À la une

Santé publiqueAlors que l’American Heart Association (AHA) propose aux praticiens américains de dépister l’hypertension et les maladies cardiovasculaires au fauteuil, en intégrant la mesure de la tension artérielle aux visites de routine, une étude publiée en ligne dans le Journal of Dentistry le 20 février met en évidence le rôle potentiel des chirurgiens-dentistes dans le repérage précoce du diabète et du…

Édition abonnés

L'Information Dentaire

N° 9 | 11 March 2026

Stratégie Prothétique

N° 1 | 15 February 2026
Implantologie

Article réservé à nos abonnés Gestion du nerf incisif lors de la pose de deux implants symphysaires : cas clinique

La zone inter-foraminale est traditionnellement considérée comme anatomiquement sûre, car éloignée du trajet principal du nerf alvéolaire inférieur. De nombreuses...

Article réservé à nos abonnés La micro-géographie de surface. Comprendre et reproduire la texture pour des restaurations directes esthétiques réussies

Dans la continuité de notre numéro spécial « Savoir-Faire » du 11 février, nous proposons cette nouvelle rubrique qui permet à des auteurs de...

Article réservé à nos abonnés Facteurs humains : cesser de punir l’erreur pour renforcer la sécurité des soins

La notion d’erreur commence progressivement à s’installer dans le monde médical. Elle désigne une action non intentionnelle et non répétitive...
Dermatologie buccale

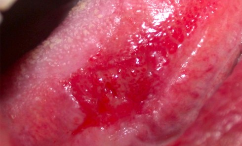
Article réservé à nos abonnés Focus sur l’érythroplasie

Quelles sont les formes cliniques ? Érythroplasie isolée : elle se caractérise par une macule (fig. 2a), une plage (fig. 2b), une plaque (fig....
Matériels

Article réservé à nos abonnés L’impression 3D en orthodontie : faut-il s’équiper ?

Applications en orthodontie [1-3] Champs d’application classiques L’impression 3D ouvre l’accès à un large éventail d’applications orthodontiques, avec notamment l’impression...

Article réservé à nos abonnés Dysfonctionnements temporo-mandibulaires : mythes et réalités

Le terme dysfonctionnement temporo-mandibulaire (DTM) englobe une trentaine de troubles musculo-squelettiques (TMS), douloureux ou non, qui impliquent les articulations temporo-mandibulaires...

Article réservé à nos abonnés Le concept SSA : indications et mise en œuvre clinique

Très souvent, l’implantation peut être réalisée dans le même temps opératoire que l’extraction, avec des taux de réussite égaux à...

Article réservé à nos abonnés Une lecture efficace au service des patients

Préalables L’étude analysée dans cet article étant un essai contrôlé randomisé (ECR), le lecteur pourra se reporter à L’Information Dentaire...

Séance CNO : “Docteur, ma mâchoire craque” : quelle conduite à tenir ?

Durée : 03:53 Faut-il forcément traiter les bruits articulaires ? Tout d’abord, il est nécessaire de faire un…

Protégé : La parodontologie tout simplement – Consultation

Il n’y a pas d’extrait, car cette publication est protégée.

ADF 2025 : E-journal Id

A l'occasion de l'édition 2025 du congrès de l'ADF, L'Information Dentaire vous propose un e-journal quotidien, synthèse des temps forts de la journée : séances scientifiques, nouveautés de l'industrie, interviews des conférenciers, évènements marquants... Pour le recevoir chaque soir, inscrivez-vous…

Voir le dossier
Avec le soutien institutionnel de
Dentsply Sirona
Elmex
Meisinger
Sensodyne par Haleon
Ultradent

Chirurgien-dentiste, Médecin, Pharmacien, unis pour la Santé Bucco-dentaire….

Les pathologies bucco-dentaires touchent tous les catégories d’âge et particulièrement les plus de 35 ans dont 50 % présentent un problème parodontal(1). Dans une démarche de prévention ou de traitement, nombreux sont les professionnels de santé qui peuvent agir pour…

Voir le dossier
Avec le soutien institutionnel de
Sensodyne par Haleon

Mini-série PAD :
les conseils de Jennifer et Sabine
Assistantes dentaires en action

Et si les bons mots suffisaient à transformer la routine d’hygiène bucco-dentaire de vos patients en un soin efficace et intuitif ? Transformer les habitudes d’hygiène bucco-dentaire de vos patients n’est pas toujours simple. Pourtant, les assistant(e)s dentaires ont un…

Voir le dossier
ET
Philips Sonicare

Europerio 2025 : Flash Infos ID / PIO

Du 14 au 17 mai, 10 000 participants de 107 pays se sont réunis à Vienne pour célébrer la parodontologie et l’implantologie. Avec plus de 100 sessions, le congrès organisé par l’European Federation of Periodontology (EFP) a permis de présenter…

Voir le dossier

Gestion et organisation du cabinet

En collaboration avec l'Information Dentaire, la Binhas Global Dental School vous propose un espace entièrement dédié à la gestion et l'organisation de votre cabinet dentaire. Retrouvez tous nos conseils, recommandations et ressources (infographies, livres blancs, vidéos...) pour gagner en sérénité,…

Voir le dossier
Avec le soutien institutionnel de
Binhas Global Dental School

Webinars

La bouche victime ou vectrice des maladies infectieuses

Comme l’actualité le démontre de façon criante, les maladies infectieuses sont un problème de santé publique majeur. La bouche peut en être victime ou vectrice. L’odontologiste a donc un rôle essentiel à jouer pour les prévenir, mais aussi les dépister…

Voir le webinar
Avec le soutien institutionnel de
GSK

Maladies parodontales, diabète et convention

Le lien bidirectionnel entre les maladies parodontales et le diabète est déjà bien établi. Le diabète est un vrai problème de santé publique et le nombre de personnes atteintes ne cesse d’augmenter au niveau mondial. Le patient diabétique a trois…

Voir le webinar
Avec le soutien
institutionnel de
GSK
- Id présent
Id présent

L'Information Dentaire

L'hebdo de la médecine bucco-dentaire
44 numéros par an

Réalités Cliniques

La formation d’excellence
4 numéros par an

Stratégie Prothétique

La prothèse sous toutes ses formes
5 numéros par an

Biomatériaux Cliniques

L’innovation au cœur de la profession
2 numéros par an

Profession Assistant(e) Dentaire

La revue de référence des assistant(e)s dentaires
5 numéros par an

L'Orthodontiste

La revue didactique de formation continue, d’orthopédie dento-faciale
5 numéros par an