Parodontite

Implantologie

Article réservé à nos abonnés Aménagement pré-implantaire et réhabilitation implantaire d’un patient parodontal fumeur

RÉSUMÉ La parodontite est une pathologie chronique inflammatoire multifactorielle associée à un biofilm dysbiotique et caractérisée par une destruction progressive des...
Parodontologie

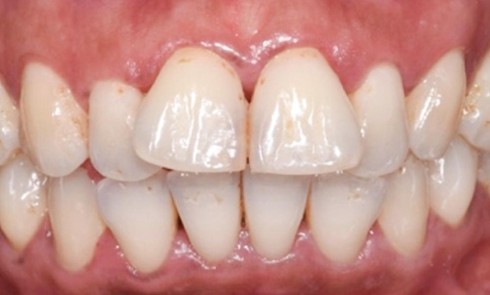
Article réservé à nos abonnés Synergie ortho-parodontale dans le traitement d’une lésion infra-osseuse associée à une migration dentaire secondaire

Résumé La parodontite de stade IV entraîne fréquemment le déplacement des dents antérieures maxillaires et elle est souvent associée à...
Parodontologie

Article réservé à nos abonnés Effets des vitamines sur le parodonte et les maladies parodontales : une revue narrative des études cliniques

Les parodontites sont des pathologies inflammatoires multifactorielles, résultant d’un déséquilibre entre les défenses de l’hôte et un microbiote oral dysbiotique....
Médecine

Article réservé à nos abonnés Treponema denticola

Résumé Treponema denticola est une bactérie anaérobie du microbiote buccal symbiotique, impliquée dans la parodontite. Elle est capable d’envahir les tissus...
Implantologie chirurgicale, Parodontologie

Article réservé à nos abonnés Spécificités de la réponse inflammatoire de la péri-implantite par rapport à celle de la parodontite

Résumé Objectif Identifier précocement les patients et les sites à risque de péri-implantite est crucial pour prévenir au plus tôt...
Parodontologie

Article réservé à nos abonnés Porphyromonas gingivalis

L’objectif de cette rubrique est de rédiger la carte d’identité d’un habitant du parodonte. Elle présente l’identité de l’habitant (procaryote...
Parodontologie

Article réservé à nos abonnés Traitement d’une parodontite stade 3 : application des recommandations S3 de l’EFP en pratique clinique

La Fédération Européenne de Parodontologie (EFP) a organisé en 2019 un European Workshop of Periodontology (EWP) dédié à formaliser des...
Parodontologie

Article réservé à nos abonnés Nouvelle classification… et parodontite – stade III grade B #8

Qu’est-ce qu’une parodontite stade III grade A selon la classification de Chicago 2017 ? Il s’agit d’une parodontite sévère à...
Parodontologie

Article réservé à nos abonnés L’aéropolissage est-il un complément ou une alternative à l’instrumentation conventionnelle en parodontologie ?

Le but de la revue de littérature présentée dans ces pages est de clarifier les indications dans lesquelles l’aéropolissage, utilisé...
Parodontologie

Article réservé à nos abonnés Nouveau regard sur l’infertilité féminine : des relations avec la santé parodontale

Résumé La fertilité des femmes et la parodontite sont-elles liées ? Un nombre croissant de preuves épidémiologiques et cliniques au...
Biomatériaux

Article réservé à nos abonnés Intérêts des exosomes dans la régénération osseuse et parodontale

La parodontite est une maladie inflammatoire associée à une dysbiose, affectant 50 % des adultes et survenant plus fréquemment chez les...
Parodontologie

Article réservé à nos abonnés Dépendance nicotinique et sévérité de la parodontite

Résumé Le tabagisme est considéré comme un facteur de risque pour la genèse et la progression de la parodontite. Parmi la pléiade...