Formation

Hygiène et Asepsie

Article réservé à nos abonnés L’indispensable hygiène orale…

La bouche est un lieu complexe où des tissus minéralisés (émail, dentine, cément) et des muqueuses (jugale, labiale, linguale) sont...

Article réservé à nos abonnés Kystes et pseudo-kystes gingivaux

Cas 1  Motif de la consultation. Patient de 50 ans venu consulter pour la découverte fortuite par son chirurgien-dentiste d’une...

Article réservé à nos abonnés La prise en charge en urgence des maladies parodontales ulcéro-nécrotiques

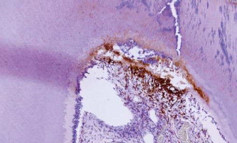
1 – Diagnostic Il s’agit d’une inflammation aiguë, douloureuse, à progression rapide, de la gencive (gingivite nécrotique) susceptible de progresser...

Article réservé à nos abonnés Tendance Février 2018

Matériel La stérilisation, pierre angulaire d’un exercice serein Shopping Focus sur l’éclairage Découverte Coralie Laverdet, sculpteur de bois et papier Espace Cap sur...
Hygiène et Asepsie

Article réservé à nos abonnés La stérilisation pierre angulaire d’un exercice serein !

Extrémité la plus sale du tube digestif », comme disait l’un de nos enseignants, la cavité bucco-dentaire fourmille de micro-organismes et...
Endodontie

Article réservé à nos abonnés Quelles innovations pour la mise en forme canalaire ?

La super-élasticité, propriété essentielle en endodontie Le Ni-Ti a la propriété de changer de structure cristalline en fonction de la...

Article réservé à nos abonnés Microbiologie au cabinet dentaire

Tous les micro-organismes vivants sont constitués d’une entité élémentaire : la cellule. On distingue les cellules eucaryotes (qui constituent les unicellulaires...

Article réservé à nos abonnés Il est normal d’avoir des microbes dans la bouche

Inutile de prétendre vouloir stériliser, par le brossage ou tout autre bain, la bouche des patients. Lors de séances de...

Article réservé à nos abonnés Les précautions standard

Les précautions standard constituent le socle de prévention des risques infectieux pour tout soin, tout lieu, tout patient et tout...

Article réservé à nos abonnés Microbiologie et maladies parodontales

Plus de 700 espèces bactériennes orales ont été identifiées, et l’on dénombre entre 100 et 200 espèces différentes dans une...

Article réservé à nos abonnés Le point sur les vaccins

La vaccination constitue l’une des principales interventions de santé publique ayant contribué au recul des maladies infectieuses. Néanmoins, avec l’extension...

Article réservé à nos abonnés Évitons l’abus d’antibiotiques !

Étymologiquement, le mot antibiotique vient du grec anti (« contre ») et bios (« vie »). Il s’agit donc d’une substance chimique, produite par...
Esthétique

Article réservé à nos abonnés Le rôle essentiel des étapes de dégrossissage, finitions et polissage des restaurations en résines composites

Questions… Question 1 Quelles sont les étapes nécessaires à la confection d’une restauration en résine composite ?Question 2 Quelle procédure...
Esthétique

Article réservé à nos abonnés L’isolation dans le secteur antérieur

1. Préparation sous digue La mise en place de la digue dentaire dès cette étape permet un meilleur contrôle visuel...
Odontologie pédiatrique

Article réservé à nos abonnés Les clichés radiologiques bite-wing dans le diagnostic de caries interproximales chez l’enfant

1. Principe La sécurité d’abord. Les radiographies ne doivent jamais être prises comme une routine, mais doivent être réalisées seulement...
CFAO

Article réservé à nos abonnés L’empreinte optique en implantologie

Comme pour la méthode classique utilisant des élastomères, le principe est de situer avec précision l’implant dans les trois plans...