Parodontie

Santé publique

Article réservé à nos abonnés Obésité et santé bucco-dentaire, un défi d’actualité

MOTS-CLÉS : Obésité, santé orale, parodontite, lésion carieuse L’obésité, définie par un indice de masse corporelle (IMC) ≥ 30 kg/m2, est...
Parodontologie

Article réservé à nos abonnés Impact du diabète dans la prise en charge des parodontites

Adopter une alimentation saine au quotidien apporte à notre organisme tous les nutriments dont il a besoin pour fonctionner et...
Parodontologie

Article réservé à nos abonnés Les concentrés plaquettaires comme adjuvants du traitement non chirurgical des poches parodontales

Contexte Le premier objectif du traitement parodontal est de permettre la stabilisation de la parodontite, c’est-à-dire l’amélioration, voire la disparition...
Parodontologie

Article réservé à nos abonnés Implant chez le patient parodontal : la solution idéale ?

Quelle est la place de l’implant dans le traitement parodontal ? La parodontite sévère est la sixième maladie non transmissible...
Parodontologie

Article réservé à nos abonnés Parodontite et maladies respiratoires

La proximité de la cavité buccale avec le naso-, l’oro-pharynx et les voies respiratoires basses facilite le passage des bactéries...
Parodontologie

Article réservé à nos abonnés Parodontite et diabète

Le diabète est une maladie métabolique chronique affectant plus de 422 millions d’adultes dans le monde [1], dont 59,3 millions d’Européens âgés...
Parodontologie

Article réservé à nos abonnés Parodontite et maladies cardiovasculaires

Impact de l’athérosclérose sur les maladies cardiovasculaires L’athérosclérose (ATH) (fig. 1) est un processus impli­quant les artères élastiques (l’aorte et les...
Parodontologie

Article réservé à nos abonnés Gestion d’une lésion inter-radiculaire sur une molaire maxillaire

Dans cet article, nous décrirons la prise en charge d’une lésion inter-radiculaire sur une molaire maxillaire par résection radiculaire sur...
Parodontologie

Article réservé à nos abonnés Habitudes de vie et facteurs de risque dans la prise en charge parodontale

Habitudes de vie : défaut de coping face au stress, activité physique et nutrition Les études montrent qu’une exposition répétée à des...
Parodontologie

Article réservé à nos abonnés Thérapeutique orthodontique et chirurgie plastique : étapes d’une prise en charge

Les relations entre le parodonte et la thérapeutique ODF sont étroites, puisque, schématiquement, l’orthodontie repositionne la dent dans l’enveloppe osseuse,...
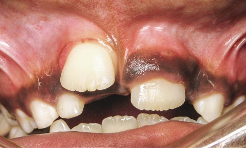
ODF, Parodontologie

Article réservé à nos abonnés Enfant patient parodontal

L’enfant est-il à risque de maladie parodontale ? Il existe une susceptibilité plus faible au développement de l’inflammation gingivale chez...
Parodontologie

Article réservé à nos abonnés Le point sur les différentes techniques orthodontiques (fixes versus aligneurs) : indications chez l’adulte et incidences parodontales

Les différentes techniques Il existe deux grands types d’appareillages orthodontiques : l’un fixe (multi-attaches vestibulaires ou linguales), l’autre amovible (aligneurs). Quelle...