter le sujet de la traumatologie dentaire lors d’une séance pluridisciplinaire. Cette séance sera interactive, tant grâce à une proposition de vote du public en direct que par une discussion multidisciplinaire « en live » sur la prise de décision et le suivi de différents cas cliniques.
Dans un premier temps, le Dr Marga Ree, dont l’activité clinique est limitée à l’endodontie, proposera une série de cas aux congressistes. Chacun(e) pourra voter en direct pour le plan de traitement qu’il (elle) considère comme idéal. Après chaque vote, la prise en charge réalisée et le suivi du cas seront exposés.
Nous vous présentons dans ces pages le cas d’un patient de 12 ans, pris en charge par le Dr Ree, illustrant le type de cas abordé lors de sa présentation.
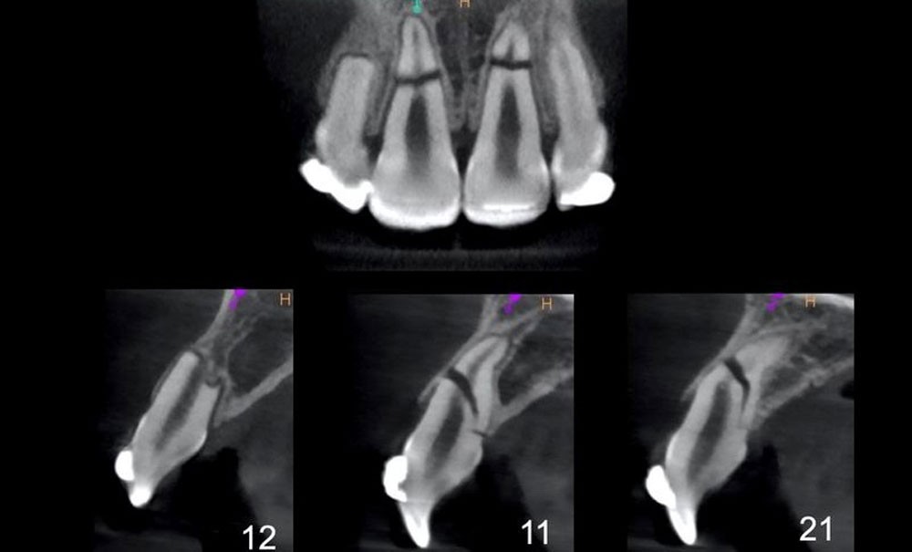
La fig. 1 montre la situation clinique le jour du traumatisme. Les photographies et radiographies permettent d’observer des factures radiculaires des 4 incisives ainsi que, au minimum, la luxation de la 11. Deux fractures radiculaires horizontales importantes au niveau de la 11 et de la 21 sont notées. Une fracture moins marquée radiologiquement au niveau de la 22 et une résorption apicale au niveau de la 12 sont visibles. Cette dernière est probablement antérieure au traumatisme du jour. Le patient est d’abord pris en charge par un dentiste de garde qui pose une attelle (fig. 2). Il est ensuite référé pour une prise en charge en endodontie.
Lors de ce deuxième rendez-vous, un CBCT est prescrit et met en évidence l’étendue des fractures ainsi que le repositionnement inadéquat des deux fragments coronaires des dents 11 et 21 (fig. 3).
Grâce à ce cliché radiologique, une décision thérapeutique éclairée peut être prise. A savoir : la situation ne peut pas rester comme telle si l’on souhaite obtenir une guérison. Il est alors nécessaire de déposer la première contention et de repositionner convenablement les dents sous anesthésie locale aussitôt que possible puis de placer une nouvelle contention. Cela est indispensable afin d’espérer un pronostic favorable (fig. 4).
Le type de contention et sa durée de mise en place à la suite d’un traumatisme dentaire seront abordés lors de cette conférence très clinique.
Chaque praticien pourra donc obtenir des informations très concrètes qui pourront être directement appliquées au cabinet. Les recommandations de l’IADT seront aussi abordées lors du choix thérapeutique [3].
Dans cet exemple, le suivi du cas est essentiel, comme pour tous les cas de traumatologie dentaire. Ici, une prise en charge endodontique de la 11 a été nécessaire quelques mois après la dépose de la contention. Le suivi clinique a guidé cette décision thérapeutique. La 11 ne répondait plus aux tests de sensibilité pulpaire (test de sensibilité thermique au froid et test électrique négatifs), la dent présentait également une décoloration coronaire et une sensibilité à la percussion indiquant que la pulpe de la 11 était nécrosée.
Cette nécrose faisant suite à une fracture corono-radiculaire complète et une luxation du fragment coronaire, il était recommandé de réaliser au moins une séance de temporisation à l’hydroxyde de calcium, avant d’obturer définitivement le canal radiculaire à l’aide d’un matériau dit « bioactif ». Dans ce cas-ci, du RRM putty a été utilisé, avant de placer un composite dans la chambre pulpaire, durant la même séance (fig. 5).
Le Dr Ree abordera concrètement le choix, la mise en place et les intérêts de ces matériaux.
La deuxième partie de cette séance pluridisciplinaire sera animée par le Dr Maxime Drossart (restauration prothétique), le Dr Magali Hernandez (pédodontiste) et le Professeur Michel Le Gall (orthodontiste).
Le Dr Ninon Lebrat proposera à ces trois praticiens, chacun expert dans son domaine, de cerner les problématiques de diagnostic, de prise en charge en urgence et de suivis à court, moyen et long terme de trois cas cliniques concernant des dents matures traumatisées.
Ils auront donc pour mission de donner leur plan de traitement idéal et leur suivi type en cas de :
- fracture coronaire avec exposition pulpaire chez un enfant de 9 ans ;
- luxation latérale chez un jeune de 14 ans en fin de traitement ODF ;
- fracture corono-radiculaire avec exposition pulpaire chez un jeune adulte.
Cette séance se veut scientifique, clinique et pluridisciplinaire car la traumatologie dentaire a souvent des conséquences nécessitant des compétences et des connaissances multiples.
Le Dr Hernandez abordera, pour chaque situation clinique, les thématiques liées à la prise en charge de patients en état de choc, de l’hygiène bucco-dentaire dans les cas de traumatologie et de la préservation de la vitalité pulpaire.
Ce dernier point, notamment, a particulièrement évolué au cours des dernières années. Les fractures avec expositions pulpaires peuvent évoluer vers quatre types de thérapeutiques : le coiffage pulpaire, la pulpotomie partielle, la pulpotomie totale ou la pulpectomie.
Dans les trois premières situations, le protocole proposé par Cvek en 1978 [4] est la référence. Il comporte les étapes suivantes :
- anesthésie de la dent traumatisée ;
- mise en place de la digue ;
- désinfection de la dent avec de la chlorexhidine 0,5 % ;
- élimination de la dentine périphérique à l’exposition pulpaire et création d’une cavité de 2 mm de profondeur à l’aide d’une fraise diamantée stérile sous irrigation continue ;
- obtention d’hémostase pulpaire à l’aide d’une solution saline maximum 5 minutes (coiffage -> pulpotomie partielle -> pulpotomie totale) ;
- mise en place de Ca(OH)2 ;
- scellement de la cavité à l’aide d’un ciment à base d’oxyde de zinc eugénol ;
- lorsqu’une barrière dentinaire est observée radiologiquement, mise en place d’une restauration définitive.
Grâce à ce protocole consciencieux, le taux de réussite de l’étude est de 96 %, avec un suivi moyen de 31 mois. Ce protocole rigoureux est particulièrement intéressant de par son haut taux de succès. Néanmoins, il présente certaines faiblesses. La première étant la nécessité de réintervenir pour réaliser la restauration définitive.
L’avènement de matériaux tels que le MTA™, la Biodentine®, les biocéramiques putty comme le Totalfill® putty, etc., permet de réaliser dans certains cas la restauration définitive durant la même séance. Les indications et les contre-indications de ces matériaux à prise plus ou moins rapide seront abordées lors de la conférence.
Parallèlement à la thérapie de conservation de la vitalité pulpaire, le praticien doit décider comment restaurer la dent à la suite d’une fracture coronaire ou corono-radiculaire.
Cet aspect de la prise en charge thérapeutique sera plus particulièrement abordée par le Dr Drossart. Lorsque la fracture a lieu chez un patient de 9 ans, faut-il effectuer la même restauration que lorsqu’elle a lieu chez un patient de 20 ans ? Dans les deux cas, quel type de restauration faut-il favoriser en urgence ? Faut-il opter pour la mise en place d’un CVI, plus simple et rapide que celle d’un composite ? Ou au contraire, faut-il réaliser le scellement immédiat de la dentine et la restauration définitive à l’aide d’un composite directement ? La réalisation d’une couronne a-t-elle sa place dans notre arsenal thérapeutique chez un jeune dont la croissance n’est pas terminée ? Quelles sont les recommandations ? Et comment simplifier leur mise en place en urgence ?
De même, chaque praticien a un jour reçu en consultation un patient exprimant une plainte esthétique pour une dent ayant subi un traumatisme dentaire enfant ou adolescent. La dent présente généralement un changement de teinte, d’origine naturelle (oblitération ou nécrose pulpaire) ou iatrogène (MTA gris, par exemple). Quelle thérapeutique restauratrice convient-il alors de favoriser ? Eclaircissement interne, externe, composite, facette, couronne… que choisir et pourquoi ?
La conférence abordera, simultanément aux deux compétences précédentes, la prise en charge d’un point de vue orthodontique de la dent traumatisée grâce au Professeur Michel Le Gall.
Lors de la prise en charge de patients ayant subi un traumatisme dentaire, il arrive très régulièrement que le patient et/ou son entourage interroge le praticien sur la possibilité de commencer, poursuivre ou reprendre un traitement orthodontique. Il s’avère que cette question très courante représente une vraie énigme pour de nombreux praticiens, y compris les orthodontistes. Le plus souvent, il est alors recommandé au patient d’éviter toute mobilisation de la dent traumatisée [5].
Dans l’urgence de la situation, cette réponse peut paraître évidente et même normale, pour le patient comme pour le praticien. Cependant, cela peut conduire à des malpositions dentaires ad vitam pour le patient.
Cette information, souvent erronée, transmise au patient semble venir du fait que nous savons que la conséquence la plus défavorable rencontrée lors d’une luxation sévère ou d’une avulsion dentaire est la résorption radiculaire inflammatoire. Le suivi des cas traumatiques est donc essentiel et doit se faire sur la durée : les séquelles post-traumatiques peuvent être graves et se manifester immédiatement ou tardivement, avec une évolution fulgurante ou non [2].
De la même manière, nous savons également que des résorptions inflammatoires radiculaires peuvent également avoir une étiologie mécanique telle que les résorptions observées lors de traitement orthodontique.
Pour les résorptions d’origine orthodontique, la suppression de cette cause suffit généralement à arrêter la résorption.
En revanche, pour les cas de résorption inflammatoire conséquences d’un choc, le pronostic sera incertain. Il faudra intervenir le plus rapidement possible dans l’espoir d’arrêter le processus inflammatoire. La réalisation d’un CBCT et la mise en place d’hydroxyde de calcium seront indispensables pour tenter d’enrayer la résorption.
Malheureusement, l’association des deux phénomènes peut avoir des conséquences dramatiques pour le patient.
La prise en charge en ODF doit donc suivre certains protocoles. Par exemple, dans le cas d’une fracture coronaire ou corono-radiculaire sans déplacement dentaire, cette prise en charge peut être réalisée immédiatement et peut prendre la forme d’une extrusion orthodontique afin de conserver la dent et permettre sa restauration.
En revanche, dans le cas de luxation ou d’avulsion dentaire, la situation doit être analysée en détails : depuis combien de temps la dent est-elle luxée ou expulsée ? Quelles actions ont été prises avant de voir un dentiste ? La dent et/ou l’os alvéolaire présentent-ils des signes de fracture ? La luxation est-elle modérée ou sévère ?
Nous avons tous appris que plus l’intervention pour le repositionnement sera rapide, moins les conséquences seront graves. Cela implique-t-il également qu’un traitement orthodontique sera possible plus rapidement ?
Cette séance pluridisciplinaire a pour ambition de permettre aux congressistes de repartir avec des réponses claires concernant la prise en charge de patients souffrant de lésions dentaires traumatiques.
Des protocoles adaptés aux différentes situations cliniques seront discutés et expliqués afin d’aider chaque praticien dans sa prise de décision thérapeutique le jour de l’urgence dentaire, mais également à distance de celui-ci.




Commentaires